/ EN
Technical Support
| Contact Us
+1 312-802-6843
Technical Support
Contact Us
+1 312-802-6843
/ EN
Recover password
Professional Email
Verification Code
Send Code
Password
Recombinant Rabbit Monoclonal
Anti-MBD2 Rabbit mAb
Catalog Number: PTM-6892
$ 290

Clone Number: JMMR-2624

Host: Rabbit Clonality: Recombinant Monoclonal

Applications: WB IHC-P ICC/IF

Reactivity: Human, Mouse, Rat

Synonyms: Methyl-CpG-binding domain protein 2, Demethylase (DMTase), Methyl-CpG-binding protein MBD2

Product Size
100 μl
Quantity

Shipping: Ambient temperature

Order online or send purchase order to info@ptmbio.com

FAQ Technical Support Protocols

General Information
Isotype IgG
Conjugate Unconjugated
Synonyms Methyl-CpG-binding domain protein 2, Demethylase (DMTase), Methyl-CpG-binding protein MBD2
UniProt ID

Q9UBB5

Immunogen Synthetic peptide derived from human methyl-CpG-binding domain protein 2
MW (kDa) 43
Specificity
Product Usage Information
Applications Dilution Recommended Species
WB 1:1000 Human, Rat
IHC-P 1:200 - 1:1000 Human, Mouse, Rat
ICC/IF 1:50 Human
Properties
Purity Protein A purified
Constituents PBS, Glycerol, BSA
Storage Store at -20°C. Avoid freeze/thaw cycles.
Stability Stable for 12 months from date of receipt/reconstitution.
Target Information

Background

MBD2, also named as DMTase, binds CpG islands in promoters where the DNA is methylated at position 5 of cytosine within CpG dinucleotides. MBD2 binds hemi-methylated DNA as well. It recruits histone deacetylases and DNA methyltransferases. MBD2 acts as transcriptional repressor and plays a role in gene silencing.

Cellular location

Nucleus

Images
WB

Blocking buffer: 5% NFDM/TBST
Primary Ab dilution: 1:1000
Primary Ab incubation: 2 hours at room temperature
Secondary Ab: Goat Anti-Rabbit IgGH&L (HRP Conjugate)
Lysate: 1: HeLa, 2: MCF-7, 3: PC-12
Protein loading quantity: 20 μg
Exposure time: 60 seconds
Predicted band size: 43 kDa
Observed band size: 43, 29 kD

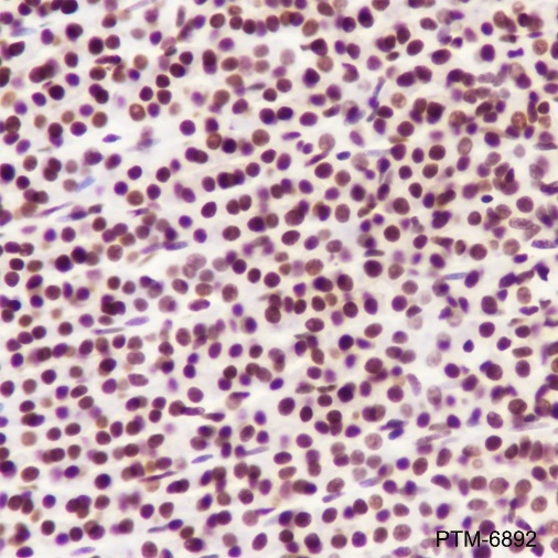
IHC-P

Tissue: Human gastric carcinoma
Section type: Formalin-fixed & Paraffin-embedded section
Retrieval method: High temperature and high pressure
Retrieval buffer: Tris/EDTA buffer, pH9.0
Primary Ab dilution: 1:1000
Primary Ab incubation: 1 hour at room temperature
Secondary Ab: Anti-Rabbit and Mouse Polymer HRP (Ready to Use)
Counter stain: Hematoxylin (Blue)
Description: The brown color represents the positive signal observed with PTM-6892

