/ EN
Technical Support
| Contact Us
+1 312-802-6843
Technical Support
Contact Us
+1 312-802-6843
/ EN
Recover password
Professional Email
Verification Code
Send Code
Password
Recombinant Rabbit Monoclonal
Anti-Succinyllysine Rabbit pAb
Catalog Number: PTM-401
References (162)
$ 435

Clone Number: /

Host: Rabbit Clonality: Polyclonal

Applications: WB

Reactivity: All

Synonyms: Ksu

Product Size
100μl
Quantity

Shipping: Ambient temperature

Order online or send purchase order to info@ptmbio.com

FAQ Technical Support Protocols

General Information
Isotype IgG
Conjugate Unconjugated
Synonyms Ksu
UniProt ID

/

Immunogen Succinylated lysine peptides
MW (kDa) Multiple
Specificity Anti-Succinyllysine Rabbit pAb detects proteins post-translationally modified by succinylation on lysine residues. This pan antibody recognizes succinylated lysine independent of its surrounding sequences.
Product Usage Information
Applications Dilution Recommended Species
WB 1:500–1:1000 All
Properties
Purity Protein A and immunogen affinity purified
Constituents PBS, Glycerol, BSA
Storage Store at -20°C. Avoid freeze/thaw cycles.
Stability Stable for 12 months from date of receipt/reconstitution.
Target Information

Background

Succinylation is a post-translational modification that involves the addition of a succinyl group (-CO-CH2-CH2-CO2 h) is added to a lysine residue of a protein molecule. This modification is found in many proteins, including histones. Although the precise implications of succinylation are under investigation, due to its impact on lysine's charge, transitioning it from +1 to -1 (under physiological pH conditions), and because succinylation introduces a relatively substantial structural moiety with a mass of 100 Da, which is notably larger than the moieties introduced by acetylation (42 Da) or methylation (14 Da), succinylation is anticipated to induce more substantial alterations in both protein structure and function. Key players in the succinylation process comprise 'writers' such as carnitine palmitoyltransferase 1A (CPT1A) and lysine acetyltransferase 2A (KAT2A/GCN5), 'erasers' like sirtuin 5 (SIRT5) and sirtuin 7 (SIRT7), and the pH-dependent reader, the YEATS domain of glioma-amplified sequence 41 (GAS41).

Cellular location

/

Images
Dot Blot

Peptide amount: 4 ng, 20 ng, 100 ng
Blocking buffer: 5% NFDM/TBST
Primary Ab dilution: 1:2000
Primary Ab incubation condition: 2 hours at room temperature
Secondary Ab: Goat Anti-Rabbit IgG H&L pAb (HRP Conjugate)
Exposure time: 30 seconds
The list of peptides used in the experiment is provided in the table below.

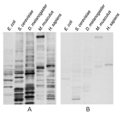
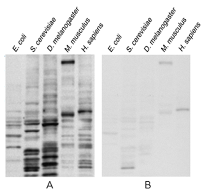
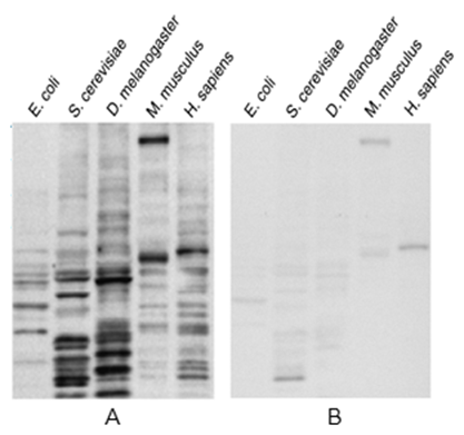
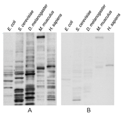
WB

Lysates: E. coli, S. cerevisiae, D. melanogaster, mouse, and human cells
Protein loading amount: 20 μg
Blocking buffer: 5% NFDM/TBST
Primary Ab dilution: 1:1000
Primary Ab incubation condition: 2 hours at room temperature
Secondary Ab: Goat Anti-Rabbit IgG H&L pAb (HRP Conjugate)
Exposure time: 60 seconds
Predicted band size: Multiple
Observed band size: Multiple

Research Use

For research use only, not for use in diagnostic procedures.

