/ EN
Technical Support
| Contact Us
+1 312-802-6843
Technical Support
Contact Us
+1 312-802-6843
/ EN
Recover password
Professional Email
Verification Code
Send Code
Password
Recombinant Rabbit Monoclonal
Anti-Ubiquityl-Histone H2B (Lys120) Rabbit mAb
Catalog Number: PTM-1123RM
References (1)
$ 390

Clone Number: 15H3L2

Host: Rabbit Clonality: Recombinant Monoclonal

Applications: WB IHC-P

Reactivity: Human, Mouse, Rat

Synonyms: H2BK120ub

Product Size
100 μl
Quantity

Shipping: Ambient temperature

Order online or send purchase order to info@ptmbio.com

FAQ Technical Support Protocols

General Information
Isotype IgG
Conjugate Unconjugated
Synonyms H2BK120ub
UniProt ID

P62807

Immunogen Ubiquitinated human histone H2B (Lys120) peptide
MW (kDa) 23
Specificity Anti-Ubiquityl-Histone H2B (Lys120) Rabbit mAb detects histone H2B only when it is ubiquitinated at Lys120. This antibody has been shown to selectively recognize ubiquitinated H2B peptide at Lys120, but not the unmodified peptide.
Product Usage Information
Applications Dilution Recommended Species
WB 1:500 - 1:2000 Human, Mouse, Rat
IHC-P 1:200 - 1:1000 Human, Mouse, Rat
Properties
Purity Protein A purified
Constituents PBS, Glycerol, BSA
Storage Store at -20°C. Avoid freeze/thaw cycles.
Stability Stable for 12 months from date of receipt/reconstitution.
Target Information

Background

Ubiquitin (Ub) is a highly conserved 76-amino acid protein that plays a critical role in regulating a wide range of cellular processes. Through a three-step process involving Ub-activating (E1), Ub-conjugating (E2), and Ub-ligating (E3) enzymes, ubiquitin covalently attaches to target proteins and marks them for proteasomal degradation, alters protein-protein interactions, modulates membrane protein trafficking, and controls the activity of many signal transduction pathways. Mono-ubiquitination of Histone H2B at Lys120 (H2BK120ub) serves signaling purposes and is reversible by ubiquitin-specific proteases (USPs). The enzymes responsible for H2BK120ub are Rad6 E2 proteins (HR6A and HR6B in human) and Bre1 E3 ligase (RNF20 and RNF40 in human). This modification triggers a “trans-histone” modification cascade, resulting in trimethylation of Lys4 and Lys79 in histone H3, which promotes gene activity.

Cellular location

Nucleus

Images
Dot Blot

Peptide amount: 1 ng, 4 ng, 16 ng
Blocking buffer: 5% NFDM/TBST
Primary Ab dilution: 1:2000
Primary Ab incubation: 2 hours at room temperature
Secondary Ab: Goat Anti-Rabbit IgG H&L pAb (HRP Conjugate)
Exposure time: 60 seconds
The list of peptides used in the experiment is provided below.
Lane 1: H2BK120 ubiquityl. Lane 2: H2BK120 unmodified.

WB

Lysates: HeLa, N2a, BRL, mouse liver, and mouse kidney
Protein loading amount: 20 μg
Blocking buffer: 5% NFDM/TBST
Primary Ab dilution: 1:1000
Primary Ab incubation: 2 hours at room temperature
Secondary Ab: Goat Anti-Mouse IgG H&L pAb (HRP Conjugate)
Exposure time: 30 seconds
Predicted band size: 23 kDa
Observed band size: 23 k Da

IHC-P

Tissue: Human lung squamous carcinoma
Section type: Formalin fixed & paraffin-embedded section
Retrieval method: High temperature and high pressure
Retrieval buffer: Tris/EDTA buffer, pH 9.0
Primary Ab dilution: 1:1000
Primary Ab incubation condition: 1 hour at room temperature
Secondary Ab: Anti-Rabbit and Mouse Polymer HRP (Ready to Use)
Counter stain: Hematoxylin (blue)
Comment: The brown color represents the positive signal observed with PTM-1123RM.

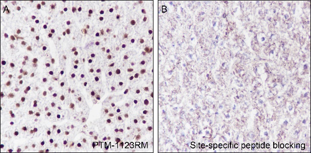
Tissue: Rat liver
Section type: Formalin fixed & paraffin-embedded section
Retrieval method: High temperature and high pressure
Retrieval buffer: Tris/EDTA buffer, pH 9.0
Primary Ab dilution: 1:1000
Primary Ab incubation condition: 1 hour at room temperature
Secondary Ab: Anti-Rabbit and Mouse Polymer HRP (Ready to Use)
Counter stain: Hematoxylin (blue)
Comment: The brown color represents the positive signal observed with PTM-1123RM.

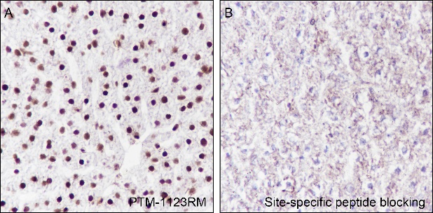
Tissue: Mouse liver
Section type: Formalin fixed & paraffin-embedded section
Retrieval method: High temperature and high pressure
Retrieval buffer: Tris/EDTA buffer, pH 9.0
Primary Ab dilution: 1:1000
Primary Ab incubation condition: 1 hour at room temperature
Secondary Ab: Anti-Rabbit and Mouse Polymer HRP (Ready to Use)
Counter stain: Hematoxylin (blue)
Comment: The brown color represents the positive signal observed with PTM-1123RM.

