/ EN
Technical Support
| Contact Us
+1 312-802-6843
Technical Support
Contact Us
+1 312-802-6843
/ EN
Recover password
Professional Email
Verification Code
Send Code
Password
Anti-Trimethyl-Histone H3 (Lys4) Rabbit pAb
Catalog Number: PTM-613
References (9)
$ 330

Clone Number: /

Host: Rabbit Clonality: Polyclonal

Applications: WB IHC-P ChIP

Reactivity: Human, Mouse, Rat, Monkey

Synonyms: H3K4me3

Product Size
100 μl
Quantity

Shipping: Ambient temperature

Order online or send purchase order to info@ptmbio.com

FAQ Technical Support Protocols

General Information
Isotype IgG
Conjugate Unconjugated
Synonyms H3K4me3
UniProt ID

P68431

Immunogen Trimethylated human histone H3 (Lys4) peptide
MW (kDa) 15
Specificity
Product Usage Information
Applications Dilution Recommended Species
WB 1:500 - 1:2000 Human, Mouse, Rat, Monkey
IHC-P 1:100 - 1:500 Mouse
ChIP 1:100 - 1:500 Human
Properties
Purity Protein A and immunogen affinity purified
Constituents PBS, Glycerol, BSA
Storage Store at -20°C. Avoid freeze/thaw cycles.
Stability Stable for 12 months from date of receipt/reconstitution.
Target Information

Background

Histone post-translational modifications (PTMs) are key mechanisms of epigenetics that modulate chromatin structures, termed as “histone code”. The PTMs on histone including acetylation, methylation, phosphorylation and novel acylations directly affect the accessibility of chromatin to transcription factors and other epigenetic regulators, altering genome stability, gene transcription, etc. Histone methylation occurs primarily at lysine and arginine residues on the amino terminal of core histones. Methylation of histones can either increase or decrease transcription of genes, depending on which amino acids (Lys or Arg) in the histones are methylated and how many methyl groups are attached (mono-, di-, Trimethylation on Lys, mono-di-symmetric/asymmetric methylation on Arg). Mostly, lysine methylation occurs primarily on histone H3 Lys4, 9, 27, 36, 79 and H4 Lys20, while Arginine methylation occurs primarily on histone H3 Arg2, 8, 17, 26 and H4 Arg3. histone methyltransferases (HMTs) and histone demethylases (HDMs) are major regulating factors.

Cellular location

Nucleus

Images
Dot Blot

Blocking buffer: 5% NFDM/TBST
Primary Ab dilution: 1:2000
Primary Ab incubation: 2 hours at room temperature
Secondary Ab: Goat Anti-Rabbit IgG H&L pAb (HRP Conjugate)
Immunogen peptide quantity: 1 ng, 4 ng, 16 ng
Exposure time: 60 s
The list of peptides is included in the table below.

WB

Blocking buffer: 5% NFDM/TBST
Primary Ab dilution: 1:2000
Primary Ab incubation: 2 hours at room temperature
Secondary Ab: Goat Anti-Rabbit IgG H&L pAb (HRP Conjugate)
Lysate: HeLa, C2C12, COS-7
Protein loading quantity: 20 μg
Exposure time: 30 s
Predicted band size: 17 kDa
Observed band size: 17 kDa

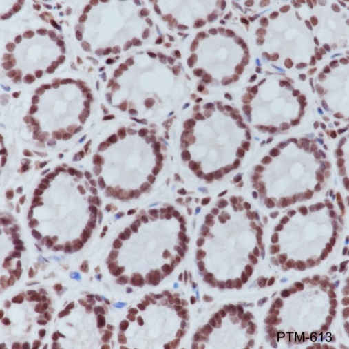
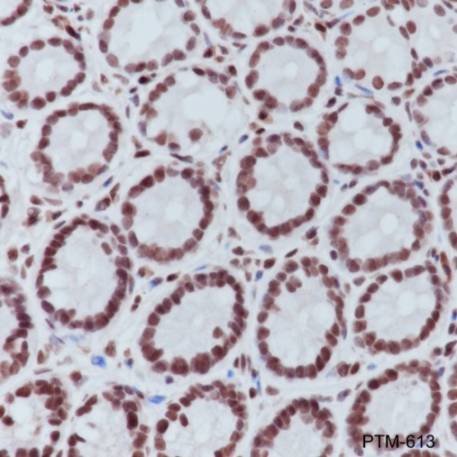
IHC-P

