/ EN
Technical Support
| Contact Us
+1 312-802-6843
Technical Support
Contact Us
+1 312-802-6843
/ EN
Recover password
Professional Email
Verification Code
Send Code
Password
Recombinant
Anti-Phospho-Histone H2A.X (Ser139) Mouse mAb
Catalog Number: PTM-753
References (2)
$ 320

Clone Number: 12354

Host: Mouse Clonality: Recombinant Monoclonal

Applications: WB IHC-P ICC/IF

Reactivity: Human, Mouse, Rat

Synonyms: H2A.XS139ph, H2A.XpS139

Product Size
100 μl
Quantity

Shipping: Ambient temperature

Order online or send purchase order to info@ptmbio.com

FAQ Technical Support Protocols

General Information
Isotype IgG
Conjugate Unconjugated
Synonyms H2A.XS139ph, H2A.XpS139
UniProt ID

P16104

Immunogen Phosphorylated human histone H2A.X (Ser139) peptide
MW (kDa) 15
Specificity
Product Usage Information
Applications Dilution Recommended Species
WB 1:500 - 1:2000 Human, Mouse, Rat
IHC-P 1:100 - 1:500 Human, Mouse
ICC/IF 1:50 - 1:100 Human
Properties
Purity Protein G purified
Constituents PBS, Glycerol, BSA
Storage Store at -20°C. Avoid freeze/thaw cycles.
Stability Stable for 12 months from date of receipt/reconstitution.
Target Information

Background

Histones are subjected to a variety of enzyme catalyzed modifications, including acetylation, methylation, ubiquitylation and newly discovered succinylation, crotonylation and 2-hydroxyisobutyrylation, etc. These modifications have a direct effect on the accessibility of chromatin to transcription factors and, therefore, on gene expression. Histone H2A.x is a ubiquitously expressed variant of histone H2A and phosphorylation of histone H2A.x at Ser139 (termed γ-H2AX) is located in a unique C-terminal region and regulated by various kinases, including the ataxia telangiectasia-mutated (ATM) protein, the AT and Rad3-related protein, and DNA-dependent protein kinase, all of which were reported to be involved in the responses of mammalian cells to DNA double-strand breaks.

Cellular location

Nucleus

Images
WB

Blocking buffer: 5% NFDM/TBST
Primary Ab dilution: 1:2000
Primary Ab incubation: 2 hours at room temperature
Secondary Ab: Goat Anti-Mouse IgG H&L pAb(HRP Conjugate)
Lysate: HeLa untreated (Left) or treated with Okadaic acid (100nM, 1hr) + Calyculin A(100nM, 1hr) (Right)
Protein loading quantity: 20 μg
Exposure time: 30 s
Predicted band size: 15 kDa
Observed band size: 15 kDa

Blocking buffer: 5% NFDM/TBST
Primary Ab dilution: 1:2000
Primary Ab incubation: 2 hours at room temperature
Secondary Ab: Goat Anti-Mouse IgG H&L pAb (HRP Conjugate)
Lysate: HeLa, N2a, BRL
Protein loading quantity: 20 μg
Exposure time: 30 s
Predicted band size: 15 kDa
Observed band size: 15 kDa

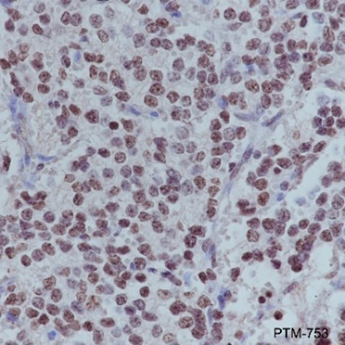
IHC-P

Tissue: Human neuroblastoma
Section type: Formalin fixed & Paraffin - embedded section
Retrieval method: High temperature and high pressure
Retrieval buffer: Tris/EDTA buffer, pH 9.0
Primary Ab dilution: 1:500
Primary Ab incubation: 1 hour at room temperature
Secondary Ab: Anti-Rabbit and Mouse Polymer HRP (Ready to Use)
Counter stain: Hematoxylin (Blue)
Description: The brown color represents the positive signal observed with PTM-753

ICC/IF

Cell line: HeLa
Fixative: 4% Paraformaldehyde
Permeabilization: 0.1% TritonX-100
Primary Ab dilution: 1:100
Primary incubation condition: 1 hours at room temperature
Secondary Ab: Goat Anti-Mouse IgG
Nuclear counter stain: DAPI (Blue)
Counter stain: Tubulin (Red)
Description: The green color represents the positive signal observed with PTM-753

Research Use

For research use only, not for use in diagnostic procedures.