Recommended Products
  • View More Images(2)
    $ 420
    Recombinant Rabbit Monoclonal
    Anti-Succinyllysine Mouse mAb
    Catalog #
    PTM-419
    Host
    Mouse
    Clonality
    Monoclonal
    Conjugate
    Unconjugated
    Reactivity
    Human, Mouse, Rat
    Applications:
    WB IHC-P ICC/IF FC IAP IP ChIP mIHC-P CUT&Tag
  • View More Images(4)
    $ 135
    Goat Anti-Rabbit IgG H&L pAb (HRP Conjugate)
    Catalog #
    PTM-6261
    Host
    Goat
    Clonality
    Polyclonal
    Conjugate
    HRP
    Reactivity
    Rabbit
    Applications:
    WB IHC-P ICC/IF FC IAP IP ChIP mIHC-P CUT&Tag
  • View More Images(5)
    $ 125
    Recombinant Rabbit Monoclonal
    Rabbit mAb IgG Isotype Control
    Catalog #
    PTM-5073
    Host
    Rabbit
    Clonality
    Recombinant Monoclonal
    Conjugate
    Unconjugated
    Reactivity
    Human, Mouse, Rat
    Applications:
    WB IHC-P ICC/IF FC IAP IP ChIP mIHC-P CUT&Tag
  • View More Images(5)
    $ 125
    Recombinant Rabbit Monoclonal
    Rabbit mAb IgG Isotype Control
    Catalog #
    PTM-6628
    Host
    Rabbit
    Clonality
    Recombinant Monoclonal
    Conjugate
    Unconjugated
    Reactivity
    Human, Mouse
    Applications:
    WB IHC-P ICC/IF FC IAP IP ChIP mIHC-P CUT&Tag
  • View More Images(2)
    $ 290
    Recombinant
    Anti-CPT1A Mouse mAb
    Catalog #
    PTM-6612
    Host
    Mouse
    Clonality
    Recombinant Monoclonal
    Conjugate
    Unconjugated
    Reactivity
    Human, Mouse, Rat
    Applications:
    WB IHC-P ICC/IF FC IAP IP ChIP mIHC-P CUT&Tag
  • View More Images(1)
    $ 285
    Recombinant
    Anti-GCN5 Mouse mAb
    Catalog #
    PTM-5115
    Host
    Mouse
    Clonality
    Recombinant Monoclonal
    Conjugate
    Unconjugated
    Reactivity
    Human, Mouse, Rat
    Applications:
    WB IHC-P ICC/IF FC IAP IP ChIP mIHC-P CUT&Tag
  • View More Images(1)
    $ 290
    Recombinant Rabbit Monoclonal
    Anti-SIRT5 Rabbit mAb
    Catalog #
    PTM-7128
    Host
    Rabbit
    Clonality
    Recombinant Monoclonal
    Conjugate
    Unconjugated
    Reactivity
    Human, Mouse, Rat
    Applications:
    WB IHC-P ICC/IF FC IAP IP ChIP mIHC-P CUT&Tag
  • View More Images(1)
    $ 280
    Recombinant Rabbit Monoclonal
    Anti-SIRT7 Rabbit mAb
    Catalog #
    PTM-7231
    Host
    Rabbit
    Clonality
    Recombinant Monoclonal
    Conjugate
    Unconjugated
    Reactivity
    Mouse, Rat
    Applications:
    WB IHC-P ICC/IF FC IAP IP ChIP mIHC-P CUT&Tag
  • View More Images(1)
    $ 2,110
    Recombinant Rabbit Monoclonal
    Anti-Succinyllysine Antibody Conjugated Agarose Beads
    Catalog #
    PTM-402
    Host
    /
    Clonality
    /
    Conjugate
    Agarose
    Reactivity
    All
    Applications:
    WB IHC-P ICC/IF FC IAP IP ChIP mIHC-P CUT&Tag
  • View More Images(2)
    $ 420
    Recombinant Rabbit Monoclonal
    Anti-Succinyl-Histone H2B (Lys120) Rabbit pAb
    Catalog #
    PTM-409
    Host
    Rabbit
    Clonality
    Polyclonal
    Conjugate
    Unconjugated
    Reactivity
    Human, Mouse, Rat
    Applications:
    WB IHC-P ICC/IF FC IAP IP ChIP mIHC-P CUT&Tag
  • View More Images(3)
    $ 435
    Anti-Succinyl-Histone H3 (Lys14) Mouse mAb
    Catalog #
    PTM-421
    Host
    Mouse
    Clonality
    Monoclonal
    Conjugate
    Unconjugated
    Reactivity
    Human, Mouse, Rat
    Applications:
    WB IHC-P ICC/IF FC IAP IP ChIP mIHC-P CUT&Tag
  • View More Images(4)
    $ 435
    Anti-Succinyl-Histone H3 (Lys23) Mouse mAb
    Catalog #
    PTM-422
    Host
    Mouse
    Clonality
    Monoclonal
    Conjugate
    Unconjugated
    Reactivity
    Human, Mouse, Rat
    Applications:
    WB IHC-P ICC/IF FC IAP IP ChIP mIHC-P CUT&Tag
  • View More Images(3)
    $ 420
    Anti-Succinyl-Histone H3 (Lys79) Rabbit pAb
    Catalog #
    PTM-412
    Host
    Rabbit
    Clonality
    Polyclonal
    Conjugate
    Unconjugated
    Reactivity
    Human, Mouse, Rat
    Applications:
    WB IHC-P ICC/IF FC IAP IP ChIP mIHC-P CUT&Tag
  • View More Images(2)
    $ 435
    Anti-Succinyl-Histone H3 (Lys122) Rabbit pAb
    Catalog #
    PTM-413
    Host
    Rabbit
    Clonality
    Polyclonal
    Conjugate
    Unconjugated
    Reactivity
    Human, Mouse, Rat
    Applications:
    WB IHC-P ICC/IF FC IAP IP ChIP mIHC-P CUT&Tag
  • View More Images(3)
    $ 435
    Anti-Succinyl-Histone H3 (Lys14) Mouse mAb
    Catalog #
    PTM-421
    Host
    Mouse
    Clonality
    Monoclonal
    Conjugate
    Unconjugated
    Reactivity
    Human, Mouse, Rat
    Applications:
    WB IHC-P ICC/IF FC IAP IP ChIP mIHC-P CUT&Tag
  • View More Images(4)
    $ 435
    Anti-Succinyl-Histone H3 (Lys23) Mouse mAb
    Catalog #
    PTM-422
    Host
    Mouse
    Clonality
    Monoclonal
    Conjugate
    Unconjugated
    Reactivity
    Human, Mouse, Rat
    Applications:
    WB IHC-P ICC/IF FC IAP IP ChIP mIHC-P CUT&Tag
References (162)
  • The UBC/SIRT5/DRP1 axis regulates mitochondrial dynamics to alleviate Staphylococcus aureus-induced oxidative stress and senescence in bovine mammary epithelial cells
    Year 2026
    Journal PLoS Pathogens
    Authors Huijie Hu, et al.
    Applications Unspecified
    Reactivity
  • NAD+ and Sirt5 restore mitochondrial bioenergetics failure and improve locomotor defects caused by sucla2 mutations
    Year 2026
    Journal JCI Insight
    Authors Joy Richard, et al.
    Applications Unspecified
    Reactivity
  • KAT2A promotes NLRP3-mediated trophoblast pyroptosis in preeclampsia by the succinylation
    Year 2025
    Journal HYPERTENSION IN PREGNANCY
    Authors Shaoping Huang, et al.
    Applications Unspecified
    Reactivity
  • Pharmacological induction of acetyl-CoA carboxylase 1 autophagic degradation attenuates lipid accumulation and cholangiocarcinoma progression
    Year 2025
    Journal JOURNAL OF EXPERIMENTAL & CLINICAL CANCER RESEARCH
    Authors Pan Yani, et al.
    Applications Unspecified
    Reactivity
  • SIRT5 affects lipid accumulation in cells of a metabolic-associated fatty liver disease model by regulating the succinylation status of HSPD1
    Year 2025
    Journal BMC IMMUNOLOGY
    Authors Lu Yuanxing, et al.
    Applications Unspecified
    Reactivity
  • Accumulation of succinate suppresses de novo purine synthesis through succinylation-mediated control of the mitochondrial folate cycle
    Year 2025
    Journal MOLECULAR CELL
    Authors Mushtaq A. Nengroo, et al.
    Applications Unspecified
    Reactivity
