/ EN
Technical Support
| Contact Us
+1 312-802-6843
Technical Support
Contact Us
+1 312-802-6843
/ EN
Recover password
Professional Email
Verification Code
Send Code
Password
Anti-SUMO-1/2/3 Mouse mAb (N-terminal)
Catalog Number: PTM-1109
References (3)
$ 380

Clone Number: /

Host: Mouse Clonality: Monoclonal

Applications: WB IHC-P

Reactivity: Human, Mouse, Rat, Monkey

Synonyms: SUMO1/2/3

Product Size
100 μl
Quantity

Shipping: Ambient temperature

Order online or send purchase order to info@ptmbio.com

FAQ Technical Support Protocols

General Information
Isotype IgG
Conjugate Unconjugated
Synonyms SUMO1/2/3
UniProt ID

P63165, P61956, P55854

Immunogen Synthetic peptide corresponding to human SUMO-1, 2, and 3
MW (kDa) Multiple
Specificity Anti-SUMO-1/2/3 Mouse mAb (N-terminal) detects endogenous levels of SUMO-1/2/3 and SUMOylated proteins.
Product Usage Information
Applications Dilution Recommended Species
WB 1:500 - 1:2000 Human, Mouse, Rat, African green monkey
IHC-P 1:200 - 1:1000 Human, Mouse, Rat
Properties
Purity Protein G and immunogen affinity purified
Constituents PBS, Glycerol, BSA
Storage Store at -20°C. Avoid freeze/thaw cycles.
Stability Stable for 12 months from date of receipt/reconstitution.
Target Information

Background

Small ubiquitin-related modifier 1, 2 and 3 (SUMO-1, 2 and 3) are members of the ubiquitin-like protein family. The functions of the small ubiquitin-related modifier protein is similar to ubiquitin in that it is bound to target proteins as part of a post-translational modification system. It can be covalently attached to proteins as a monomer or a lysine-linked polymer. Covalent attachment via an isopeptide bond to its substrates requires prior activation by the E1 complex SAE1-SAE2 and linkage to the E2 enzyme UBE2I and can be promoted by E3 ligases such as PIAS1-4, RANBP2 or CBX4. Ubiquitin predominantly regulates degradation of its target. In contrast, SUMO-1 is conjugated to RanGAP, PML, p53 and IκB-α to regulate nuclear trafficking, formation of subnuclear structures, transcriptional activity, and protein stability. SUMO-2/3 forms poly-(SUMO) chains, which is conjugated to topoisomerase II and APP, and regulates chromosomal segregation and cellular responses to environmental stress.

Cellular location

Nucleus, Cytoplasm

Images
WB

Lysate: (-) HeLa; (+) HeLa + pervanadate (1 mM, 15 minutes)
Protein loading amount: 20 μg
Blocking buffer: 5% NFDM/TBST
Primary Ab dilution: 1:2000
Primary Ab incubation: 2 hours at room temperature
Secondary Ab: Goat Anti-Mouse IgG H&L pAb (HRP Conjugate)
Exposure time: 60 seconds
Predicted band size: Multiple
Observed band size: Multiple

Lysate: (-) K562; (+) K562 + pervanadate (1 mM, 15 minutes)
Protein loading amount: 20 μg
Blocking buffer: 5% NFDM/TBST
Primary Ab dilution: 1:2000
Primary Ab incubation: 2 hours at room temperature
Secondary Ab: Goat Anti-Mouse IgG H&L pAb (HRP Conjugate)
Exposure time: 60 seconds
Predicted band size: Multiple
Observed band size: Multiple

Lysate: HeLa, N2a, COS-7, mouse lung
Protein loading amount: 20 μg
Blocking buffer: 5% NFDM/TBST
Primary Ab dilution: 1:2000
Primary Ab incubation: 2 hours at room temperature
Secondary Ab: Goat Anti-Mouse IgG H&L pAb (HRP Conjugate)
Exposure time: 60 seconds
Predicted band size: Multiple
Observed band size: Multiple

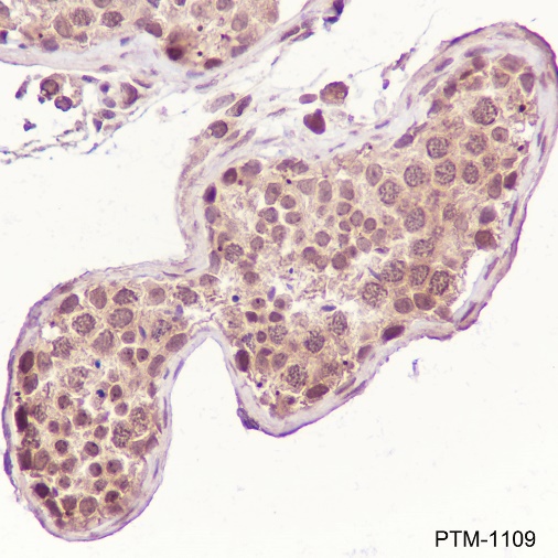
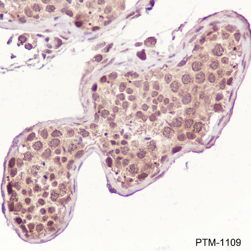
IHC-P

