Background
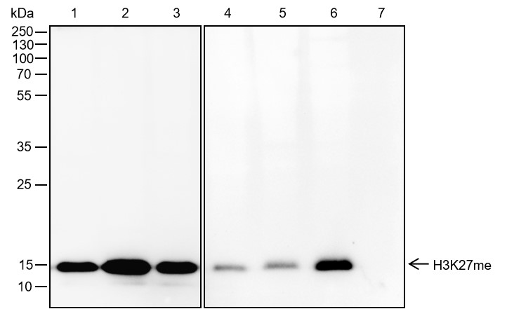
Histone post-translational modifications (PTMs) are key mechanisms of epigenetics that modulate chromatin structures, termed as “histone code”. The PTMs on histone including acetylation, methylation,phosphorylation and novel acylations directly affect the accessibility of chromatin to transcription factors and other epigenetic regulators, altering genome stability, gene transcription, etc. Histone methylation occurs primarily at lysine and arginine residues on the amino terminal of core histones. Methylation of histones can either increase or decrease transcription of genes, depending on which amino acids (Lys or Arg) in the histones are methylated and how many methyl groups are attached (mono-, di-, trimethylation on Lys, mono-di-symmetric/asymmetric methylation on Arg). Mostly, lysine methylation occurs primarily on histone H3 Lys4, 9, 27, 36, 79 and H4 Lys20,while Arginine methylation occurs primarily on histone H3 Arg2, 8, 17, 26 and H4 Arg3. histone methyltransferases (HMTs) and histone demethylases (HDMs) are major regulating factors.
Cellular location
Nucleus