Research Use

For research use only, not for use in diagnostic procedures.

Recommended Products
  • View More Images(2)
    $ 400
    Anti-Ubiquityl-Histone H2B (Lys120) Mouse mAb
    Catalog #
    PTM-1120
    Host
    Mouse
    Clonality
    Monoclonal
    Conjugate
    Unconjugated
    Reactivity
    Human, Mouse, Rat
    Applications:
    WB IHC-P ICC/IF FC IAP IP ChIP mIHC-P CUT&Tag
  • View More Images(4)
    $ 360
    Recombinant
    Anti-Ubiquityl-Histone H2B (Lys120) Mouse mAb
    Catalog #
    PTM-1122
    Host
    Mouse
    Clonality
    Recombinant Monoclonal
    Conjugate
    Unconjugated
    Reactivity
    Human, Mouse, Rat
    Applications:
    WB IHC-P ICC/IF FC IAP IP ChIP mIHC-P CUT&Tag
  • View More Images(4)
    $ 135
    Goat Anti-Rabbit IgG H&L pAb (HRP Conjugate)
    Catalog #
    PTM-6261
    Host
    Goat
    Clonality
    Polyclonal
    Conjugate
    HRP
    Reactivity
    Rabbit
    Applications:
    WB IHC-P ICC/IF FC IAP IP ChIP mIHC-P CUT&Tag
  • View More Images(5)
    $ 125
    Recombinant Rabbit Monoclonal
    Rabbit mAb IgG Isotype Control
    Catalog #
    PTM-5073
    Host
    Rabbit
    Clonality
    Recombinant Monoclonal
    Conjugate
    Unconjugated
    Reactivity
    Human, Mouse, Rat
    Applications:
    WB IHC-P ICC/IF FC IAP IP ChIP mIHC-P CUT&Tag
  • View More Images(5)
    $ 125
    Recombinant Rabbit Monoclonal
    Rabbit mAb IgG Isotype Control
    Catalog #
    PTM-6628
    Host
    Rabbit
    Clonality
    Recombinant Monoclonal
    Conjugate
    Unconjugated
    Reactivity
    Human, Mouse
    Applications:
    WB IHC-P ICC/IF FC IAP IP ChIP mIHC-P CUT&Tag
  • View More Images(1)
    $ 280
    Recombinant Rabbit Monoclonal
    Anti-RNF40 Rabbit mAb
    Catalog #
    PTM-7197
    Host
    Rabbit
    Clonality
    Recombinant Monoclonal
    Conjugate
    Unconjugated
    Reactivity
    Human
    Applications:
    WB IHC-P ICC/IF FC IAP IP ChIP mIHC-P CUT&Tag
  • View More Images(3)
    $ 320
    Anti-Acetyl-Histone H2B (Lys120) Rabbit pAb
    Catalog #
    PTM-111
    Host
    Rabbit
    Clonality
    Polyclonal
    Conjugate
    Unconjugated
    Reactivity
    Human, Mouse, Rat
    Applications:
    WB IHC-P ICC/IF FC IAP IP ChIP mIHC-P CUT&Tag
  • View More Images(2)
    $ 420
    Recombinant Rabbit Monoclonal
    Anti-Succinyl-Histone H2B (Lys120) Rabbit pAb
    Catalog #
    PTM-409
    Host
    Rabbit
    Clonality
    Polyclonal
    Conjugate
    Unconjugated
    Reactivity
    Human, Mouse, Rat
    Applications:
    WB IHC-P ICC/IF FC IAP IP ChIP mIHC-P CUT&Tag
  • View More Images(2)
    $ 435
    Anti-L-Lactyl-Histone H2B (Lys120) Rabbit pAb
    Catalog #
    PTM-1423
    Host
    Rabbit
    Clonality
    Polyclonal
    Conjugate
    Unconjugated
    Reactivity
    Human, Mouse, Rat
    Applications:
    WB IHC-P ICC/IF FC IAP IP ChIP mIHC-P CUT&Tag
  • View More Images(2)
    $ 280
    Recombinant Rabbit Monoclonal
    Anti-Ubiquitin Rabbit mAb (N-terminal)
    Catalog #
    PTM-1106RM
    Host
    Rabbit
    Clonality
    Recombinant Monoclonal
    Conjugate
    Unconjugated
    Reactivity
    Human, Mouse, Rat
    Applications:
    WB IHC-P ICC/IF FC IAP IP ChIP mIHC-P CUT&Tag
  • View More Images(1)
    $ 2,110
    Recombinant Rabbit Monoclonal
    Anti-Diglycyllysine Antibody Conjugated Agarose Beads
    Catalog #
    PTM-1104
    Host
    /
    Clonality
    /
    Conjugate
    Agarose
    Reactivity
    All
    Applications:
    WB IHC-P ICC/IF FC IAP IP ChIP mIHC-P CUT&Tag
References (1)
  • Effect of defective H2B ubiquitination on the malignancy and repair of DNA double breaks and its significance in lung adenocarcinoma
    Year 2025
    Journal Scientific Reports
    Authors An Zhiyuan, et al.
    Applications Unspecified
    Reactivity