/ EN
Technical Support
| Contact Us
+1 312-802-6843
Technical Support
Contact Us
+1 312-802-6843
/ EN
Recover password
Professional Email
Verification Code
Send Code
Password
Anti-PELP1 Rabbit mAb
Catalog Number: PTM-5735
$ 300

Clone Number: JRMR-10293-39

Host: Rabbit Clonality: Recombinant Monoclonal

Applications: WB IHC-P

Reactivity: Human

Synonyms: Proline- glutamic acid- and leucine-rich protein 1, Modulator of non-genomic activity of estrogen receptor, Transcription factor HMX3, HMX3, MNAR

Product Size
100 μl
Quantity

Shipping: Ambient temperature

Order online or send purchase order to info@ptmbio.com

FAQ Technical Support Protocols

General Information
Isotype IgG
Conjugate Unconjugated
Synonyms Proline- glutamic acid- and leucine-rich protein 1, Modulator of non-genomic activity of estrogen receptor, Transcription factor HMX3, HMX3, MNAR
UniProt ID

Q8IZL8

Immunogen Synthetic peptide derived from human proline-, glutamic acid- and leucine-rich protein 1
MW (kDa) 120
Specificity
Product Usage Information
Applications Dilution Recommended Species
WB 1:500 - 1:1000 Human
IHC-P 1:50 - 1:100 Human
Properties
Purity Protein A purified
Constituents PBS, Glycerol, BSA
Storage Store at -20°C. Avoid freeze/thaw cycles.
Stability Stable for 12 months from date of receipt/reconstitution.
Target Information

Background

Coactivator of estrogen receptor-mediated transcription and a corepressor of other nuclear hormone receptors and sequence-specific transcription factors. Plays a role in estrogen receptor (ER) genomic activity when present in the nuclear compartment by activating the ER target genes in a hormonal stimulation dependent manner. Can facilitate ER non-genomic signaling via SRC and PI3K interaction in the cytosol. Plays a role in E2-mediated cell cycle progression by interacting with RB1.

Cellular location

Cytoplasm, Nucleus

Images
WB

Blocking buffer: 5% NFDM/TBST
Primary Ab dilution: 1:1000
Primary Ab incubation: 2 hours at room temperature
Secondary Ab: Goat Anti-Rabbit IgG H&L pAb (HRP Conjugate)
Lysate: 1: HeLa, 2: MCF-7, 3: HEK-293, 4: T47D
Protein loading quantity: 20 μg
Exposure time: 60 s
Predicted band size: 120 kDa
Observed band size: 160 kDa

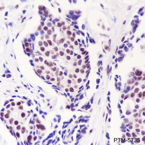
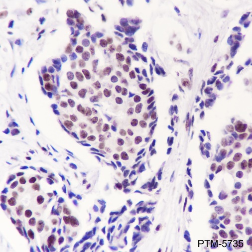
IHC-P

Tissue: Human breast cancer
Section type: Formalin fixed & Paraffin -embedded section
Retrieval method: High temperature and high pressure
Retrieval buffer: Tris/EDTA buffer, pH 9.0
Primary Ab dilution: 1:100
Primary Ab incubation: 1 hour at room temperature
Secondary Ab: Anti-Rabbit and Mouse
Polymer HRP (Ready to Use)
Counter stain: Hematoxylin (Blue)
Description: The brown color represents the positive signal observed with PTM-5735

Research Use

For research use only, not for use in diagnostic procedures.

Recommended Products
  • View More Images(3)
    $ 285
    Recombinant
    Anti-PELP1 Mouse mAb
    Catalog #
    PTM-5863
    Host
    Mouse
    Clonality
    Recombinant Monoclonal
    Conjugate
    Unconjugated
    Reactivity
    Human
    Applications:
    WB IHC-P ICC/IF FC IAP IP ChIP mIHC-P CUT&Tag