  • Crocetin curbs radiation induced intestinal injury by blocking KAT2A/NLRP3 succinylation
    Year 2025
    Journal Scientific Reports
    Authors Chen He, et al.
    Applications Unspecified
    Reactivity
  • Functional studies on PdbRAV2 transcription factor mediated positive regulation of drought tolerance in Populus davidiana × P. bolleana
    Year 2025
    Journal Plant Stress
    Authors Xiaofu Li, et al.
    Applications Unspecified
    Reactivity
  • SIRT5-mediated desuccinylation of MTHFD2 enhances chemoresistance in breast cancer cells by reducing therapy-induced senescence
    Year 2025
    Journal Communications Biology
    Authors Xianhong Zhang, et al.
    Applications Unspecified
    Reactivity
  • Salt-sensitive hypertension promotes neuronal mitochondrial stress and neurodegenerative alterations via neuro-vascular metabolic reprogramming and local RAS signaling
    Year 2025
    Journal Journal of Neuroinflammation
    Authors Wu Hanxue, et al.
    Applications Unspecified
    Reactivity
  • High-throughput screening identifies a dual-activity inhibitor of OXCT1 for hepatocellular carcinoma therapy
    Year 2025
    Journal BIOORGANIC CHEMISTRY
    Authors Rui Liu, et al.
    Applications Unspecified
    Reactivity
  • Succinylation regulates boar sperm linear motility via reprogramming glucose metabolism
    Year 2025
    Journal Communications Biology
    Authors Wang Qi, et al.
    Applications Unspecified
    Reactivity
  • O-GlcNAcylated Hsp47 as a predictive biomarker in colorectal cancer: Kaempferol targets OGT-collagen axis for therapeutic intervention
    Year 2025
    Journal International Journal of Biological Sciences
    Authors Chishun Zhou, et al.
    Applications Unspecified
    Reactivity
  • Curcumin inhibits ferroptosis through dessuccinylation of SIRT5-associated ACSL4 protein, and plays a chondroprotective role in osteoarthritis
    Year 2025
    Journal PLoS One
    Authors Yong Xu, et al.
    Applications Unspecified
    Reactivity
  • Mitochondrial Hyper-Acetylation Induced by an Engineered Acetyltransferase Promotes Cellular Senescence
    Year 2025
    Journal iScience
    Authors Tadahiro Shimazu, et al.
    Applications Unspecified
    Reactivity
  • Quantitative Proteomics Reveals the Role of Lysine Lactylation in Lenalidomide-Resistance in Multiple Myeloma Cells
    Year 2025
    Journal ACS Chemical Biology
    Authors Xinlong Guo, et al.
    Applications Unspecified
    Reactivity
  • Succinylation-related molecular activities in cancer: metabolic adaptations, immune landscape, and prognostic significance in colorectal cancer
    Year 2025
    Journal Frontiers in Immunology
    Authors Zhihang Jiang, et al.
    Applications Unspecified
    Reactivity
  • CD44 is a macrophage receptor for TcdB from Clostridioides difficile that via its lysine-158 succinylation contributes to inflammation
    Year 2025
    Journal Gut Microbes
    Authors Zhuo Chen, et al.
    Applications Unspecified
    Reactivity
  • SIRT5-mediated desuccinylation prevents mitochondrial dysfunction in alveolar epithelial cells senescence and pulmonary fibrosis
    Year 2025
    Journal CELLULAR SIGNALLING
    Authors Wenyu Hou, et al.
    Applications Unspecified
    Reactivity
  • Diallyl Trisulfide From Garlic Regulates RAB18 Phase Separation to Inhibit Lipophagy and Induce Cuproptosis in Hepatic Stellate Cells for Antifibrotic Effects
    Year 2025
    Journal Advanced Science
    Authors Haoyuan Tian, et al.
    Applications Unspecified
    Reactivity
  • Cholangiocarcinoma PDHA1 succinylation suppresses macrophage antigen presentation via alpha-ketoglutaric acid accumulation
    Year 2025
    Journal Nature Communications
    Authors Zhang Ning, et al.
    Applications Unspecified
    Reactivity
  • Gut flora-derived succinate exacerbates Allergic Airway Inflammation by promoting protein succinylation
    Year 2025
    Journal Redox Biology
    Authors Chao Wang, et al.
    Applications Unspecified
    Reactivity
  • Metformin hydrochloride improves hepatic glucolipid metabolism in diabetes progression through SIRT5-mediated ECHA desuccinylation
    Year 2025
    Journal Scientific Reports
    Authors Tang Liang, et al.
    Applications Unspecified
    Reactivity
  • Higher mitochondrial protein-Succinylation detected in lung tissues of idiopathic pulmonary fibrosis patients
    Year 2025
    Journal Journal of Proteomics
    Authors Yunmulan Zhao, et al.
    Applications Unspecified
    Reactivity
  • Succinylation enables IDE to act as a hub of larval tissue destruction and adult tissue reconstruction during insect metamorphosis
    Year 2025
    Journal Science Advances
    Authors Yan-Xue Li, et al.
    Applications Unspecified
    Reactivity
  • SIRT5 -mediated desuccinylation of UQCRC2 attenuates osteogenic differentiation of aged BM-MSCs through impairing mitochondrial homeostasis
    Year 2025
    Journal CELLULAR SIGNALLING
    Authors Xin Hua Yin, et al.
    Applications Unspecified
    Reactivity
  • OXCT1 succinylation and activation by SUCLA2 promotes ketolysis and liver tumor growth
    Year 2025
    Journal MOLECULAR CELL
    Authors Dong Guo, et al.
    Applications Unspecified
    Reactivity
  • CPT1A promotes the proliferation and immune evasion of lung cancer by inducing CTLA-4 K154 succinylation
    Year 2025
    Journal BIOCHEMICAL AND BIOPHYSICAL RESEARCH COMMUNICATIONS
    Authors Wencui Kong, et al.
    Applications Unspecified
    Reactivity
  • CPT1A mediates succinylation of LDHA at K318 site promoteing metabolic reprogramming in NK/T-cell lymphoma nasal type
    Year 2025
    Journal CELL BIOLOGY AND TOXICOLOGY
    Authors Tian Hao, et al.
    Applications WB
    Reactivity
  • Total glucosides of paeony ameliorates chemotherapy-induced neuropathic pain by suppressing microglia pyroptosis through the inhibition of KAT2A-mediated p38 pathway activation and succinylation
    Year 2024
    Journal Scientific Reports
    Authors Chen Rong, et al.
    Applications Unspecified
    Reactivity
  • Desuccinylation of TBK1 by SIRT5 regulates inflammatory response of macrophages in sepsis
    Year 2024
    Journal Cell Reports
    Authors Xuedi Zhang, et al.
    Applications Unspecified
    Reactivity
  • SIRT5 mediated succinylation of SUCLA2 regulates TCA cycle dysfunction and mitochondrial damage in pancreatic acinar cells in acute pancreatitis
    Year 2024