Tissue: Mouse colon
Section type: Formalin fixed & Paraffin - embedded section
Retrieval method: High temperature and high pressure
Retrieval buffer: Tris/EDTA buffer, pH 9.0
Primary Ab dilution: 1:500
Primary Ab incubation: 1 hour at room temperature
Secondary Ab: Anti-Rabbit and Mouse Polymer HRP (Ready to Use)
Counter stain: Hematoxylin (Blue)
Description: The brown color represents the positive signal observed with PTM-613

ChIP

Cell type: HeLa
Cross-linking conditions: no cross-linking
Amount of chromatin per IP: 5×106 cells
Amount of Ab per IP: 1:500, 1:200
Beads type and amount per IP: 50 μl of Protein A/G MagBeads
Description: Chromatin immunoprecipitations were performed with 1 μg of normal rabbit IgG as a negative control. The immunoprecipitated DNA was quantified by real-time PCR using primers specific for the human RPL30 and MyoD1. The data are presented as enrichment of each sample relative to the total amount of input chromatin at each amplicon.

Research Use

For research use only, not for use in diagnostic procedures.

Recommended Products
  • View More Images(2)
    $ 320
    Recombinant
    Anti-Trimethyl-Histone H3 (Lys4) Mouse mAb
    Catalog #
    PTM-5019
    Host
    Mouse
    Clonality
    Recombinant Monoclonal
    Conjugate
    Unconjugated
    Reactivity
    Human, Mouse, Rat
    Applications:
    WB IHC-P ICC/IF FC IAP IP ChIP mIHC-P CUT&Tag
  • View More Images(2)
    $ 330
    Anti-Trimethyl-Histone H3 (Lys4) Mouse mAb
    Catalog #
    PTM-642
    Host
    Mouse
    Clonality
    Monoclonal
    Conjugate
    Unconjugated
    Reactivity
    Human, Mouse, Rat, Monkey
    Applications:
    WB IHC-P ICC/IF FC IAP IP ChIP mIHC-P CUT&Tag
  • View More Images(4)
    $ 330
    Recombinant Rabbit Monoclonal
    Anti-Acetyl-Histone H3 (Lys4) Rabbit mAb
    Catalog #
    PTM-188
    Host
    Rabbit
    Clonality
    Recombinant Monoclonal
    Conjugate
    Unconjugated
    Reactivity
    Human, Mouse, Rat
    Applications:
    WB IHC-P ICC/IF FC IAP IP ChIP mIHC-P CUT&Tag
  • View More Images(8)
    $ 420
    Recombinant Rabbit Monoclonal
    Anti-Crotonyl-Histone H3 (Lys4) Rabbit mAb
    Catalog #
    PTM-547RM
    Host
    Rabbit
    Clonality
    Recombinant Monoclonal
    Conjugate
    Unconjugated
    Reactivity
    Human, Mouse, Rat
    Applications:
    WB IHC-P ICC/IF FC IAP IP ChIP mIHC-P CUT&Tag
  • View More Images(5)
    $ 320
    Recombinant
    Anti-Monomethyl-Histone H3 (Lys4) Mouse mAb
    Catalog #
    PTM-5158
    Host
    Mouse
    Clonality
    Recombinant Monoclonal
    Conjugate
    Unconjugated
    Reactivity
    Human, Mouse, Rat
    Applications:
    WB IHC-P ICC/IF FC IAP IP ChIP mIHC-P CUT&Tag
  • View More Images(6)
    $ 325
    Recombinant
    Anti-Dimethyl-Histone H3 (Lys4) Mouse mAb
    Catalog #
    PTM-6032
    Host
    Mouse
    Clonality
    Recombinant Monoclonal
    Conjugate
    Unconjugated
    Reactivity
    Human, Mouse, Rat
    Applications:
    WB IHC-P ICC/IF FC IAP IP ChIP mIHC-P CUT&Tag
  • View More Images(3)
    $ 435
    Anti-β-Hydroxybutyryl-Histone H3 (Lys4) Rabbit pAb
    Catalog #
    PTM-1260
    Host
    Rabbit
    Clonality
