/ EN
Technical Support
| Contact Us
+1 312-802-6843
Technical Support
Contact Us
+1 312-802-6843
/ EN
Recover password
Professional Email
Verification Code
Send Code
Password
Recombinant
Anti-MTA2 Mouse mAb
Catalog Number: PTM-6038
$ 280

Clone Number: 10858

Host: Mouse Clonality: Recombinant Monoclonal

Applications: WB IHC-P

Reactivity: Human, Mouse, Rat

Synonyms: Metastasis-associated protein MTA2, Metastasis-associated 1-like 1 (MTA1-L1 protein), p53 target protein in deacetylase complex, MTA1L1, PID

Product Size
100 μl
Quantity

Shipping: Ambient temperature

Order online or send purchase order to info@ptmbio.com

FAQ Technical Support Protocols

General Information
Isotype IgG2b
Conjugate Unconjugated
Synonyms Metastasis-associated protein MTA2, Metastasis-associated 1-like 1 (MTA1-L1 protein), p53 target protein in deacetylase complex, MTA1L1, PID
UniProt ID

O94776

Immunogen Synthetic peptide derived from human metastasis-associated protein MTA2
MW (kDa) 75
Specificity
Product Usage Information
Applications Dilution Recommended Species
WB 1:1000 - 1:5000 Human, Mouse, Rat
IHC-P 1:50 - 1:100 Human, Mouse
Properties
Purity Protein G purified
Constituents PBS, Glycerol, BSA
Storage Store at -20°C. Avoid freeze/thaw cycles.
Stability Stable for 12 months from date of receipt/reconstitution.
Target Information

Background

Metastasis-associated protein MTA2 is a protein that in humans is encoded by the MTA2 gene. MTA2 is the second member of the MTA family of genes. MTA2 protein localizes in the nucleus and is a component of the nucleosome remodeling and the deacetylation complex (NuRD). Similar to the founding family member MTA1, MTA2 functions as a chromatin remodeling factor and regulates gene expression. MTA2 is overexpressed in human cancer and its dysregulated level correlates well with cancer invasiveness and aggressive phenotypes.

Cellular location

Nucleus

Images
WB

Blocking buffer: 5% NFDM/TBST
Primary Ab dilution: 1:5000
Primary Ab incubation: 2 hours at room temperature
Secondary Ab: Goat Anti-Mouse IgG H&L pAb (HRP Conjugate)
Lysate: 1: HeLa, 2: SW480, 3: 4T1, 4: PC-12
Protein loading quantity: 20 μg
Exposure time: 30 s
Predicted band size: 75 kDa
Observed band size: 75 kDa