    Journal BIOCHIMICA ET BIOPHYSICA ACTA-MOLECULAR BASIS OF DISEASE
    Authors Wenbin Liu, et al.
    Applications Unspecified
    Reactivity
  • SIRT5 inhibits glycolysis and nasal type extranodal NK/T cell lymphoma cell proliferation by catalyzing the desuccinylation of glucose-6-phosphate isomerase
    Year 2024
    Journal Translational Oncology
    Authors Tiansheng Wang, et al.
    Applications Unspecified
    Reactivity
  • Importance of benzoyltransferase GcnE and lysine benzoylation of alcohol dehydrogenase AdhB in pathogenesis and aflatoxin production in Aspergillus flavus
    Year 2024
    Journal mBio
    Authors Xuan Chen, et al.
    Applications Unspecified
    Reactivity
  • Sirtuin-5 Is Recruited to Hepatic Peroxisomes in Mice Fed Dodecanedioic Acid but Has Little Impact on the Peroxisomal Succinylome
    Year 2024
    Journal Biomolecules
    Authors Yuxun Zhang, et al.
    Applications Unspecified
    Reactivity
  • Desuccinylation of Inosine-5´-monophosphate Dehydrogenase 1 by SIRT5 Promotes Tumor Cell Proliferation
    Year 2024
    Journal JOURNAL OF BIOLOGICAL CHEMISTRY
    Authors Chang Xu, et al.
    Applications Unspecified
    Reactivity
  • Nucleolin Malonylation as a Nuclear-Cytosol Signal Exchange Mechanism to Drive Cell Proliferation in Hepatocarcinoma by Enhancing AKT Translation
    Year 2024
    Journal JOURNAL OF BIOLOGICAL CHEMISTRY
    Authors Liang Sun, et al.
    Applications Unspecified
    Reactivity
  • Antitumorigenic potential of Lactobacillus-derived extracellular vesicles: p53 succinylation and glycolytic reprogramming in intestinal epithelial cells via SIRT5 modulation
    Year 2024
    Journal CELL BIOLOGY AND TOXICOLOGY
    Authors Zhang Jingbo, et al.
    Applications Unspecified
    Reactivity
  • Glycometabolic reprogramming-induced XRCC1 lactylation confers therapeutic resistance in ALDH1A3-overexpressing glioblastoma
    Year 2024
    Journal Cell Metabolism
    Authors Guanzhang Li, et al.
    Applications Unspecified
    Reactivity
  • Global lysine succinylation analysis unveils post-translational regulation effect on phenylpropanoid metabolism remodeling during Lonicera japonica flower development
    Year 2024
    Journal PLANT PHYSIOLOGY AND BIOCHEMISTRY
    Authors Yao Chen, et al.
    Applications Unspecified
    Reactivity
  • Astrocyte-derived lactate aggravates brain injury of ischemic stroke in mice by promoting the formation of protein lactylation
    Year 2024
    Journal Theranostics
    Authors Xiao-Yi Xiong, et al.
    Applications Unspecified
    Reactivity
  • SIRT7 Inhibits Melanin Synthesis of PIG1 and PIG3V by Suppressing the Succinylation of EZR
    Year 2024
    Journal Clinical Cosmetic and Investigational Dermatology
    Authors Yuehong Ma, et al.
    Applications Unspecified
    Reactivity
  • Astrocytic LRP1 enables mitochondria transfer to neurons and mitigates brain ischemic stroke by suppressing ARF1 lactylation
    Year 2024
    Journal Cell Metabolism
    Authors Jian Zhou, et al.
    Applications Unspecified
    Reactivity
  • Astragaloside IV inhibits cell viability and glycolysis of hepatocellular carcinoma by regulating KAT2A-mediated succinylation of PGAM1
    Year 2024
    Journal BMC CANCER
    Authors Zhu Yuanzhang, et al.
    Applications Unspecified
    Reactivity
  • Succinylation of 14–3–3 theta by CPT1A promotes survival and paclitaxel resistance in nasal type extranodal natural killer/T-cell lymphoma
    Year 2024
    Journal Translational Oncology
    Authors Xiao Cui, et al.
    Applications Unspecified
    Reactivity
  • Human SIRT5 variants with reduced stability and activity do not cause neuropathology in mice
    Year 2024
    Journal iScience
    Authors Taolin Yuan, et al.
    Applications Unspecified
    Reactivity
  • Mitochondrial glycerol 3-phosphate dehydrogenase deficiency exacerbates lipotoxic cardiomyopathy
    Year 2024
    Journal iScience
    Authors Hua Qu, et al.
    Applications Unspecified
    Reactivity
  • Sirt5 improves cardiomyocytes fatty acid metabolism and ameliorates cardiac lipotoxicity in diabetic cardiomyopathy via CPT2 de-succinylation
    Year 2024
    Journal Redox Biology
    Authors Maoxiong Wu, et al.
    Applications WB
    Reactivity
  • Proteome, lysine acetylome and succinylome identify post-translational modification of STAT1 as a novel drug target in silicosis
    Year 2024
    Journal MOLECULAR & CELLULAR PROTEOMICS
    Authors Tiantian Zhang, et al.
    Applications Unspecified
    Reactivity
  • Protein acylations induced by a ketogenic diet demonstrate diverse patterns depending on organs and differ between histones and global proteins
    Year 2024
    Journal BIOCHEMICAL AND BIOPHYSICAL RESEARCH COMMUNICATIONS
    Authors Minami Ito, et al.
    Applications Unspecified
    Reactivity
  • SIRT5 promote malignant advancement of chordoma by regulating the desuccinylation of c-myc
    Year 2024
    Journal BMC CANCER
    Authors Jiang Minghui, et al.
    Applications Unspecified
    Reactivity
  • Sirtuin 5 regulates acute myeloid leukemia cell viability and apoptosis by succinylation modification of glycine decarboxylase
    Year 2024
    Journal Open Life Sciences
    Authors Jun Zhang, et al.
    Applications Unspecified
    Reactivity
  • Histidine re-sensitizes pediatric acute lymphoblastic leukemia to 6-mercaptopurine through tetrahydrofolate consumption and SIRT5-mediated desuccinylation
    Year 2024
    Journal Cell Death & Disease
    Authors Dong Na, et al.
    Applications Unspecified
    Reactivity
  • Regulation of urea cycle by reversible high-stoichiometry lysine succinylation
    Year 2024
    Journal Nature Metabolism
    Authors Zhang Ran, et al.
    Applications Unspecified
    Reactivity
  • Protein lysine acetylation does not contribute to the high rates of fatty acid oxidation seen in the post-ischemic heart
    Year 2024
    Journal Scientific Reports
    Authors Ketema Ezra B., et al.
    Applications Unspecified
    Reactivity
  • OXCT1 functions as a succinyltransferase, contributing to hepatocellular carcinoma via succinylating LACTB
    Year 2024
    Journal Mol Cell
    Authors Wenhao Ma, et al.
    Applications WB
    Reactivity
  • Lysine 2-hydroxyisobutyrylation of NAT10 promotes cancer metastasis in an ac4C-dependent manner
    Year 2023
    Journal CELL RESEARCH
    Authors Liao Long, et al.
    Applications Unspecified
    Reactivity
