/ EN
Technical Support
| Contact Us
+1 312-802-6843
Technical Support
Contact Us
+1 312-802-6843
/ EN
Recover password
Professional Email
Verification Code
Send Code
Password
Recombinant Rabbit Monoclonal
Anti-Propionyl-Histone H3 (Lys27) Rabbit mAb
Catalog Number: PTM-221RM
$ 420

Clone Number: /

Host: Rabbit Clonality: Recombinant Monoclonal

Applications: WB IHC-P IP ChIP

Reactivity: Human, Mouse, Rat

Synonyms: H3K27pr

Product Size
100μl
Quantity

Shipping: Ambient temperature

Order online or send purchase order to info@ptmbio.com

FAQ Technical Support Protocols

General Information
Isotype IgG
Conjugate Unconjugated
Synonyms H3K27pr
UniProt ID

P68431

Immunogen Propionylated human histone H3 (Lys27) peptide
MW (kDa) 15
Specificity Anti-Propionyl-Histone H3 (Lys27) Rabbit mAb detects histone H3 only when it is propionylated at Lys27
Product Usage Information
Applications Dilution Recommended Species
WB 1:1000-1:5000 Human, Mouse, Rat
IHC-P 1:100-1:500 Human, Mouse, Rat
IP 1:100-1:500 Human
ChIP 6μg/5x106 cells Human
Properties
Purity Protein A purified
Constituents PBS, Glycerol, BSA
Storage Store at -20°C. Avoid freeze/thaw cycles.
Stability Stable for 12 months from date of receipt/reconstitution.
Target Information

Background

Histones are subject to a variety of enzyme catalyzed modifications, including acetylation, methylation, phosphorylation, ubiquitylation, etc. Lysine propionylation (Kprop) is structurally similar to lysine acetylation, is a newly identified reversible modification controlling protein activity. Lysine propionylation is abundant in both prokaryotes and eukaryotes and has been found in wide ranges of proteins including histones and non-histone substrates, such as p53. Similar to acetylation of histone H4 at Lys5, propionylation of histone H4 at Lys5 may play a vital role in the epigenetic modulation, including chromatin remodeling and transcriptional regulation.

Cellular location

Nucleus

Images
Dot Blot

Blocking Buffer & Concentration: 5 % NFDM/TBST
Primary Antibody Dilution: 1:5000
Primary Antibody Incubation Condition: Room Temperature 2 hr
Peptide amount: 1 ng, 4 ng, 20 ng, 100ng; The list of peptides is included in the table left.
Exposure Time: 30 s

WB

Blocking Buffer & Concentration: 5 % NFDM/TBST
Primary Antibody Dilution: 1:2000
Primary Antibody Incubation Condition: Room Temperature 2 hr
Secondary Antibody: Goat Anti-Rabbit IgG H&L (HRP)
Lysis Buffer: (-): HeLa, (+): HeLa+SBA (30 mM, 4 hr)
Protein Loading Amount: 20 μg
Exposure Time: 30 s
Theoretical Molecular Weight: 15 kDa
Observed Molecular Weight: 15 kDa

Blocking Buffer & Concentration: 5 % NFDM/TBST
Primary Antibody Dilution: 1:2000
Primary Antibody Incubation Condition: Room Temperature2 hr
Secondary Antibody: Goat Anti-Rabbit IgG H&L (HRP)
Lysis Buffer: (-): NIH-3T3, (+): NIH+SBA (30 mM, 4 hr)
Protein Loading Amount: 20 μg
Exposure Time: 30 s
Theoretical Molecular Weight: 15 kDa
Observed Molecular Weight: 15 kDa

Blocking Buffer & Concentration: 5 % NFDM/TBST
Primary Antibody Dilution: 1:2000
Primary Antibody Incubation Condition: Room Temperature2 hr
Secondary Antibody: Goat Anti-Rabbit IgG H&L (HRP)
Lysis Buffer: (-): C6, (+): C6+SBA (5 mM, 24 hr)
Protein Loading Amount: 20 μg
Exposure Time: 30 s
Theoretical Molecular Weight: 15 kDa
Observed Molecular Weight: 15 kDa