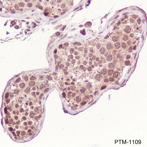
Tissue: Human testis
Section type: Formalin fixed & paraffin-embedded section
Retrieval method: High temperature and high pressure
Retrieval buffer: Tris/EDTA buffer, pH 9.0
Primary Ab dilution: 1:1000
Primary Ab incubation: 1 hour at room temperature
Secondary Ab: Anti-Rabbit and Mouse Polymer HRP (Ready to Use)
Counter stain: Hematoxylin (blue)
Description: The brown color represents the positive signal observed with PTM-1109.

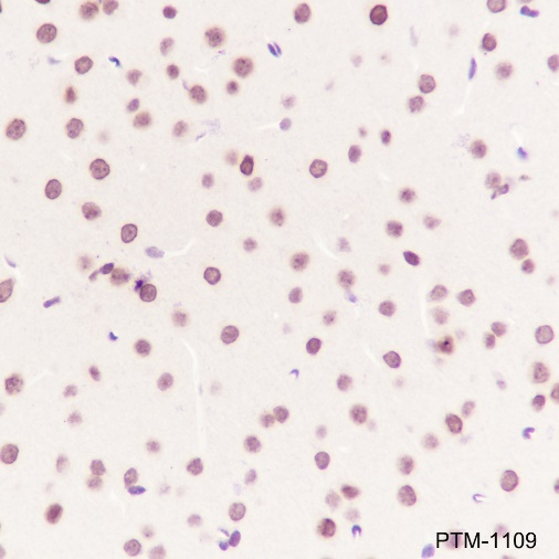
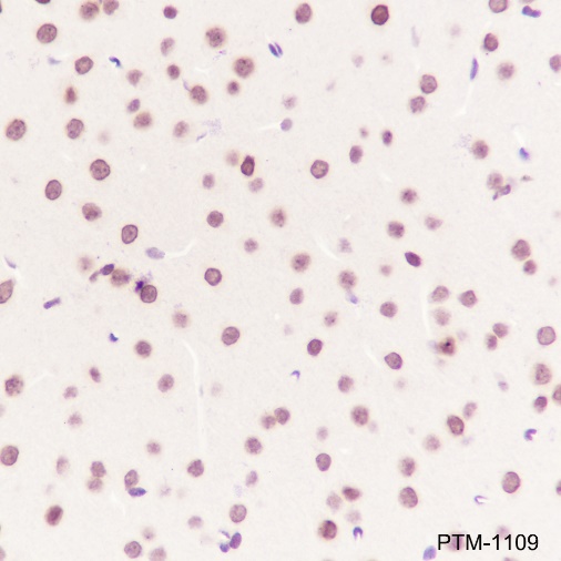
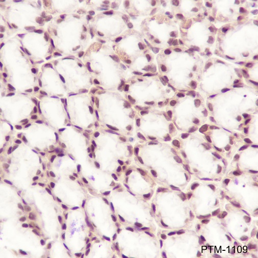
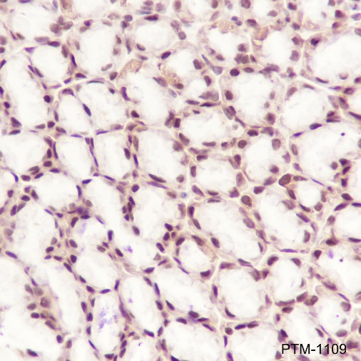
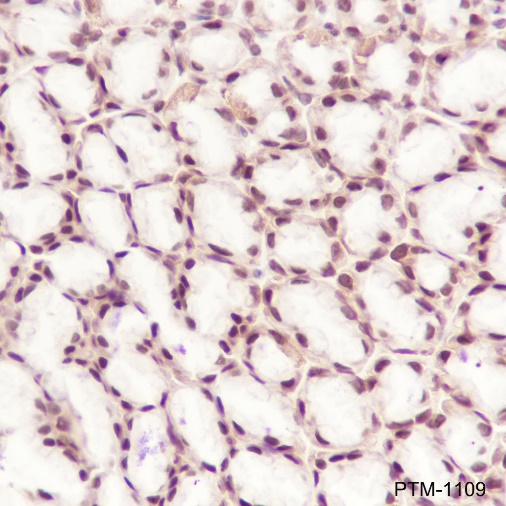
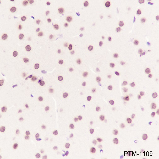
Tissue: Mouse cerebrum
Section type: Formalin fixed & paraffin-embedded section
Retrieval method: High temperature and high pressure
Retrieval buffer: Tris/EDTA buffer, pH 9.0
Primary Ab dilution: 1:1000
Primary Ab incubation: 1 hour at room temperature
Secondary Ab: Anti-Rabbit and Mouse Polymer HRP (Ready to Use)
Counter stain: Hematoxylin (blue)
Description: The brown color represents the positive signal observed with PTM-1109.