  • HDAC1/2/3 are major histone desuccinylases critical for promoter desuccinylation
    Year 2023
    Journal Cell Discovery
    Authors Li Jialun, et al.
    Applications Unspecified
    Reactivity
  • Lysine 2-Hydroxyisobutyrylation- and Succinylation-Based Pathways Act Inside Chloroplasts to Modulate Plant Photosynthesis and Immunity
    Year 2023
    Journal Advanced Science
    Authors Bin Chen, et al.
    Applications Unspecified
    Reactivity
  • Succinate metabolism and membrane reorganization drives the endotheliopathy and coagulopathy of traumatic hemorrhage
    Year 2023
    Journal Science Advances
    Authors Sarah Abdullah, et al.
    Applications Unspecified
    Reactivity
  • Histone malonylation is regulated by SIRT5 and KAT2A
    Year 2023
    Journal iScience
    Authors Ran Zhang, et al.
    Applications Unspecified
    Reactivity
  • Heptanoic and medium branched-chain fatty acids as anaplerotic treatment for medium chain acyl-CoA dehydrogenase deficiency
    Year 2023
    Journal MOLECULAR GENETICS AND METABOLISM
    Authors Anuradha Karunanidhi, et al.
    Applications Unspecified
    Reactivity
  • Global proteomic analysis reveals lysine succinylation contributes to the pathogenesis of aortic aneurysm and dissection
    Year 2023
    Journal Journal of Proteomics
    Authors Hongwei Zhang, et al.
    Applications Unspecified
    Reactivity
  • Acylation of the Rat Brain Proteins is Affected by the Inhibition of Pyruvate Dehydrogenase in vivo
    Year 2023
    Journal BIOCHEMISTRY-MOSCOW
    Authors Aleshin Vasily A., et al.
    Applications Unspecified
    Reactivity
  • Tandem mass tag-based quantitative proteomic analysis identification of succinylation related proteins in pathogenesis of thoracic aortic aneurysm and aortic dissection
    Year 2023
    Journal PeerJ
    Authors Yu Zhang, et al.
    Applications Unspecified
    Reactivity
  • SIRT5-mediated ME2 desuccinylation promotes cancer growth by enhancing mitochondrial respiration
    Year 2023
    Journal CELL DEATH AND DIFFERENTIATION
    Authors Teng Peng, et al.
    Applications Unspecified
    Reactivity
  • Dimethyl Malonate Protects the Lung in a Murine Model of Acute Respiratory Distress Syndrome
    Year 2023
    Journal Journal of Trauma and Acute Care Surgery
    Authors Taghavi Sharven, et al.
    Applications Unspecified
    Reactivity
  • SUCLG2 Regulates Mitochondrial Dysfunction through Succinylation in Lung Adenocarcinoma
    Year 2023
    Journal Advanced Science
    Authors Qifan Hu, et al.
    Applications Unspecified
    Reactivity
  • Succinylation proteomic analysis identified differentially expressed succinylation sites affecting porcine muscle fiber type function
    Year 2023
    Journal Food Chemistry-X
    Authors Xiaofan Tan, et al.
    Applications Unspecified
    Reactivity
  • Defective function of α-ketoglutarate dehydrogenase exacerbates mitochondrial ATP deficits during complex I deficiency
    Year 2023
    Journal Redox Biology
    Authors Gerardo G. Piroli, et al.
    Applications Unspecified
    Reactivity
  • Inhibition of integrin receptors reduces extracellular matrix levels, ameliorating benign prostate hyperplasia
    Year 2023
    Journal INTERNATIONAL JOURNAL OF BIOLOGICAL MACROMOLECULES
    Authors Chengfei Yang, et al.
    Applications Unspecified
    Reactivity
  • LncRNA GLTC targets LDHA for succinylation and enzymatic activity to promote progression and radioiodine resistance in papillary thyroid cancer
    Year 2023
    Journal CELL DEATH AND DIFFERENTIATION
    Authors Shi Liang, et al.
    Applications Unspecified
    Reactivity
  • Malonylation of Acetyl-CoA carboxylase 1 promotes hepatic steatosis and is attenuated by ketogenic diet in NAFLD
    Year 2023
    Journal Cell Reports
    Authors Huanyi Cao, et al.
    Applications Unspecified
    Reactivity
  • The deacylase sirtuin 5 reduces malonylation in nonmitochondrial metabolic pathways in diabetic kidney disease
    Year 2023
    Journal JOURNAL OF BIOLOGICAL CHEMISTRY
    Authors Judy Baek, et al.
    Applications Unspecified
    Reactivity
  • Sodium butyrate activates HMGCS2 to promote ketone body production through SIRT5-mediated desuccinylation
    Year 2023
    Journal Frontiers of Medicine
    Authors Xu Yanhong, et al.
    Applications Unspecified
    Reactivity
  • Altered succinylation of mitochondrial proteins, APP and tau in Alzheimer’s disease
    Year 2022
    Journal Nature Communications
    Authors Yang Yun, et al.
    Applications Unspecified
    Reactivity
  • Nuclear Condensation of CDYL Links Histone Crotonylation and Cystogenesis in Autosomal Dominant Polycystic Kidney Disease
    Year 2022
    Journal JOURNAL OF THE AMERICAN SOCIETY OF NEPHROLOGY
    Authors Dang Lin, et al.
    Applications Unspecified
    Reactivity
  • Operation of a TCA cycle subnetwork in the mammalian nucleus
    Year 2022
    Journal Science Advances
    Authors Eleni Kafkia, et al.
    Applications Unspecified
    Reactivity
  • TFAM loss induces nuclear actin assembly upon mDia2 malonylation to promote liver cancer metastasis
    Year 2022
    Journal EMBO JOURNAL
    Authors Qichao Huang, et al.
    Applications Unspecified
    Reactivity
  • Succinyl-CoA Synthetase Deficiency in Mouse Forebrain Results in Hyper-Succinylation With Perturbed Neuronal Transcriptional Regulation and Metabolism
    Year 2022
    Journal Cell Reports
    Authors Anderson Makayla Suzanne, et al.
    Applications Unspecified
    Reactivity
  • Aspirin modulates succinylation of PGAM1K99 to restrict the glycolysis through NF-κB/HAT1/PGAM1 signaling in liver cancer
    Year 2022
    Journal ACTA PHARMACOLOGICA SINICA
    Authors Wang Yu-fei, et al.
    Applications Unspecified
    Reactivity
  • Phosphonate Inhibitors of Pyruvate Dehydrogenase Perturb Homeostasis of Amino Acids and Protein Succinylation in the Brain
    Year 2022
    Journal INTERNATIONAL JOURNAL OF MOLECULAR SCIENCES
    Authors Artem V. Artiukhov, et al.
    Applications Unspecified
    Reactivity
  • Ischemic accumulation of succinate induces Cdc42 succinylation and inhibits neural stem cell proliferation after cerebral ischemia/reperfusion
    Year 2022
    Journal Neural Regeneration Research
    Authors Huang Lin-Yan, et al.
    Applications Unspecified
    Reactivity
  • A suppressor of dioxygenase inhibition in a yeast model of SDH deficiency
    Year 2022
    Journal ENDOCRINE-RELATED CANCER