IHC-P

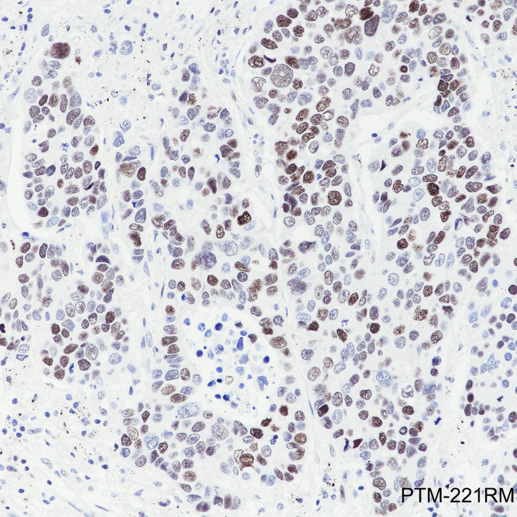
Tissue: Human breast carcinoma
Section type: Formalin-fixed & paraffin-embedded section
Retrieval method: High temperature and high pressure
Retrieval buffer: Tris/EDTA buffer, pH 9.0
Primary Ab dilution: 1:500
Primary Ab incubation condition: 1 hour at room temperature
Secondary Ab: Anti-Rabbit and Mouse Polymer HRP (Ready to use)
Counter stain: Hematoxylin (blue)
Comment: Color brown is the positive signal for PTM-221RM

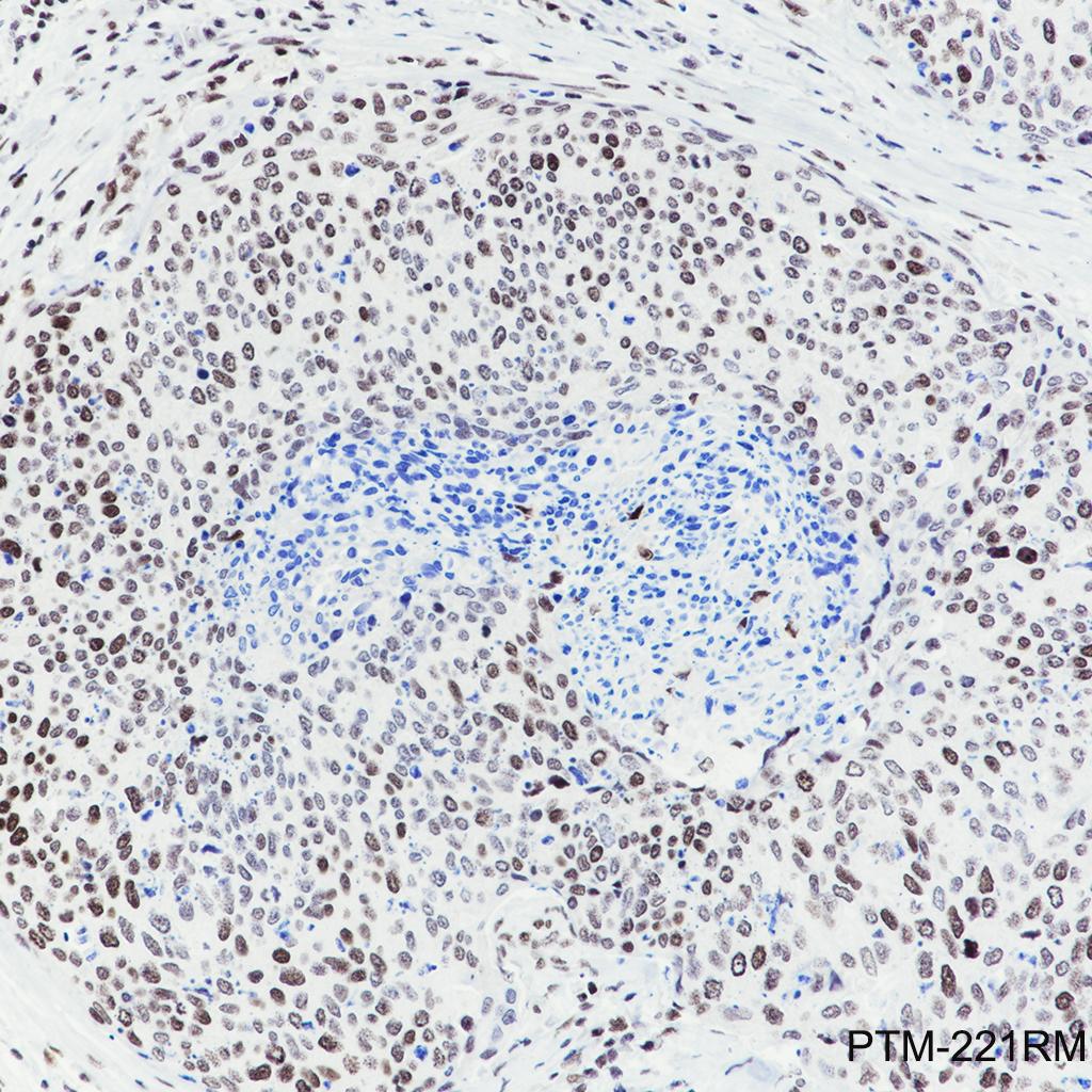
Tissue: Human cervical carcinoma
Section type: Formalin-fixed & paraffin-embedded section
Retrieval method: High temperature and high pressure
Retrieval buffer: Tris/EDTA buffer, pH 9.0
Primary Ab dilution: 1:500
Primary Ab incubation condition: 1 hour at room temperature
Secondary Ab: Anti-Rabbit and Mouse Polymer HRP (Ready to use)
Counter stain: Hematoxylin (blue)
Comment: Color brown is the positive signal for PTM-221RM

