/ EN
Technical Support
| Contact Us
+1 312-802-6843
Technical Support
Contact Us
+1 312-802-6843
/ EN
Recover password
Professional Email
Verification Code
Send Code
Password
Anti-Succinyl-Histone H3 (Lys23) Mouse mAb
Catalog Number: PTM-422
References (2)
$ 435

Clone Number: /

Host: Mouse Clonality: Monoclonal

Applications: WB IHC-P

Reactivity: Human, Mouse, Rat

Synonyms: H3K23su

Product Size
100 μl
Quantity

Shipping: Ambient temperature

Order online or send purchase order to info@ptmbio.com

FAQ Technical Support Protocols

General Information
Isotype IgG
Conjugate Unconjugated
Synonyms H3K23su
UniProt ID

P68431

Immunogen Succinylated human histone H3 (Lys23) peptide
MW (kDa) 15
Specificity
Product Usage Information
Applications Dilution Recommended Species
WB 1:500 - 1:2000 Human, Mouse, Rat
IHC-P 1:50 - 1:200 Human
Properties
Purity Protein G and immunogen affinity purified
Constituents PBS, Glycerol, BSA
Storage Store at -20°C. Avoid freeze/thaw cycles.
Stability Stable for 12 months from date of receipt/reconstitution.
Target Information

Background

Histones are subject to a variety of enzyme catalyzed modifications including acetylation, phosphorylation, ubiquitylation etc. Lysine succinylation is a recently identified novel protein post-translational modification (PTM). Lysine succinylation is evolutionarily conserved and abundantly present in proteins in both prokaryotic and eukaryotic cells, suggesting its roles in regulating cellular physiology. This antibody will facilitate studies of lysine succinylation biology by identifying its substrates and studying its function.

Cellular location

Nucleus

Images
ELISA

Succinyl-Histone H3 (Lys23) mouse mAb (PTM-422) specificity was determined by peptide ELISA. The graph depicts the binding of the antibody to pre-coated succinylHistone H3 (Lys23) peptide in the presence of increasing concentrations of various competitor peptides. As shown, only the Succinyl-Histone H3 (Lys23) peptide competed away binding of the antibody.

WB

Blocking buffer: 5% NFDM/TBST
Primary Ab dilution: 1:2000
Primary Ab incubation: 2 hours at room temperature
Secondary Ab: Goat Anti-Mouse IgG H&L pAb(HRP Conjugate)
Lysate: (-) HeLa, (+) HeLa + sodium butyrate(30mM, 4hr)
Protein loading quantity: 20 μg
Exposure time: 60 s
Predicted band size: 17 kDa
Observed band size: 17 kDa

Blocking buffer: 5% NFDM/TBST
Primary Ab dilution: 1:2000
Primary Ab incubation: 2 hours at room temperature
Secondary Ab: Goat Anti-Mouse IgG H&L pAb(HRP Conjugate)
Lysate: N2a
Protein loading quantity: 20 μg
Exposure time: 60 s
Predicted band size: 17 kDa
Observed band size: 17 kDa

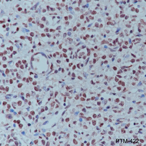
IHC-P

Tissue: Human neuroblastoma
Section type: Formalin fixed & Paraffin - embedded section
Retrieval method: High temperature and high pressure
Retrieval buffer: Tris/EDTA buffer, pH 9.0
Primary Ab dilution: 1:200
Primary Ab incubation: 1 hour at room temperature
Secondary Ab: Anti-Rabbit and Mouse Polymer HRP (Ready to Use)
Counter stain: Hematoxylin (Blue)
Description: The brown color represents the positive signal observed with PTM-422

Research Use

For research use only, not for use in diagnostic procedures.

Recommended Products
  • View More Images(3)
    $ 435
    Anti-Succinyl-Histone H3 (Lys23) Mouse mAb
    Catalog #
    PTM-7479
    Host
    Mouse
    Clonality
    Recombinant Monoclonal
    Conjugate
    Unconjugated
    Reactivity
    Human, Mouse
    Applications:
    WB IHC-P ICC/IF FC IAP IP ChIP mIHC-P CUT&Tag
  • View More Images(2)
    $ 435
    Recombinant Rabbit Monoclonal
    Anti-Succinyllysine Rabbit pAb
    Catalog #
    PTM-401
    Host
    Rabbit
    Clonality
    Polyclonal
    Conjugate
    Unconjugated
    Reactivity
    All
    Applications:
    WB IHC-P ICC/IF FC IAP IP ChIP mIHC-P CUT&Tag
  • View More Images(2)
    $ 420
    Recombinant Rabbit Monoclonal
    Anti-Succinyllysine Mouse mAb
    Catalog #
    PTM-419
    Host
    Mouse
    Clonality
    Monoclonal
    Conjugate
    Unconjugated
    Reactivity
    Human, Mouse, Rat
    Applications:
    WB IHC-P ICC/IF FC IAP IP ChIP mIHC-P CUT&Tag
  • View More Images(1)
    $ 2,110
    Recombinant Rabbit Monoclonal
    Anti-Succinyllysine Antibody Conjugated Agarose Beads
    Catalog #
    PTM-402
    Host
    /
    Clonality
    /
    Conjugate
    Agarose
    Reactivity
    All
    Applications:
    WB IHC-P ICC/IF FC IAP IP ChIP mIHC-P CUT&Tag
References (2)
  • KLF6-mediated recruitment of the p300 complex enhances H3K23su and cooperatively upregulates SEMA3C with FOSL2 to drive 5-FU resistance in colon cancer cells
    Year 2025
    Journal EXPERIMENTAL AND MOLECULAR MEDICINE
    Authors Zhang Bishu, et al.
    Applications Unspecified
    Reactivity
  • HDAC1/2/3 are major histone desuccinylases critical for promoter desuccinylation
    Year 2023
    Journal Cell Discovery
    Authors Li Jialun, et al.
    Applications Unspecified
    Reactivity