    Polyclonal
    Conjugate
    Unconjugated
    Reactivity
    Human
    Applications:
    WB IHC-P ICC/IF FC IAP IP ChIP mIHC-P CUT&Tag
  • View More Images(4)
    $ 390
    Anti-Histone H3 (Trimethyl Lys4, Serotonyl Gln5) Rabbit pAb
    Catalog #
    PTM-1420
    Host
    Rabbit
    Clonality
    Polyclonal
    Conjugate
    Unconjugated
    Reactivity
    Human, Mouse, Rat
    Applications:
    WB IHC-P ICC/IF FC IAP IP ChIP mIHC-P CUT&Tag
  • View More Images(2)
    $ 340
    Recombinant Rabbit Monoclonal
    Anti-Trimethyllysine Rabbit pAb
    Catalog #
    PTM-601
    Host
    Rabbit
    Clonality
    Polyclonal
    Conjugate
    Unconjugated
    Reactivity
    All
    Applications:
    WB IHC-P ICC/IF FC IAP IP ChIP mIHC-P CUT&Tag
  • View More Images(7)
    $ 125
    Recombinant Rabbit Monoclonal
    Anti-Histone H3 Rabbit mAb
    Catalog #
    PTM-1001RM
    Host
    Rabbit
    Clonality
    Recombinant Monoclonal
    Conjugate
    Unconjugated
    Reactivity
    Human, Mouse, Rat
    Applications:
    WB IHC-P ICC/IF FC IAP IP ChIP mIHC-P CUT&Tag
References (9)
  • Targeting MYC in T-Cell lymphoma via epigenetic modulation with a small-molecule inhibitor
    Year 2026
    Journal Mol Cancer
    Authors Bangong Liu, et al.
    Applications WB
    Reactivity
  • From glucose to histone modification: sex-specific metabolic responses to ketogenic therapy in VM/Dk mice
    Year 2025
    Journal Frontiers in Nutrition
    Authors Sara E. Moss, et al.
    Applications Dot
    Reactivity
  • USP15 Facilitates Colorectal Cancer Immune Evasion through SMYD3/CCL2-Dependent Myeloid-Derived Suppressor Cell Recruitment
    Year 2025
    Journal Cancer Immunology Research
    Authors Han Shuling, et al.
    Applications Unspecified
    Reactivity
  • RNA-binding protein RBM5 plays an essential role in acute myeloid leukemia by activating the oncogenic protein HOXA9
    Year 2024
    Journal GENOME BIOLOGY
    Authors Zhang Mengli, et al.
    Applications Unspecified
    Reactivity
  • Inhibition of Heat Shock-Induced H3K9ac Reduction Sensitizes Cancer Cells to Hyperthermia
    Year 2023
    Journal International Journal of Biological Sciences
    Authors Lin Huiyun, et al.
    Applications Unspecified
    Reactivity
  • A bacteriocyte symbiont determines whitefly sex ratio by regulating mitochondrial function.
    Year 2023
    Journal Cell Reports
    Authors Yao YL, et al.
    Applications Unspecified
    Reactivity
  • Glufosinate-Ammonium Induced Aberrant Histone Modifications in Mouse Sperm Are Concordant With Transcriptome in Preimplantation Embryos
    Year 2022
    Journal Frontiers in Physiology
    Authors Ma Xuan, et al.
    Applications CUT&Tag
    Reactivity
  • An Integrated Approach for Combinatorial Readout of Dual Histone Modifications by Epigenetic Tandem Domains
    Year 2020
    Journal ANALYTICAL CHEMISTRY
    Authors Pu Chen, et al.
    Applications Unspecified
    Reactivity
  • Cell Lysate Microarray for Mapping the Network of Genetic Regulators for Histone Marks
    Year 2018
    Journal MOLECULAR & CELLULAR PROTEOMICS
    Authors Li Cheng, et al.
    Applications WB, IP
    Reactivity