/ EN
Technical Support
| Contact Us
+1 312-802-6843
Technical Support
Contact Us
+1 312-802-6843
/ EN
Recover password
Professional Email
Verification Code
Send Code
Password
Anti-HSP90 beta Rabbit pAb
Catalog Number: PTM-6970
$ 310

Clone Number: /

Host: Rabbit Clonality: Polyclonal

Applications: WB IHC-P

Reactivity: Human, Mouse, Rat

Synonyms: Heat shock protein HSP 90-beta, HSP 90, Heat shock 84 kDa (HSP 84; HSP84), Heat shock protein family C member 3 , HSP90AB1, HSP90B, HSPC2, HSPC3, HSPCB

Product Size
100 μl
Quantity

Shipping: Ambient temperature

Order online or send purchase order to info@ptmbio.com

FAQ Technical Support Protocols

General Information
Isotype IgG
Conjugate Unconjugated
Synonyms Heat shock protein HSP 90-beta, HSP 90, Heat shock 84 kDa (HSP 84; HSP84), Heat shock protein family C member 3 , HSP90AB1, HSP90B, HSPC2, HSPC3, HSPCB
UniProt ID

P08238

Immunogen Synthetic peptide derived from human HSP90 beta
MW (kDa) 85
Specificity
Product Usage Information
Applications Dilution Recommended Species
WB 1:1000 - 1:2000 Human, Rat
IHC-P 1:50 - 1:100 Human, Mouse, Rat
Properties
Purity Protein A and immunogen affinity purified
Constituents PBS, Glycerol, BSA
Storage Store at -20°C. Avoid freeze/thaw cycles.
Stability Stable for 12 months from date of receipt/reconstitution.
Target Information

Background

HSP90 beta, also known as HSP90AB1, is a member of HSP90 family which includes cytosolic HSP90 alpha (HSP90AA1) and HSP90 beta, endoplasmic reticulum related GRP74, mitochondrial TRAP1. HSP90 proteins play a versatile role in cell regulation, forming complexes with a large number of cellular kinases, transcription factors, and other molecules. Upregulation of HSP90AB1 has been found in various cancers.

Cellular location

Cytoplasm

Images
WB

Blocking buffer: 5% NFDM/TBST
Primary Ab dilution: 1:2000
Primary Ab incubation: 2 hours at room temperature
Secondary Ab: Goat Anti-Rabbit IgGH&L (HRP Conjugate)
Lysate: 1: HeLa, 2: K562, 3: Jurkat, 4: PC-12
Protein loading amount: 20 μg
Exposure time: 3 s
Predicted band size: 85 kDa
Observed band size: 90 kDa

IHC-P

Tissue: Human testis
Section type: Formalin-fixed & paraffin-embedded section
Retrieval method: High temperature and high pressure
Retrieval buffer: Tris/EDTA buffer, pH9.0
Primary Ab dilution: 1:100
Primary Ab incubation: 1 hour at room temperature
Secondary Ab: Anti-Rabbit and Mouse Polymer HRP (Ready to Use)
Counter stain: Hematoxylin (Blue)
Description: The brown color represents the positive signal observed with PTM-6970

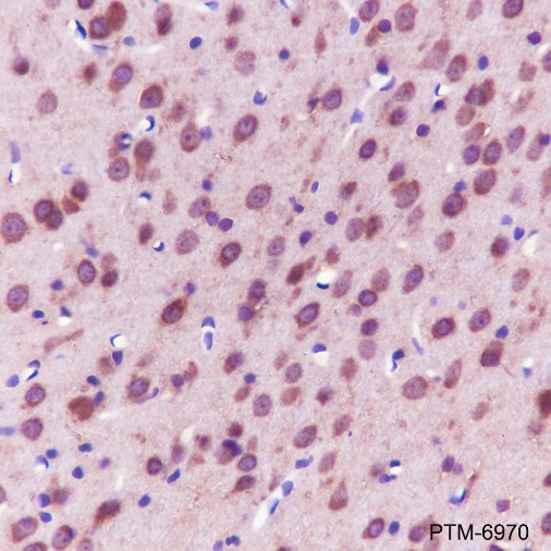
Tissue: Mouse cerebrum
Section type: Formalin-fixed & paraffin-embedded section
Retrieval method: High temperature and high pressure
Retrieval buffer: Tris/EDTA buffer, pH9.0
Primary Ab dilution: 1:100
Primary Ab incubation: 1 hour at room temperature
Secondary Ab: Anti-Rabbit and Mouse Polymer HRP (Ready to Use)
Counter stain: Hematoxylin (Blue)
Description: The brown color represents the positive signal observed with PTM-6970

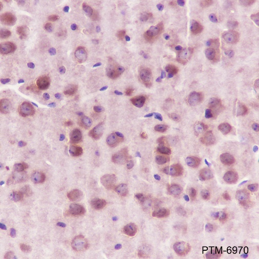
Tissue: Rat cerebrum
Section type: Formalin-fixed & paraffin-embedded section
Retrieval method: High temperature and high pressure
Retrieval buffer: Tris/EDTA buffer, pH9.0
Primary Ab dilution: 1:100
Primary Ab incubation: 1 hour at room temperature
Secondary Ab: Anti-Rabbit and Mouse Polymer HRP (Ready to Use)
Counter stain: Hematoxylin (Blue)
Description: The brown color represents the positive signal observed with PTM-6970

Research Use

For research use only, not for use in diagnostic procedures.

Recommended Products
  • View More Images(5)
    $ 300
    Recombinant Rabbit Monoclonal
    Anti-HSP90 beta Rabbit mAb
    Catalog #
    PTM-5734
    Host
    Rabbit
    Clonality
    Recombinant Monoclonal
    Conjugate
    Unconjugated
    Reactivity
    Human, Mouse, Rat
    Applications:
    WB IHC-P ICC/IF FC IAP IP ChIP mIHC-P CUT&Tag
  • View More Images(3)
    $ 285
    Recombinant
    Anti-HSP90 beta Mouse mAb
    Catalog #
    PTM-5097
    Host
    Mouse
    Clonality
    Recombinant Monoclonal
    Conjugate
    Unconjugated
    Reactivity
    Human, Mouse, Rat
    Applications:
    WB IHC-P ICC/IF FC IAP IP ChIP mIHC-P CUT&Tag