/ EN
Technical Support
| Contact Us
+1 312-802-6843
Technical Support
Contact Us
+1 312-802-6843
/ EN
Recover password
Professional Email
Verification Code
Send Code
Password
Recombinant Rabbit Monoclonal
Anti-L-Lactyllysine Rabbit pAb (BSA and Azide Free)
Catalog Number: PTM-1425
References (8)
$ 650

Clone Number: /

Host: Rabbit Clonality: Monoclonal

Applications: WB IHC-P

Reactivity: All

Synonyms: Kla, L-la

Product Size
100μg
Quantity

Shipping: Ambient temperature

Order online or send purchase order to info@ptmbio.com

FAQ Technical Support Protocols

General Information
Isotype IgG
Conjugate Unconjugated
Synonyms Kla, L-la
UniProt ID

/

Immunogen L-lactylated lysine peptides
MW (kDa) Multiple
Specificity Anti-L-Lactyllysine Rabbit pAb (BSA and Azide Free) detects proteins post-translationally modified by L-lactylation on lysine residues. This pan antibody recognizes L-lactylated lysine independent of its surrounding sequences.
Product Usage Information
Applications Dilution Recommended Species
WB 1:500 - 1:1000 All
IHC-P 1:1000 - 1:6000 Human, Rat
Properties
Purity Protein A and immunogen affinity purified
Constituents PBS
Storage Centrifuge the vial at 12,000 x g for 20 seconds before reconstitution. Add 100 μL of sterile deionized water to achieve a final antibody concentration of 1 mg/ml. After reconstitution, the antibody will be in 1X PBS. Aliquot and store at -80°C, and avoid freeze/thaw cycles.
Stability Stable for 12 months from date of receipt/reconstitution.
Target Information

Background

Lactate, previously recognized solely as an energy source and metabolic byproduct, has now emerged as a crucial player in cancer biology, especially within the scope of the Warburg effect and its intricate interplay with various cellular processes, including angiogenesis, hypoxia, polarization of macrophages, and T cell activation. Recent investigations have unveiled an unprecedented function of lactate in the realm of histone modification, specifically through lysine L-lactylation, which exerts regulatory control over gene expression. The extent and dynamics of this modification are highly reliant on lactate levels within the cellular microenvironment and can be modulated through the introduction of extracellular lactate in cultured cells or the stimulation of intracellular glycolysis. The acetyltransferase p300 is responsible for introducing lysine L-lactylation, while Class I histone deacetylases (HDAC 1-3) have been identified as an eraser of the lactylation marks on histones. This BSA-, glycerol-, and azide-free antibody is particularly suitable for applications such as mass cytometry.

Cellular location

/

Images
Dot Blot

Peptide amount: 4 ng, 20 ng, 100 ng
Blocking buffer: 5% NFDM/TBST
Primary Ab dilution: 1:2000
Primary Ab incubation: 2 hours at room temperature
Secondary Ab: Goat Anti-Rabbit IgG H&L pAb (HRP Conjugate)
Exposure time: 60 seconds
The list of peptides used in the experiment is provided below.
Lane 1: L-lactylated peptide library. Lane 2: L-lactylated peptide library.

WB

Lysates: (-) HeLa cells; (+) HeLa cells treated with 100 mM sodium lactate for 24 hours
Protein loading amount: 20 μg
Blocking buffer: 5% NFDM/TBST
Primary Ab dilution: 1:1000
Primary Ab incubation: 2 hours at room temperature
Secondary Ab: Goat Anti-Rabbit IgG H&L pAb (HRP Conjugate)
Exposure time: 10 seconds
Predicted band size: Multiple
Observed band size: Multiple

IHC-P

Tissue: Human cerebrum
Section type: Formalin fixed & paraffin-embedded section
Retrieval method: High temperature and high pressure
Retrieval buffer: Tris/EDTA buffer, pH 9.0
Primary Ab dilution: 1:6000
Primary Ab incubation: 1 hour at room temperature
Secondary Ab: Anti-Rabbit and Mouse Polymer HRP (Ready to Use)
Counter stain: Hematoxylin (blue)
Description: The brown color represents the positive signal observed with PTM-1425.