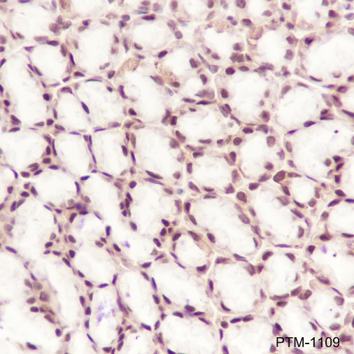
Tissue: Rat stomach
Section type: Formalin fixed & paraffin-embedded section
Retrieval method: High temperature and high pressure
Retrieval buffer: Tris/EDTA buffer, pH 9.0
Primary Ab dilution: 1:200
Primary Ab incubation: 1 hour at room temperature
Secondary Ab: Anti-Rabbit and Mouse Polymer HRP (Ready to Use)
Counter stain: Hematoxylin (blue)
Description: The brown color represents the positive signal observed with PTM-1109.

Research Use

For research use only, not for use in diagnostic procedures.

Recommended Products
  • View More Images(4)
    $ 135
    Goat Anti-Mouse IgG H&L (HRP Conjugate)
    Catalog #
    PTM-7168
    Host
    Goat
    Clonality
    Polyclonal
    Conjugate
    HRP
    Reactivity
    Mouse
    Applications:
    WB IHC-P ICC/IF FC IAP IP ChIP mIHC-P CUT&Tag
  • View More Images(1)
    $ 280
    Recombinant
    Anti-UBC9 Mouse mAb
    Catalog #
    PTM-5652
    Host
    Mouse
    Clonality
    Recombinant Monoclonal
    Conjugate
    Unconjugated
    Reactivity
    Human
    Applications:
    WB IHC-P ICC/IF FC IAP IP ChIP mIHC-P CUT&Tag
  • View More Images(6)
    $ 280
    Recombinant Rabbit Monoclonal
    Anti-SUMO-1 Rabbit mAb (C-terminal)
    Catalog #
    PTM-6055
    Host
    Rabbit
    Clonality
    Recombinant Monoclonal
    Conjugate
    Unconjugated
    Reactivity
    Human, Mouse, Rat
    Applications:
    WB IHC-P ICC/IF FC IAP IP ChIP mIHC-P CUT&Tag
  • View More Images(4)
    $ 285
    Recombinant
    Anti-SUMO-2/3 Mouse mAb (C-terminal)
    Catalog #
    PTM-5412
    Host
    Mouse
    Clonality
    Recombinant Monoclonal
    Conjugate
    Unconjugated
    Reactivity
    Human, Mouse, Rat
    Applications:
    WB IHC-P ICC/IF FC IAP IP ChIP mIHC-P CUT&Tag
  • View More Images(1)
    $ 2,110
    Recombinant Rabbit Monoclonal
    Anti-Diglycyllysine Antibody Conjugated Agarose Beads
    Catalog #
    PTM-1104
    Host
    /
    Clonality
    /
    Conjugate
    Agarose
    Reactivity
    All
    Applications:
    WB IHC-P ICC/IF FC IAP IP ChIP mIHC-P CUT&Tag
References (3)
  • Suoquan Yishen Formula attenuates ectopic lipid deposition in diabetic kidney disease by inhibiting UBC9-mediated SUMO1 modification of DRP1
    Year 2025
    Journal JOURNAL OF ETHNOPHARMACOLOGY
    Authors Jing Wang, et al.
    Applications Unspecified
    Reactivity
  • O-GlcNAcylated Hsp47 as a predictive biomarker in colorectal cancer: Kaempferol targets OGT-collagen axis for therapeutic intervention
    Year 2025
    Journal International Journal of Biological Sciences
    Authors Chishun Zhou, et al.
    Applications Unspecified
    Reactivity
  • SENP1 prevents steatohepatitis by suppressing RIPK1-driven apoptosis and inflammation
    Year 2022
    Journal Nature Communications
    Authors Yan Lingjie, et al.
    Applications Unspecified
    Reactivity