/ EN
Technical Support
| Contact Us
+1 312-802-6843
Technical Support
Contact Us
+1 312-802-6843
/ EN
Recover password
Professional Email
Verification Code
Send Code
Password
Recombinant Rabbit Monoclonal
Anti-HSP90 beta Rabbit mAb
Catalog Number: PTM-5734
$ 300

Clone Number: JRMR-10306-32

Host: Rabbit Clonality: Recombinant Monoclonal

Applications: WB IHC-P IP

Reactivity: Human, Mouse, Rat

Synonyms: Heat shock protein HSP 90-beta, HSP 90, Heat shock 84 kDa (HSP 84; HSP84), Heat shock protein family C member 3 , HSP90AB1, HSP90B, HSPC2, HSPC3, HSPCB

Product Size
100 μl
Quantity

Shipping: Ambient temperature

Order online or send purchase order to info@ptmbio.com

FAQ Technical Support Protocols

General Information
Isotype IgG
Conjugate Unconjugated
Synonyms Heat shock protein HSP 90-beta, HSP 90, Heat shock 84 kDa (HSP 84; HSP84), Heat shock protein family C member 3 , HSP90AB1, HSP90B, HSPC2, HSPC3, HSPCB
UniProt ID

P08238

Immunogen Synthetic peptide derived from human HSP90 beta
MW (kDa) 85
Specificity
Product Usage Information
Applications Dilution Recommended Species
WB 1:10000 - 1:50000 Human, Mouse, Rat
IHC-P 1:50 - 1:100 Human, Mouse, Rat
IP 1:50 - 1:100 Human
Properties
Purity Protein A purified
Constituents PBS, Glycerol, BSA
Storage Store at -20°C. Avoid freeze/thaw cycles.
Stability Stable for 12 months from date of receipt/reconstitution.
Target Information

Background

Hsp90 (90 kDa heat shock protein) is a molecular chaperone that aids protein folding and quality control for a large number of 'client' proteins. Hsp90 operates as dimer and has intrinsic ATPase activity. The Hsp90 dimer acts in concert with other chaperones (e.g. Hsp70).

Cellular location

Cytoplasm, Membrane, Nucleus

Images
WB

Blocking buffer: 5% NFDM/TBST
Primary Ab dilution: 1:50000
Primary Ab incubation: 2 hours at room temperature
Secondary Ab: Goat Anti-Rabbit IgG H&L pAb (HRP Conjugate)
Lysate: 1: Jurkat, 2: PC-12, 3: Mouse testis, 4: Rat testis Protein loading quantity: 20 μg
Exposure time: 60 seconds
Predicted band size: 85 kDa
Observed band size: 90 kDa

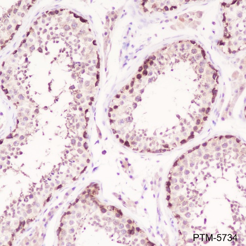
IHC-P

Tissue: Human testis
Section type: Formalin fixed & Paraffin-embedded section
Retrieval method: High temperature and high
pressure
Retrieval buffer: Tris/EDTA buffer, pH 9.0
Primary Ab dilution: 1:100
Primary Ab incubation: 1 hour at room temperature
Secondary Ab: Anti-Rabbit and Mouse Polymer HRP (Ready to Use)
Counter stain: Hematoxylin (Blue)
Description: The brown color represents the positive signal observed with PTM-5734

Tissue: Mouse brain
Section type: Formalin fixed & Paraffin-embedded section
Retrieval method: High temperature and high
pressure
Retrieval buffer: Tris/EDTA buffer, pH 9.0
Primary Ab dilution: 1:100
Primary Ab incubation: 1 hour at room temperature
Secondary Ab: Anti-Rabbit and Mouse Polymer HRP (Ready to Use)
Counter stain: Hematoxylin (Blue)
Description: The brown color represents the positive signal observed with PTM-5734

Tissue: Rat brain
Section type: Formalin fixed & Paraffin-embedded section
Retrieval method: High temperature and high
pressure
Retrieval buffer: Tris/EDTA buffer, pH 9.0
Primary Ab dilution: 1:100
Primary Ab incubation: 1 hour at room temperature
Secondary Ab: Anti-Rabbit and Mouse Polymer HRP (Ready to Use)
Counter stain: Hematoxylin (Blue)
Description: The brown color represents the positive signal observed with PTM-5734

Research Use

For research use only, not for use in diagnostic procedures.

Recommended Products
  • View More Images(3)
    $ 285
    Recombinant
    Anti-HSP90 beta Mouse mAb
    Catalog #
    PTM-5097
    Host
    Mouse
    Clonality
    Recombinant Monoclonal
    Conjugate
    Unconjugated
    Reactivity
    Human, Mouse, Rat
    Applications:
    WB IHC-P ICC/IF FC IAP IP ChIP mIHC-P CUT&Tag
  • View More Images(4)
    $ 310
    Anti-HSP90 beta Rabbit pAb
    Catalog #
    PTM-6970
    Host
    Rabbit
    Clonality
    Polyclonal
    Conjugate
    Unconjugated
    Reactivity
    Human, Mouse, Rat
    Applications:
    WB IHC-P ICC/IF FC IAP IP ChIP mIHC-P CUT&Tag