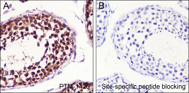
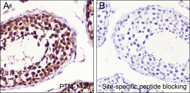
Tissue: Human testis
Section type: Formalin fixed & paraffin-embedded section
Retrieval method: High temperature and high pressure
Retrieval buffer: Tris/EDTA buffer, pH 9.0
Primary Ab dilution: 1:6000
Primary Ab incubation: 1 hour at room temperature
Secondary Ab: Anti-Rabbit and Mouse Polymer HRP (Ready to Use)
Counter stain: Hematoxylin (blue)
Description: The brown color represents the positive signal observed with PTM-1425.

Tissue: Rat stomach
Section type: Formalin fixed & paraffin-embedded section
Retrieval method: High temperature and high pressure
Retrieval buffer: Tris/EDTA buffer, pH 9.0
Primary Ab dilution: 1:6000
Primary Ab incubation: 1 hour at room temperature
Secondary Ab: Anti-Rabbit and Mouse Polymer HRP (Ready to Use)
Counter stain: Hematoxylin (blue)
Description: The brown color represents the positive signal observed with PTM-1425.

Research Use

For research use only, not for use in diagnostic procedures.

Recommended Products
  • View More Images(5)
    $ 435
    Anti-L-Lactyllysine Rabbit pAb
    Catalog #
    PTM-1401
    Host
    Rabbit
    Clonality
    Polyconal
    Conjugate
    Unconjugated
    Reactivity
    All
    Applications:
    WB IHC-P ICC/IF FC IAP IP ChIP mIHC-P CUT&Tag
  • View More Images(12)
    $ 420
    Recombinant Rabbit Monoclonal
    Anti-L-Lactyllysine Rabbit mAb
    Catalog #
    PTM-1401RM
    Host
    Rabbit
    Clonality
    Recombinant Monoclonal
    Conjugate
    Unconjugated
    Reactivity
    All
    Applications:
    WB IHC-P ICC/IF FC IAP IP ChIP mIHC-P CUT&Tag
  • View More Images(4)
    $ 135
    Goat Anti-Rabbit IgG H&L pAb (HRP Conjugate)
    Catalog #
    PTM-6261
    Host
    Goat
    Clonality
    Polyclonal
    Conjugate
    HRP
    Reactivity
    Rabbit
    Applications:
    WB IHC-P ICC/IF FC IAP IP ChIP mIHC-P CUT&Tag
  • View More Images(5)
    $ 125
    Recombinant Rabbit Monoclonal
    Rabbit mAb IgG Isotype Control
    Catalog #
    PTM-5073
    Host
    Rabbit
    Clonality
    Recombinant Monoclonal
    Conjugate
    Unconjugated
    Reactivity
    Human, Mouse, Rat
    Applications:
    WB IHC-P ICC/IF FC IAP IP ChIP mIHC-P CUT&Tag
  • View More Images(5)
    $ 125
    Recombinant Rabbit Monoclonal
    Rabbit mAb IgG Isotype Control
    Catalog #
    PTM-6628
    Host
    Rabbit
    Clonality
    Recombinant Monoclonal
    Conjugate
    Unconjugated
    Reactivity
    Human, Mouse
    Applications:
    WB IHC-P ICC/IF FC IAP IP ChIP mIHC-P CUT&Tag
  • View More Images(5)
    $ 290
    Recombinant Rabbit Monoclonal
    Anti-HDAC1 Rabbit mAb
    Catalog #
    PTM-6350
    Host
    Rabbit
    Clonality
    Recombinant Monoclonal
    Conjugate
    Unconjugated
    Reactivity
    Human, Mouse, Rat
    Applications:
    WB IHC-P ICC/IF FC IAP IP ChIP mIHC-P CUT&Tag
  • View More Images(3)
    $ 280
    Recombinant
    Anti-HDAC3 Mouse mAb
    Catalog #
    PTM-6070
    Host
    Mouse
    Clonality
