/ EN
Technical Support
| Contact Us
+1 312-802-6843
Technical Support
Contact Us
+1 312-802-6843
/ EN
Recover password
Professional Email
Verification Code
Send Code
Password
Recombinant
Anti-Phospho-Histone H2B (Tyr37) Mouse mAb
Catalog Number: PTM-754
$ 325

Clone Number: 11001

Host: Mouse Clonality: Monoclonal

Applications: WB IHC-P

Reactivity: Human, Mouse, Rat

Synonyms: H2BT37ph, H2BpT37

Product Size
100 μl
Quantity

Shipping: Ambient temperature

Order online or send purchase order to info@ptmbio.com

FAQ Technical Support Protocols

General Information
Isotype IgG1
Conjugate Unconjugated
Synonyms H2BT37ph, H2BpT37
UniProt ID

Q8N257

Immunogen Phosphorylated human histone H2B (Tyr37) peptide
MW (kDa) 14
Specificity
Product Usage Information
Applications Dilution Recommended Species
WB 1:500 - 1:1000 Human, Mouse, Rat
IHC-P 1:50 - 1:100 Human, Mouse, Rat
Properties
Purity Protein G purified
Constituents PBS, Glycerol, BSA
Storage Store at -20°C. Avoid freeze/thaw cycles.
Stability Stable for 12 months from date of receipt/reconstitution.
Target Information

Background

Histone post-translational modifications (PTMs) are key mechanisms of epigenetics that modulate chromatin structures, termed as “histone code”. The PTMs on histone including acetylation, methylation, phosphorylation and novel acylation directly affect the accessibility of chromatin to transcription factors and other epigenetic regulators, altering genome stability, gene transcription, etc. Histone phosphorylation occurs on serine, threonine and tyrosine residues on the amino-terminal of core histones. This histone mark plays roles in DNA repair, transcription and chromatin remodeling. The best-known histone phosphorylation site is histone variant H2A.x Ser139ph, which were reported to be involved in the response to DNA damage. Histone phosphorylation is mainly involved in processes during both mitosis and meiosis. Many kinases and phosphatases regulate histone phosphorylation levels.

Cellular location

Nucleus

Images
WB

Blocking buffer: 5% NFDM/TBST
Primary Ab dilution: 1:2000
Primary Ab incubation: 2 hours at room temperature
Secondary Ab: Goat Anti-Mouse IgG H&L pAb(HRP Conjugate)
Lysate: 1: HepG2, 2: Neuro-2a
Protein loading quantity: 20 μg
Exposure time: 30 s
Predicted band size: 14 kDa
Observed band size: 14 kDa

IHC-P

Tissue: Human liver
Section type: Formalin fixed & Paraffin - embedded section
Retrieval method: High temperature and high pressure
Retrieval buffer: Tris/EDTA buffer, pH 9.0
Primary Ab dilution: 1:100
Primary Ab incubation: 1 hour at room temperature
Secondary Ab: Anti-Rabbit and Mouse Polymer HRP (Ready to Use)
Counter stain: Hematoxylin (Blue)
Description: The brown color represents the positive signal observed with PTM-754

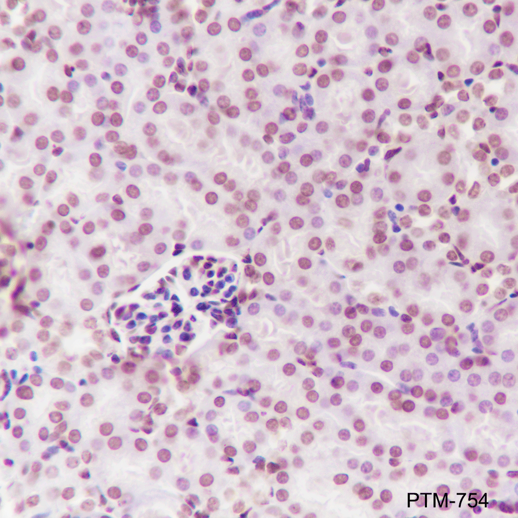
Tissue: Mouse kidney
Section type: Formalin fixed & Paraffin - embedded section
Retrieval method: High temperature and high pressure
Retrieval buffer: Tris/EDTA buffer, pH 9.0
Primary Ab dilution: 1:100
Primary Ab incubation: 1 hour at room temperature
Secondary Ab: Anti-Rabbit and Mouse Polymer HRP (Ready to Use)
Counter stain: Hematoxylin (Blue)
Description: The brown color represents the positive signal observed with PTM-754

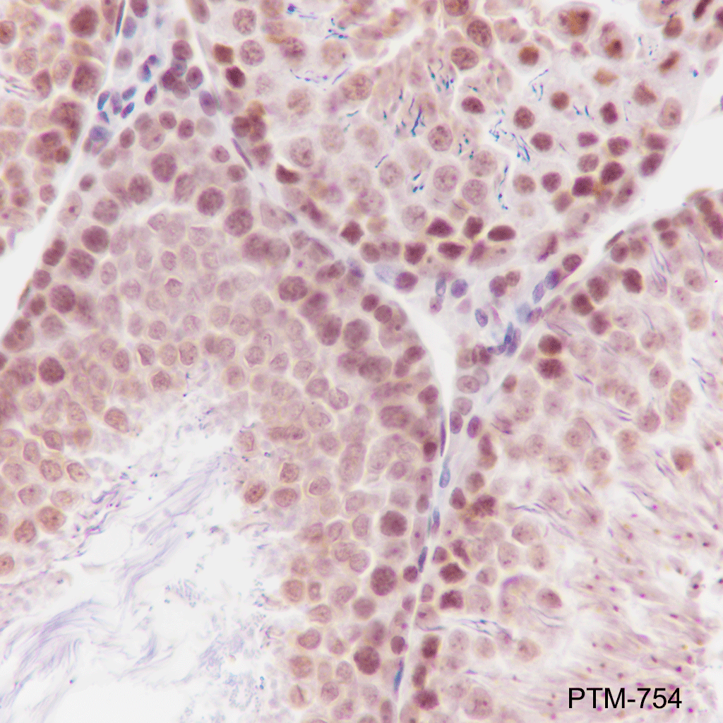
Tissue: Rat testis
Section type: Formalin fixed & Paraffin - embedded section
Retrieval method: High temperature and high pressure
Retrieval buffer: Tris/EDTA buffer, pH 9.0
Primary Ab dilution: 1:100
Primary Ab incubation: 1 hour at room temperature
Secondary Ab: Anti-Rabbit and Mouse Polymer HRP (Ready to Use)
Counter stain: Hematoxylin (Blue)
Description: The brown color represents the positive signal observed with PTM-754

Research Use

For research use only, not for use in diagnostic procedures.