/ EN
Technical Support
| Contact Us
+1 312-802-6843
Technical Support
Contact Us
+1 312-802-6843
/ EN
Recover password
Professional Email
Verification Code
Send Code
Password
Recombinant Rabbit Monoclonal
Anti-L-Lactyl-Histone H2B (Lys11) Rabbit mAb
Catalog Number: PTM-1430RM
$ 435

Clone Number: JMMR-P2645

Host: Rabbit Clonality: Recombinant Monoclonal

Applications: WB IHC-P ICC/IF

Reactivity: Human, Mouse

Synonyms: H2BK11la

Product Size
100μl
Quantity

Shipping: Ambient temperature

Order online or send purchase order to info@ptmbio.com

FAQ Technical Support Protocols

General Information
Isotype IgG
Conjugate Unconjugated
Synonyms H2BK11la
UniProt ID

P62807

Immunogen L-lactylated human histone H2B (Lys11) peptide
MW (kDa) 14
Specificity Anti-L-Lactyl-Histone H2B (Lys11) Rabbit mAb detects histone H2B only when it is L-lactylated at Lys11.
Product Usage Information
Applications Dilution Recommended Species
WB 1:1000-1:5000 Human
IHC-P 1:50-1:250 Mouse
ICC/IF 1:50-1:250 Human
Properties
Purity Protein A purified
Constituents PBS, Glycerol, BSA
Storage Store at -20°C. Avoid freeze/thaw cycles.
Stability Stable for 12 months from date of receipt/reconstitution.
Target Information

Background

D-lactyllysine (KD-la) refers to the modification of lysine residues in proteins by the addition of D-lactate.dues in proteins. This modification was first reported by Zhang et al. in 2024, with the findings published in Nature Chemical Biology. KD-la forms through a non-enzymatic reaction between proteins and S-D-lactoylglutathione (LGSH), which is a byproduct of the glyoxalase pathway. This pathway involves two key enzymes: glyoxalase 1 (GLO1) and glyoxalase 2 (GLO2). GLO1 conjugates methylglyoxal (MGO), a glycolysis byproduct, with glutathione to form LGSH, which is hydrolyzed by GLO2 to produce D-lactate while regenerating cellular glutathione. In humans, L-lactate is a common metabolic product that plays a key role in energy metabolism, especially during muscle activity. In contrast, D-lactate is not a typical product of human metabolism but is mainly produced by microorganisms such as certain bacteria and yeasts during fermentation. The potential harm of D-lactate mainly lies in its accumulation under specific conditions, such as intestinal microbiota dysbiosis, short bowel syndrome, or certain disease states. Excessive production of D-lactate can lead to D-lactic acidosis, characterized by symptoms of acidosis (low blood bicarbonate levels, decreased blood pH, and hyperuricemia), and in severe cases, neurological symptoms like seizures, ataxia, and altered consciousness.

Cellular location

/

Images
Dot Blot

Blocking buffer: 5% NFDM/TBST
Primary ab dilution: 1: 5000
Primary ab incubation condition: 0
Secondary ab: Goat Anti-RabbitIgG H&L (HRP)
Peptide amount: Lane 2 hours at room temperature :1 ng, 4 ng, 16 ng, 64 ng; Other spots: 64ng
Exposure time: 1 s

WB

Blocking buffer: 5% NFDM/TBST
Primary Ab dilution: 1:5000
Primary Ab incubation condition: 2 hours at room temperature
Secondary Ab: Goat Anti-Rabbit IgG H&L (HRP)
Lysate: (-): HeLa, (+): HeLa+Sodium lactate (100 mM, 24hr)
Protein loading amount: 20 μg
Exposure time: 60 s
Predicted MW: 14 kDa
Observed MW: 14 kDa

IHC-P

Tissue: Mouse brain
Section type: Formalin-fixed & paraffin-embedded section
Retrieval method: High temperature and high pressure
Retrieval buffer: Tris/EDTA buffer, pH 9.0
Primary Ab dilution: 1:50
Primary Ab incubation condition: 1 hour at room temperature
Secondary Ab: Anti-Rabbit and Mouse Polymer HRP (Ready to use)
Counter stain: Hematoxylin (blue)
Comment: Color brown is the positive signal for PTM-1430RM

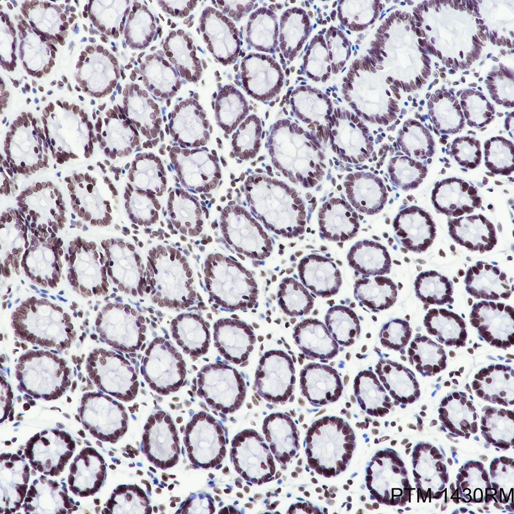
Tissue: Rat colon
Section type: Formalin-fixed & paraffin-embedded section
Retrieval method: High temperature and high pressure
Retrieval buffer: Tris/EDTA buffer, pH 9.0
Primary Ab dilution: 1:50
Primary Ab incubation condition: 1 hour at room temperature
Secondary Ab: Anti-Rabbit and Mouse Polymer HRP (Ready to use)
Counter stain: Hematoxylin (blue)
Comment: Color brown is the positive signal for PTM-1430RM

ICC/IF

Cell line: (A) HeLa, (B)HeLa+ sodium lactate (100mM, 24hr)
Fixation: 100% lce-cold methanol
Permeabilization: 0.1% Triton X-100
Primary Ab dilution: 1:100
Primary Ab incubation condition: 4℃ overnight
Secondary Ab: Goat Anti-Rabbit IgG
Nuclear counter stain: DAPI (blue)
Counter stain: Tubulin (red)
Comment: Color green is the positive signal for PTM-1430RM

Research Use

For research use only, not for use in diagnostic procedures.