    Authors William Beimers, et al.
    Applications Unspecified
    Reactivity
  • KAT2A Promotes Hepatitis B Virus Transcription and Replication Through Epigenetic Regulation of cccDNA Minichromosome
    Year 2022
    Journal Frontiers in Microbiology
    Authors Qin Yi-Ping, et al.
    Applications Unspecified
    Reactivity
  • Protein succinylation associated with the progress of hepatocellular carcinoma
    Year 2022
    Journal JOURNAL OF CELLULAR AND MOLECULAR MEDICINE
    Authors Wenhui Bai, et al.
    Applications Unspecified
    Reactivity
  • Proteome-wide analyses reveal diverse functions of protein acetylation and succinylation modifications in fast growing stolons of bermudagrass (Cynodon dactylon L.)
    Year 2022
    Journal BMC PLANT BIOLOGY
    Authors Zhang Bing, et al.
    Applications Unspecified
    Reactivity
  • Sirt5-mediated desuccinylation of OPTN protects retinal ganglion cells from autophagic flux blockade in diabetic retinopathy
    Year 2022
    Journal Cell Death Discovery
    Authors Zhang Ye, et al.
    Applications Unspecified
    Reactivity
  • Deglutarylation of glutaryl-CoA dehydrogenase by deacylating enzyme SIRT5 promotes lysine oxidation in mice
    Year 2022
    Journal JOURNAL OF BIOLOGICAL CHEMISTRY
    Authors Dhaval P. Bhatt, et al.
    Applications Unspecified
    Reactivity
  • The Acyl-CoA Specificity of Human Lysine Acetyltransferase KAT2A
    Year 2022
    Journal BIOCHEMISTRY
    Authors Ananya Anmangandla, et al.
    Applications Unspecified
    Reactivity
  • NEAT1 is essential for metabolic changes that promote breast cancer growth and metastasis
    Year 2021
    Journal Cell Metabolism
    Authors Mi Kyung Park, et al.
    Applications Unspecified
    Reactivity
  • Repression of p53 function by SIRT5-mediated desuccinylation at Lysine 120 in response to DNA damage
    Year 2021
    Journal CELL DEATH AND DIFFERENTIATION
    Authors Liu Xing, et al.
    Applications Unspecified
    Reactivity
  • Multi-omics analyses reveal the mechanisms of Arsenic-induced male reproductive toxicity in mice
    Year 2021
    Journal JOURNAL OF HAZARDOUS MATERIALS
    Authors Zijun Peng, et al.
    Applications Unspecified
    Reactivity
  • Deletion of BCATm increases insulin-stimulated glucose oxidation in the heart
    Year 2021
    Journal METABOLISM-CLINICAL AND EXPERIMENTAL
    Authors Golam M. Uddin, et al.
    Applications Unspecified
    Reactivity
  • Comprehensive identification of lysine 2-hydroxyisobutyrylated proteins in Ustilaginoidea virens reveals the involvement of lysine 2-hydroxyisobutyrylation in fungal virulence
    Year 2021
    Journal Journal of Integrative Plant Biology
    Authors Xiaoyang Chen, et al.
    Applications Unspecified
    Reactivity
  • Cellular carbon stress is a mediator of obesity-associated osteoarthritis development
    Year 2021
    Journal OSTEOARTHRITIS AND CARTILAGE
    Authors H. Liu, et al.
    Applications Unspecified
    Reactivity
  • SIRT7 restricts HBV transcription and replication through catalyzing desuccinylation of histone H3 associated with cccDNA minichromosome
    Year 2021
    Journal CLINICAL SCIENCE
    Authors Yu Hai-Bo, et al.
    Applications Unspecified
    Reactivity
  • Dietary succinate supplementation to maternal mice improves fetal brown adipose tissue development and thermogenesis of female offspring
    Year 2021
    Journal JOURNAL OF NUTRITIONAL BIOCHEMISTRY
    Authors Xiangdong Liu, et al.
    Applications Unspecified
    Reactivity
  • Systematic Proteome and Lysine Succinylome Analysis Reveals Enhanced Cell Migration by Hyposuccinylation in Esophageal Squamous Cell Carcinoma
    Year 2021
    Journal MOLECULAR & CELLULAR PROTEOMICS
    Authors Zhenchang Guo, et al.
    Applications Unspecified
    Reactivity
  • Preparation of Affinity Purified Antibodies against ε-Glutaryl-Lysine Residues in Proteins for Investigation of Glutarylated Proteins in Animal Tissues
    Year 2021
    Journal Biomolecules
    Authors Artem V. Artiukhov, et al.
    Applications Unspecified
    Reactivity
  • Loss of the mitochondrial phosphate carrier SLC25A3 induces remodeling of the cardiac mitochondrial protein acylome
    Year 2021
    Journal AMERICAN JOURNAL OF PHYSIOLOGY-CELL PHYSIOLOGY
    Authors Jessica N. Peoples, et al.
    Applications Unspecified
    Reactivity
  • Dysregulation of the Sirt5/IDH2 axis contributes to sunitinib resistance in human renal cancer cells
    Year 2021
    Journal FEBS Open Bio
    Authors Liang Meng, et al.
    Applications Unspecified
    Reactivity
  • Skeletal muscle of torpid Richardson's ground squirrels (Urocitellus richardsonii) exhibits a less active form of citrate synthase associated with lowered lysine succinylation
    Year 2021
    Journal CRYOBIOLOGY
    Authors Stuart R. Green, et al.
    Applications Unspecified
    Reactivity
  • Pimozide Alleviates Hyperglycemia in Diet-Induced Obesity by Inhibiting Skeletal Muscle Ketone Oxidation
    Year 2020
    Journal Cell Metabolism
    Authors Rami Al Batran, et al.
    Applications Unspecified
    Reactivity
  • Protein Hyperacylation Links Mitochondrial Dysfunction with Nuclear Organization
    Year 2020
    Journal MOLECULAR CELL
    Authors Smestad John, et al.
    Applications Unspecified
    Reactivity
  • Repression of P53 Function by SIRT5-Mediated Desuccinylation at Lysine 120
    Year 2020
    Journal Cell Reports
    Authors Liu Xing, et al.
    Applications Unspecified
    Reactivity
  • SIRT5 deficiency enhances the proliferative and therapeutic capacities of adipose-derived mesenchymal stem cells via metabolic switching
    Year 2020
    Journal Clinical and Translational Medicine
    Authors Tiantong Ou, et al.
    Applications Unspecified
    Reactivity
  • Lysine-222 succinylation reduces lysosomal degradation of lactate dehydrogenase a and is increased in gastric cancer
    Year 2020
    Journal JOURNAL OF EXPERIMENTAL & CLINICAL CANCER RESEARCH
    Authors Li Xiang, et al.
    Applications Unspecified
    Reactivity
  • Increased protein propionylation contributes to mitochondrial dysfunction in liver cells and fibroblasts, but not in myotubes
    Year 2020
    Journal JOURNAL OF INHERITED METABOLIC DISEASE
    Authors Bart Lagerwaard, et al.
    Applications Unspecified
    Reactivity
  • Impaired mitochondrial medium-chain fatty acid oxidation drives periportal macrovesicular steatosis in sirtuin-5 knockout mice