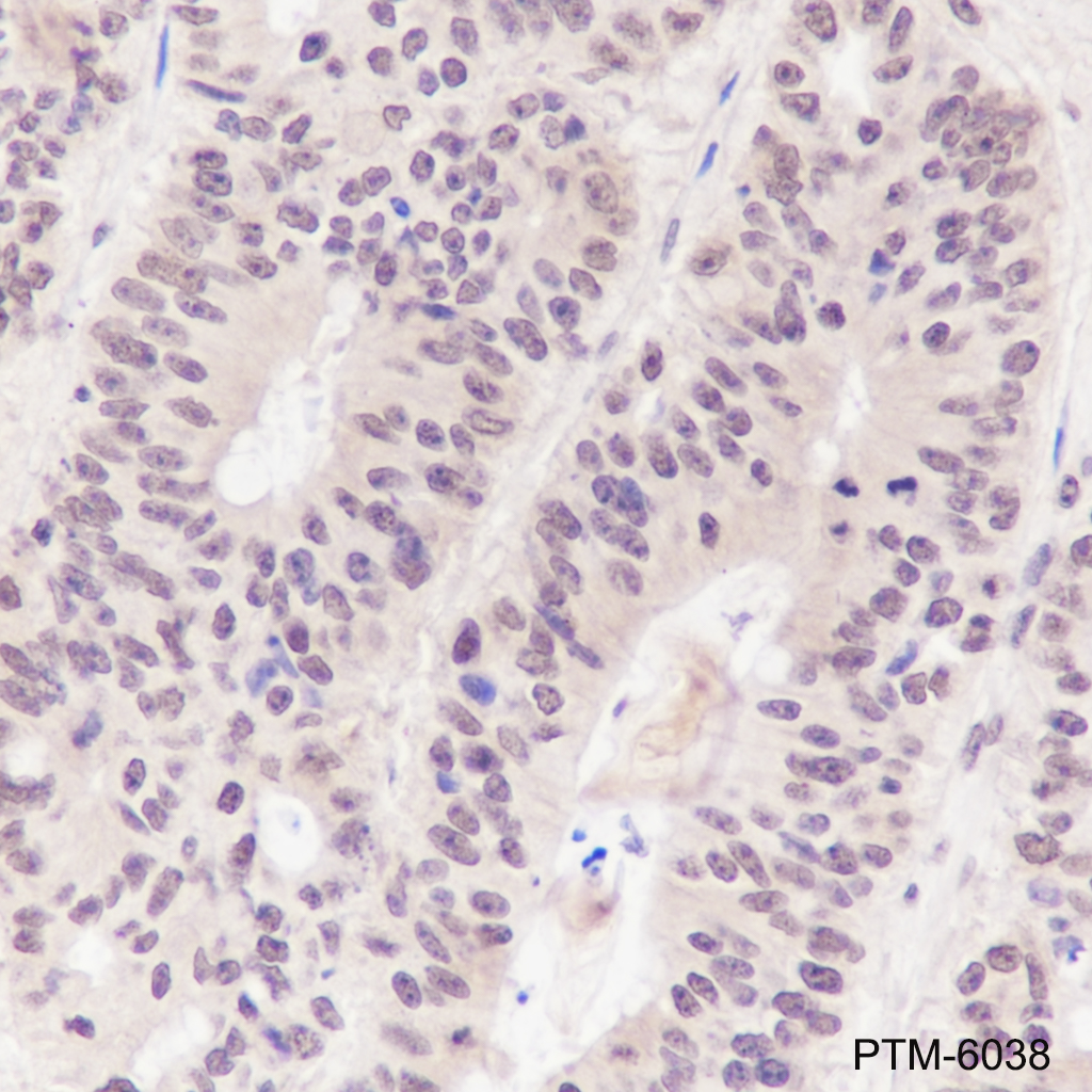
IHC-P

Tissue: Human colon cancer
Section type: Formalin fixed & Paraffin -embedded section
Retrieval method: High temperature and high pressure
Retrieval buffer: Tris/EDTA buffer, pH 9.0
Primary Ab dilution: 1:100
Primary Ab incubation: 1 hour at room temperature
Secondary Ab: Anti-Rabbit and Mouse Polymer HRP (Ready to Use)
Counter stain: Hematoxylin (Blue)
Description: The brown color represents the positive signal observed with PTM-6038

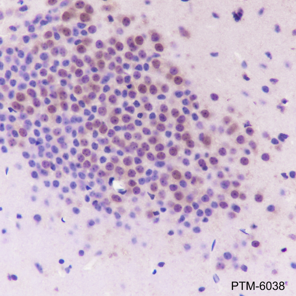
Tissue: Mouse brain
Section type: Formalin fixed & Paraffin -embedded section
Retrieval method: High temperature and high pressure
Retrieval buffer: Tris/EDTA buffer, pH 9.0
Primary Ab dilution: 1:100
Primary Ab incubation: 1 hour at room temperature
Secondary Ab: Anti-Rabbit and Mouse Polymer HRP (Ready to Use)
Counter stain: Hematoxylin (Blue)
Description: The brown color represents the positive signal observed with PTM-6038

Research Use

For research use only, not for use in diagnostic procedures.