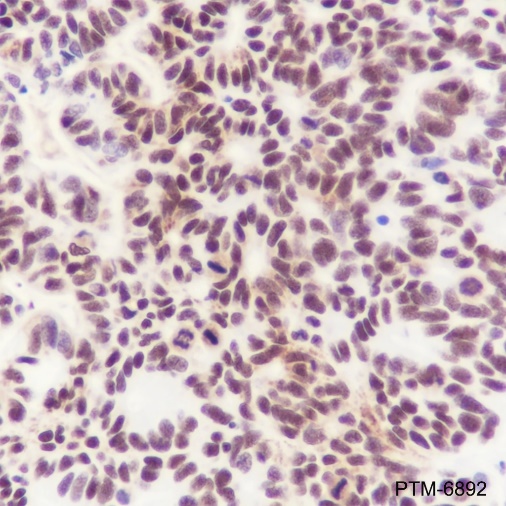
Tissue: Human stomach
Section type: Formalin-fixed & Paraffin-embedded section
Retrieval method: High temperature and high pressure
Retrieval buffer: Tris/EDTA buffer, pH9.0
Primary Ab dilution: 1:200
Primary Ab incubation: 1 hour at room temperature
Secondary Ab: Anti-Rabbit and Mouse Polymer HRP (Ready to Use)
Counter stain: Hematoxylin (Blue)
Description: The brown color represents the positive signal observed with PTM-6892

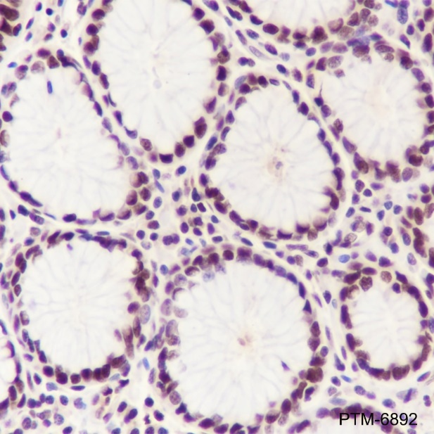
Tissue: Mouse colon
Section type: Formalin-fixed & Paraffin-embedded section
Retrieval method: High temperature and high pressure
Retrieval buffer: Tris/EDTA buffer, pH9.0
Primary Ab dilution: 1:1000
Primary Ab incubation: 1 hour at room temperature
Secondary Ab: Anti-Rabbit and Mouse Polymer HRP (Ready to Use)
Counter stain: Hematoxylin (Blue)
Description: The brown color represents the positive signal observed with PTM-6892

Tissue: Rat stomach
Section type: Formalin-fixed & Paraffin-embedded section
Retrieval method: High temperature and high pressure
Retrieval buffer: Tris/EDTA buffer, pH 9.0
Primary Ab dilution: 1:200
Primary Ab incubation: 1 hour at room temperature
Secondary Ab: Anti-Rabbit and Mouse Polymer HRP (Ready to Use)
Counter stain: Hematoxylin (Blue)
Description: The brown color represents the positive signal observed with PTM-6892

ICC/IF

Cell line: HeLa
Fixative: 4% Paraformaldehyde
Permeabilization: 0.1% TritonX-100
Primary Ab dilution: 1:50
Primary Ab incubation: 4°C overnight
Secondary Ab: Goat Anti-Rabbit IgG
Nuclear counter stain: DAPI (Blue)
Counter stain: Tubulin (Red)
Description: The green color represents the positive signal observed with PTM-6892

Research Use

For research use only, not for use in diagnostic procedures.

Recommended Products
  • View More Images(1)
    $ 280
    Recombinant
    Anti-MBD2 Mouse mAb
    Catalog #
    PTM-7411
    Host
    Mouse
    Clonality
    Recombinant Monoclonal
    Conjugate
    Unconjugated
    Reactivity
    Human
    Applications:
    WB IHC-P ICC/IF FC IAP IP ChIP mIHC-P CUT&Tag