    Year 2020
    Journal Scientific Reports
    Authors Goetzman Eric S., et al.
    Applications Unspecified
    Reactivity
  • An optimized desuccinylase activity assay reveals a difference in desuccinylation activity between proliferative and differentiated cells
    Year 2020
    Journal Scientific Reports
    Authors Yuan Taolin, et al.
    Applications Unspecified
    Reactivity
  • Nucleotide-binding sites can enhance N-acylation of nearby protein lysine residues
    Year 2020
    Journal Scientific Reports
    Authors James Andrew M., et al.
    Applications Unspecified
    Reactivity
  • Succinylation at a key residue of FEN1 is involved in the DNA damage response to maintain genome stability
    Year 2020
    Journal AMERICAN JOURNAL OF PHYSIOLOGY-CELL PHYSIOLOGY
    Authors Rongyi Shi, et al.
    Applications Unspecified
    Reactivity
  • Systematic analysis of lysine acetylome and succinylome reveals the correlation between modification of H2A.X complexes and DNA damage response in breast cancer
    Year 2020
    Journal ONCOLOGY REPORTS
    Authors Xiuli Gao, et al.
    Applications Unspecified
    Reactivity
  • Regulation of the α-ketoglutarate dehydrogenasecomplex during hibernation in a small mammal, the Richardson's ground squirrel (Urocitellus richardsonii)
    Year 2020
    Journal BIOCHIMICA ET BIOPHYSICA ACTA-PROTEINS AND PROTEOMICS
    Authors Stuart R. Green, et al.
    Applications Unspecified
    Reactivity
  • A Qualitative Proteome-Wide Lysine Succinylation Profiling of Tea Revealed its Involvement in Primary Metabolism
    Year 2020
    Journal MOLECULAR BIOLOGY
    Authors Qiu C., et al.
    Applications Unspecified
    Reactivity
  • Regulation of UCP1 and Mitochondrial Metabolism in Brown Adipose Tissue by Reversible Succinylation
    Year 2019
    Journal MOLECULAR CELL
    Authors GuoXiao Wang, et al.
    Applications Unspecified
    Reactivity
  • Sirtuin 5 Regulates Proximal Tubule Fatty Acid Oxidation to Protect against AKI
    Year 2019
    Journal JOURNAL OF THE AMERICAN SOCIETY OF NEPHROLOGY
    Authors Chiba Takuto, et al.
    Applications Unspecified
    Reactivity
  • Targeting oxidative pentose phosphate pathway prevents recurrence in mutant Kras colorectal carcinomas
    Year 2019
    Journal PLOS BIOLOGY
    Authors WenChao Gao, et al.
    Applications Unspecified
    Reactivity
  • Comprehensive Analysis of the Lysine Succinylome and Protein Co-modifications in Developing Rice Seeds *
    Year 2019
    Journal MOLECULAR & CELLULAR PROTEOMICS
    Authors Xiaoxi Meng, et al.
    Applications Unspecified
    Reactivity
  • Quantifying Competition among Mitochondrial Protein Acylation Events Induced by Ethanol Metabolism
    Year 2019
    Journal JOURNAL OF PROTEOME RESEARCH
    Authors Hadi R. Ali, et al.
    Applications Unspecified
    Reactivity
  • Lead-mediated inhibition of lysine acetylation and succinylation causes reproductive injury of the mouse testis during development
    Year 2019
    Journal TOXICOLOGY LETTERS
    Authors Qiangzhen Yang, et al.
    Applications Unspecified
    Reactivity
  • Succinylome Analysis Reveals the Involvement of Lysine Succinylation in the Extreme Resistance of Deinococcus radiodurans
    Year 2019
    Journal PROTEOMICS
    Authors Congli Zhou, et al.
    Applications Unspecified
    Reactivity
  • Quantitative proteomics of changes in succinylated proteins expression profiling in left appendages tissue from valvular heart disease patients with atrial fibrillation
    Year 2019
    Journal CLINICA CHIMICA ACTA
    Authors Fan Bai, et al.
    Applications Unspecified
    Reactivity
  • A Potent and Specific CD38 Inhibitor Ameliorates Age-Related Metabolic Dysfunction by Reversing Tissue NAD+ Decline
    Year 2018
    Journal Cell Metabolism
    Authors Mariana G. Tarragó, et al.
    Applications Unspecified
    Reactivity
  • Sirtuin5 contributes to colorectal carcinogenesis by enhancing glutaminolysis in a deglutarylation-dependent manner
    Year 2018
    Journal Nature Communications
    Authors Wang Yun-Qian, et al.
    Applications Unspecified
    Reactivity
  • SIRT5 deacylates metabolism-related proteins and attenuates hepatic steatosis in ob/ob mice
    Year 2018
    Journal EBioMedicine
    Authors Yipeng Du, et al.
    Applications Unspecified
    Reactivity
  • Chromatin Succinylation Correlates with Active Gene Expression and Is Perturbed by Defective TCA Cycle Metabolism
    Year 2018
    Journal iScience
    Authors John Smestad, et al.
    Applications Unspecified
    Reactivity
  • Protein Acylation is a General Regulatory Mechanism in Biosynthetic Pathway of Acyl-CoA-Derived Natural Products
    Year 2018
    Journal Cell Chemical Biology
    Authors Jun-Yu Xu, et al.
    Applications Unspecified
    Reactivity
  • SIRT5-mediated deacetylation of LDHB promotes autophagy and tumorigenesis in colorectal cancer
    Year 2018
    Journal Molecular Oncology
    Authors Liang Shi, et al.
    Applications Unspecified
    Reactivity
  • Lysine Succinylation Contributes to Aflatoxin Production and Pathogenicity in Aspergillus flavus*
    Year 2018
    Journal MOLECULAR & CELLULAR PROTEOMICS
    Authors Silin Ren, et al.
    Applications Unspecified
    Reactivity
  • CPT1A‐mediated succinylation of S100A10 increases human gastric cancer invasion
    Year 2018
    Journal JOURNAL OF CELLULAR AND MOLECULAR MEDICINE
    Authors Chao Wang, et al.
    Applications Unspecified
    Reactivity
  • Systematic Identification and Analysis of Lysine Succinylation in Strawberry Stigmata
    Year 2018
    Journal JOURNAL OF AGRICULTURAL AND FOOD CHEMISTRY
    Authors Xianping Fang, et al.
    Applications Unspecified
    Reactivity
  • Cadmium inhibits lysine acetylation and succinylation inducing testicular injury of mouse during development
    Year 2018
    Journal TOXICOLOGY LETTERS
    Authors Qiangzhen Yang, et al.
    Applications Unspecified
    Reactivity
  • Purification of carbamoyl phosphate synthetase 1 (CPS1) from wood frog (Rana sylvatica) liver and its regulation in response to ice-nucleation and subsequent whole-body freezing
    Year 2018
    Journal MOLECULAR AND CELLULAR BIOCHEMISTRY
    Authors Green Stuart R., et al.
    Applications Unspecified
    Reactivity
  • Tissue distribution, subcellular localization, and enzymatic activity analysis of human SIRT5 isoforms
    Year 2018
    Journal BIOCHEMICAL AND BIOPHYSICAL RESEARCH COMMUNICATIONS