Tissue: Human cervical carcinoma
Section type: Formalin-fixed & paraffin-embedded section
Retrieval method: High temperature and high pressure
Retrieval buffer: Tris/EDTA buffer, pH 9.0
Primary Ab dilution: 1:500
Primary Ab incubation condition: 1 hour at room temperature
Secondary Ab: Anti-Rabbit and Mouse Polymer HRP (Ready to use)
Counter stain: Hematoxylin (blue)
Comment: Color brown is the positive signal for PTM-221RM

Tissue: Mouse cerebrum
Section type: Formalin-fixed & paraffin-embedded section
Retrieval method: High temperature and high pressure
Retrieval buffer: Tris/EDTA buffer, pH 9.0
Primary Ab dilution: 1:500
Primary Ab incubation condition: 1 hour at room temperature
Secondary Ab: Anti-Rabbit and Mouse Polymer HRP (Ready to use)
Counter stain: Hematoxylin (blue)
Comment: Color brown is the positive signal for PTM-221RM

Tissue: Rat colon
Section type: Formalin-fixed & paraffin-embedded section
Retrieval method: High temperature and high pressure
Retrieval buffer: Tris/EDTA buffer, pH 9.0
Primary Ab dilution: 1:500
Primary Ab incubation condition: 1 hour at room temperature
Secondary Ab: Anti-Rabbit and Mouse Polymer HRP (Ready to use)
Counter stain: Hematoxylin (blue)
Comment: Color brown is the positive signal for PTM-221RM

IP

IP of HeLa+SBA(30mM, 4hr) ,cells extracts
IP ab incubation condition: PTM-221RM, 4°C overnight, 1:100 dilution
WB primary ab incubation condition: PTM-221RM, room temperature 2h,
1:1000 dilution
Secondary ab: Anti- Rabbit IgG for IP (HRP)
Blocking buffer and concentration: 5% NFDM/TBST
Diluting buffer and concentration: 5% NFDM/TBST
1: 10% Input
2: IP with PTM-221RM
3: IP with Rabbit monoclonal IgG Isotype
Observed MW: 15 kDa
Exposure time: 3 s

ChIP

Cell type: HeLa+SBA(5μM,16h)+TSA(4μM, 16h)
Cross-linking conditions: No cross-linking
Amount of chromatin per IP: 5×106 cells
Amount of Ab per IP: 6 μg
Beads type and amount per IP: 50 μl of Protein A MagBeads
Comment: The ChIP was performed with 6 μg of normal Rabbit IgG as a negative control. Real time quantitative PCR was performed on immunoprecipitated DNA using primers specific for the human GAPDH-CDS, RPL30, TuBBP10, LDHA promoter, LDHA-CDS, Foxo3a-promoter, Foxo3a-D and RAB20. Data are presented as enrichment of each sample relative to total amount of input chromatin at each amplicon.

Research Use

For research use only, not for use in diagnostic procedures.