    Recombinant Monoclonal
    Conjugate
    Unconjugated
    Reactivity
    Human, Mouse, Rat
    Applications:
    WB IHC-P ICC/IF FC IAP IP ChIP mIHC-P CUT&Tag
  • View More Images(1)
    $ 280
    Recombinant
    Anti-Phospho-HDAC1 (Ser406) Mouse mAb
    Catalog #
    PTM-755
    Host
    Mouse
    Clonality
    Recombinant Monoclonal
    Conjugate
    Unconjugated
    Reactivity
    Human
    Applications:
    WB IHC-P ICC/IF FC IAP IP ChIP mIHC-P CUT&Tag
  • View More Images(7)
    $ 330
    Recombinant Rabbit Monoclonal
    Anti-Acetyllysine Mouse mAb
    Catalog #
    PTM-101
    Host
    Mouse
    Clonality
    Monoclonal
    Conjugate
    Unconjugated
    Reactivity
    All
    Applications:
    WB IHC-P ICC/IF FC IAP IP ChIP mIHC-P CUT&Tag
  • View More Images(1)
    $ 4,330
    Anti-L-Lactyllysine Antibody Conjugated Agarose Beads
    Catalog #
    PTM-1404
    Host
    Rabbit
    Clonality
    /
    Conjugate
    Agarose
    Reactivity
    All
    Applications:
    WB IHC-P ICC/IF FC IAP IP ChIP mIHC-P CUT&Tag
References (8)
  • Jaceosidin Attenuates Sepsis-Induced Myocardial Dysfunction by Promoting SIRT2-Mediated Inhibition of Histone H3K18 Lactylation
    Year 2026
    Journal Pharmaceuticals
    Authors Huiming Yu, et al.
    Applications Unspecified
    Reactivity
  • Parishin E from ginger-processed Gastrodia elata Bl. alleviates rheumatoid arthritis by regulating histone 3 lactylation at H3K18la and H3K27la sites
    Year 2025
    Journal Frontiers in Pharmacology
    Authors Xinyue Liu, et al.
    Applications Unspecified
    Reactivity
  • Gastrodin regulates H3K14la through the CDT2-KAT2A axis to treat Sepsis-induced myocardial dysfunction
    Year 2025
    Journal INTERNATIONAL IMMUNOPHARMACOLOGY
    Authors Huiming Yu, et al.
    Applications Unspecified
    Reactivity
  • Jatrorrhizine Alleviates Calcific Aortic Valve Disease via Interfering With Glycolysis Targeting ALDOA K42 Lactylation
    Year 2025
    Journal PHYTOTHERAPY RESEARCH
    Authors Jiaqin Wu, et al.
    Applications Unspecified
    Reactivity
  • A new mechanism of arterial calcification in diabetes: interaction between H3K18 lactylation and CHI3L1
    Year 2025
    Journal CLINICAL SCIENCE
    Authors Zhu Yi, et al.
    Applications Unspecified
    Reactivity
  • Inhibition of PKM2 by shikonin impedes TGF-β1 expression by repressing histone lactylation to alleviate renal fibrosis
    Year 2024
    Journal PHYTOMEDICINE
    Authors Tianya Xiang, et al.
    Applications Unspecified
    Reactivity
  • K90 lactylation orchestrates YAP nuclear sequestration by impairing binding with exportin CRM1 and enhances HCC malignancy
    Year 2024
    Journal CANCER LETTERS
    Authors Li Wang, et al.
    Applications Unspecified
    Reactivity
  • Glycometabolic reprogramming-induced XRCC1 lactylation confers therapeutic resistance in ALDH1A3-overexpressing glioblastoma
    Year 2024
    Journal Cell Metabolism
    Authors Guanzhang Li, et al.
    Applications Unspecified
    Reactivity