    Authors Yipeng Du, et al.
    Applications Unspecified
    Reactivity
  • CPT1A-mediated succinylation of S100A10 increases human gastric cancer invasion
    Year 2018
    Journal JOURNAL OF CELLULAR AND MOLECULAR MEDICINE
    Authors Chao Wang, et al.
    Applications Unspecified
    Reactivity
  • A Class of Reactive Acyl-CoA Species Reveals the Non-enzymatic Origins of Protein Acylation
    Year 2017
    Journal Cell Metabolism
    Authors Gregory R. Wagner, et al.
    Applications Unspecified
    Reactivity
  • Characterization of histone acylations links chromatin modifications with metabolism
    Year 2017
    Journal Nature Communications
    Authors Simithy Johayra, et al.
    Applications Unspecified
    Reactivity
  • Non-enzymatic N-acetylation of Lysine Residues by AcetylCoA Often Occurs via a Proximal S-acetylated Thiol Intermediate Sensitive to Glyoxalase II
    Year 2017
    Journal Cell Reports
    Authors Andrew M. James, et al.
    Applications Unspecified
    Reactivity
  • Lysine desuccinylase SIRT5 binds to cardiolipin and regulates the electron transport chain
    Year 2017
    Journal JOURNAL OF BIOLOGICAL CHEMISTRY
    Authors Yuxun Zhang, et al.
    Applications Unspecified
    Reactivity
  • The Mammalian Malonyl-CoA Synthetase ACSF3 Is Required for Mitochondrial Protein Malonylation and Metabolic Efficiency
    Year 2017
    Journal Cell Chemical Biology
    Authors Caitlyn E. Bowman, et al.
    Applications Unspecified
    Reactivity
  • Site-Specific Installation of Succinyl Lysine Analog into Histones Reveals the Effect of H2BK34 Succinylation on Nucleosome Dynamics
    Year 2017
    Journal Cell Chemical Biology
    Authors Yihang Jing, et al.
    Applications Unspecified
    Reactivity
  • SIRT7 is a histone desuccinylase that functionally links to chromatin compaction and genome stability
    Year 2016
    Journal Nature Communications
    Authors Li Lei, et al.
    Applications Unspecified
    Reactivity
  • Metabolomics-assisted proteomics identifies succinylation and SIRT5 as important regulators of cardiac function
    Year 2016
    Journal PROCEEDINGS OF THE NATIONAL ACADEMY OF SCIENCES OF THE UNITED STATES OF AMERICA
    Authors Sushabhan Sadhukhan, et al.
    Applications Unspecified
    Reactivity
  • NAMPT-Mediated NAD+ Biosynthesis Is Essential for Vision In Mice
    Year 2016
    Journal Cell Reports
    Authors Jonathan B. Lin, et al.
    Applications Unspecified
    Reactivity
  • SIRT5 promotes IDH2 desuccinylation and G6PD deglutarylation to enhance cellular antioxidant defense
    Year 2016
    Journal EMBO REPORTS
    Authors Lisha Zhou, et al.
    Applications Unspecified
    Reactivity
  • Succinyl-proteome profiling of a high taxol containing hybrid Taxus species (Taxus × media) revealed involvement of succinylation in multiple metabolic pathways
    Year 2016
    Journal Scientific Reports
    Authors Shen Chenjia, et al.
    Applications Unspecified
    Reactivity
  • Sirtuin 5 protects mitochondria from fragmentation and degradation during starvation
    Year 2016
    Journal BIOCHIMICA ET BIOPHYSICA ACTA-MOLECULAR CELL RESEARCH
    Authors Hala Guedouari, et al.
    Applications Unspecified
    Reactivity
  • Prediction of Protein Lysine Acylation by Integrating Primary Sequence Information with Multiple Functional Features
    Year 2016
    Journal JOURNAL OF PROTEOME RESEARCH
    Authors Yipeng Du, et al.
    Applications Unspecified
    Reactivity
  • Systematic Analysis of the Lysine Succinylome in Candida albicans
    Year 2016
    Journal JOURNAL OF PROTEOME RESEARCH
    Authors Hailin Zheng, et al.
    Applications Unspecified
    Reactivity
  • Global Proteome Analyses of Lysine Acetylation and Succinylation Reveal the Widespread Involvement of both Modification in Metabolism in the Embryo of Germinating Rice Seed
    Year 2016
    Journal JOURNAL OF PROTEOME RESEARCH
    Authors Dongli He, et al.
    Applications Unspecified
    Reactivity
  • The Role of Mitochondrial Non-Enzymatic Protein Acylation in Ageing
    Year 2016
    Journal PLoS One
    Authors Shin Yee Hong, et al.
    Applications Unspecified
    Reactivity
  • Biotin starvation causes mitochondrial protein hyperacetylation and partial rescue by the SIRT3-like deacetylase Hst4p
    Year 2015
    Journal Nature Communications
    Authors Madsen Christian T., et al.
    Applications Unspecified
    Reactivity
  • Succinylome Analysis Reveals the Involvement of Lysine Succinylation in Metabolism in Pathogenic Mycobacterium tuberculosis
    Year 2015
    Journal MOLECULAR & CELLULAR PROTEOMICS
    Authors Mingkun Yang, et al.
    Applications Unspecified
    Reactivity
  • Characterization of the cardiac succinylome and its role in ischemia–reperfusion injury
    Year 2015
    Journal JOURNAL OF MOLECULAR AND CELLULAR CARDIOLOGY
    Authors Jennifer A. Boylston, et al.
    Applications Unspecified
    Reactivity
  • Lysine Malonylation Is Elevated in Type 2 Diabetic Mouse Models and Enriched in Metabolic Associated Proteins *
    Year 2014
    Journal MOLECULAR & CELLULAR PROTEOMICS
    Authors Yipeng Du, et al.
    Applications Unspecified
    Reactivity
  • Systematic Identification of the Lysine Succinylation in the Protozoan Parasite Toxoplasma gondii
    Year 2014
    Journal JOURNAL OF PROTEOME RESEARCH
    Authors Xiaolong Li, et al.
    Applications Unspecified
    Reactivity
  • Pigment Epithelium-Derived Factor (PEDF) Suppresses IL-1β-Mediated c-Jun N-Terminal Kinase (JNK) Activation to Improve Hepatocyte Insulin Signaling
    Year 2014
    Journal ENDOCRINOLOGY
    Authors Gattu Arijeet K., et al.
    Applications Unspecified
    Reactivity
  • Succinate is an inflammatory signal that induces IL-1β through HIF-1α
    Year 2013
    Journal NATURE
    Authors Tannahill G. M., et al.
    Applications Unspecified
    Reactivity
  • Widespread and Enzyme-independent Nϵ-Acetylation and Nϵ-Succinylation of Proteins in the Chemical Conditions of the Mitochondrial Matrix *♦
    Year 2013
    Journal JOURNAL OF BIOLOGICAL CHEMISTRY
    Authors Gregory R. Wagner, et al.
    Applications Unspecified
    Reactivity
  • Lysine Succinylation Is a Frequently Occurring Modification in Prokaryotes and Eukaryotes and Extensively Overlaps with Acetylation
    Year 2013
    Journal Cell Reports
    Authors Brian T. Weinert, et al.
    Applications Unspecified
    Reactivity