Recommended Products
  • View More Images(4)
    $ 350
    Anti-Phospho-Histone H2A.X (Ser139) Mouse mAb
    Catalog #
    PTM-736
    Host
    Mouse
    Clonality
    Monoclonal
    Conjugate
    Unconjugated
    Reactivity
    Human, Mouse, Rat
    Applications:
    WB IHC-P ICC/IF FC IAP IP ChIP mIHC-P CUT&Tag
  • View More Images(5)
    $ 330
    Recombinant Rabbit Monoclonal
    Anti-Phospho-Histone H2A.X (Ser139) Rabbit mAb
    Catalog #
    PTM-727
    Host
    Rabbit
    Clonality
    Recombinant Monoclonal
    Conjugate
    Unconjugated
    Reactivity
    Human, Mouse
    Applications:
    WB IHC-P ICC/IF FC IAP IP ChIP mIHC-P CUT&Tag
  • View More Images(4)
    $ 360
    Anti-Phospho-Histone H2A.X (Ser139) Rabbit pAb
    Catalog #
    PTM-716
    Host
    Rabbit
    Clonality
    Polyclonal
    Conjugate
    Unconjugated
    Reactivity
    Human, Mouse, Rat
    Applications:
    WB IHC-P ICC/IF FC IAP IP ChIP mIHC-P CUT&Tag
  • View More Images(3)
    $ 290
    Recombinant Rabbit Monoclonal
    Anti-ATM Rabbit mAb
    Catalog #
    PTM-6394
    Host
    Rabbit
    Clonality
    Recombinant Monoclonal
    Conjugate
    Unconjugated
    Reactivity
    Human, Mouse, Rat
    Applications:
    WB IHC-P ICC/IF FC IAP IP ChIP mIHC-P CUT&Tag
  • View More Images(4)
    $ 290
    Recombinant Rabbit Monoclonal
    Anti-ATM Rabbit mAb
    Catalog #
    PTM-5260
    Host
    Rabbit
    Clonality
    Recombinant Monoclonal
    Conjugate
    Unconjugated
    Reactivity
    Human, Mouse
    Applications:
    WB IHC-P ICC/IF FC IAP IP ChIP mIHC-P CUT&Tag
  • View More Images(1)
    $ 280
    Recombinant
    Anti-ATR Mouse mAb
    Catalog #
    PTM-5170
    Host
    Mouse
    Clonality
    Recombinant Monoclonal
    Conjugate
    Unconjugated
    Reactivity
    Human
    Applications:
    WB IHC-P ICC/IF FC IAP IP ChIP mIHC-P CUT&Tag
  • View More Images(2)
    $ 260
    Anti-Histone H2A.X Mouse mAb
    Catalog #
    PTM-1005
    Host
    Mouse
    Clonality
    Monoclonal
    Conjugate
    Unconjugated
    Reactivity
    Human, Mouse, Rat
    Applications:
    WB IHC-P ICC/IF FC IAP IP ChIP mIHC-P CUT&Tag
  • View More Images(2)
    $ 435
    Anti-β-Hydroxybutyryl-Histone H2A.X (Lys134) Rabbit pAb
    Catalog #
    PTM-1225
    Host
    Rabbit
    Clonality
    Polyclonal
    Conjugate
    Unconjugated
    Reactivity
    Human, Mouse, Rat
    Applications:
    WB IHC-P ICC/IF FC IAP IP ChIP mIHC-P CUT&Tag
References (2)
  • GLP-1RA partially alleviates obesity-induced reproductive dysfunction driven by the interplay mechanisms of inflammation and metabolic dysregulation via the SIRT-associated pathway
    Year 2025
    Journal EUROPEAN JOURNAL OF PHARMACOLOGY
    Authors Tashinga Walter Matiki, et al.
    Applications Unspecified
    Reactivity
  • Endogenous sulfur dioxide deficiency as a driver of cardiomyocyte senescence through abolishing sulphenylation of STAT3 at cysteine 259
    Year 2024
    Journal Redox Biology
    Authors Shangyue Zhang, et al.
    Applications Unspecified
    Reactivity