/ EN
Technical Support
| Contact Us
+1 312-802-6843
Technical Support
Contact Us
+1 312-802-6843
/ EN
Recover password
Professional Email
Verification Code
Send Code
Password
Recombinant Rabbit Monoclonal
Anti-RING1B Rabbit mAb
Catalog Number: PTM-6605
$ 290

Clone Number: JRMR-10419-168

Host: Rabbit Clonality: Recombinant Monoclonal

Applications: WB IHC-P ICC/IF FC

Reactivity: Human, Mouse, Rat

Synonyms: E3 ubiquitin-protein ligase RING2, RING finger protein 1B (RING1b), RING finger protein 2, RING-type E3 ubiquitin transferase RING2, Rnf2, DinG, Ring1b

Product Size
100 μl
Quantity

Shipping: Ambient temperature

Order online or send purchase order to info@ptmbio.com

FAQ Technical Support Protocols

General Information
Isotype IgG
Conjugate Unconjugated
Synonyms E3 ubiquitin-protein ligase RING2, RING finger protein 1B (RING1b), RING finger protein 2, RING-type E3 ubiquitin transferase RING2, Rnf2, DinG, Ring1b
UniProt ID

Q9CQJ4

Immunogen Synthetic peptide derived from mouse E3 ubiquitin-protein ligase RING2
MW (kDa) 38
Specificity
Product Usage Information
Applications Dilution Recommended Species
WB 1:500 - 1:1000 Human, Mouse, Rat
IHC-P 1:200 - 1:1000 Human, Mouse, Rat
ICC/IF 1:50 Human
FC 1:50 - 1:100 Human
Properties
Purity Protein A purified
Constituents PBS, Glycerol, BSA
Storage Store at -20°C. Avoid freeze/thaw cycles.
Stability Stable for 12 months from date of receipt/reconstitution.
Target Information

Background

RING1B is a E3 ubiquitin-protein ligase that mediates monoubiquitination of 'Lys-119' of histone H2A (H2AK119Ub), thereby playing a central role in histone code and gene regulation. H2AK119Ub gives a specific tag for epigenetic transcriptional repression and participates in X chromosome inactivation of female mammals. It may be involved in the initiation of both imprinted and random X inactivation. It E3 ubiquitin-protein ligase activity is enhanced by BMI1/PCGF4.

Cellular location

Nucleus, Cytoplasm

Images
WB

Blocking buffer: 5% NFDM/TBST
Primary Ab dilution: 1:1000
Primary Ab incubation: 2 hours at room temperature
Secondary Ab: Goat Anti-Rabbit IgG H&L pAb(HRP Conjugate)
Lysate: 1: F9, 2: NIH/3T3, 3: PC-12, 4: C6, 5:293T, 6: HeLa
Protein loading quantity: 20 μg
Exposure time: 60 s
Predicted band size: 38 kDa
Observed band size: 38 kDa

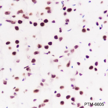
IHC-P

Tissue: Human placenta
Section type: Formalin-fixed & Paraffinembedded section
Retrieval method: High temperature and high pressure
Retrieval buffer: Tris/EDTA buffer, pH 9.0
Primary Ab dilution: 1:1000
Primary Ab incubation: 1 hour at room temperature
Secondary Ab: Anti-Rabbit and Mouse Polymer HRP (Ready to Use)
Counter stain: Hematoxylin (Blue)
Description: The brown color represents the positive signal observed with PTM-6605

Tissue: Mouse brain
Section type: Formalin-fixed & Paraffinembedded section
Retrieval method: High temperature and high pressure
Retrieval buffer: Tris/EDTA buffer, pH 9.0
Primary Ab dilution: 1:1000
Primary Ab incubation: 1 hour at room temperature
Secondary Ab: Anti-Rabbit and Mouse Polymer HRP (Ready to Use)
Counter stain: Hematoxylin (Blue)
Description: The brown color represents the positive signal observed with PTM-6605

Tissue: Rat lung
Section type: Formalin-fixed & Paraffinembedded section
Retrieval method: High temperature and high pressure
Retrieval buffer: Tris/EDTA buffer, pH 9.0
Primary Ab dilution: 1:1000
Primary Ab incubation: 1 hour at room temperature
Secondary Ab: Anti-Rabbit and Mouse Polymer HRP (Ready to Use)
Counter stain: Hematoxylin (Blue)
Description: The brown color represents the positive signal observed with PTM-6605

ICC/IF

Cell line: HeLa
Fixative: 4% Paraformaldehyde
Permeabilization: 0.1% TritonX-100
Primary Ab dilution: 1:50
Primary Ab incubation: 4°C overnight
Secondary Ab: Goat Anti-Rabbit IgG
Nuclear counter stain: DAPI (Blue)
Counter stain: Tubulin (Red)
Description: The green color represents the positive signal observed with PTM-6605

FC

Cell line: HeLa
Fixative: 4% Paraformaldehyde
Permeabilization: 90% Methanol
Primary Ab dilution: 1:100
Secondary Ab: Goat Anti-Rabbit IgG
Unlabeled control: Cells without incubation with primary and secondary antibodies(Black line).
Isotype control: Rabbit monoclonal IgG (Blue line).
Description: Line red is the positive signal for PTM-6605

Research Use

For research use only, not for use in diagnostic procedures.