/ EN
Technical Support
| Contact Us
+1 312-802-6843
Technical Support
Contact Us
+1 312-802-6843
/ EN
Recover password
Professional Email
Verification Code
Send Code
Password
Recombinant
Anti-HSP90 beta Mouse mAb
Catalog Number: PTM-5097
$ 285

Clone Number: 13423

Host: Mouse Clonality: Recombinant Monoclonal

Applications: WB IHC-P

Reactivity: Human, Mouse, Rat

Synonyms: Heat shock protein HSP 90-beta, HSP 90, Heat shock 84 kDa (HSP 84; HSP84), Heat shock protein family C member 3 , HSP90AB1, HSP90B, HSPC2, HSPC3, HSPCB

Product Size
100 μl
Quantity

Shipping: Ambient temperature

Order online or send purchase order to info@ptmbio.com

FAQ Technical Support Protocols

General Information
Isotype IgG1
Conjugate Unconjugated
Synonyms Heat shock protein HSP 90-beta, HSP 90, Heat shock 84 kDa (HSP 84; HSP84), Heat shock protein family C member 3 , HSP90AB1, HSP90B, HSPC2, HSPC3, HSPCB
UniProt ID

P08238

Immunogen Synthetic peptide derived from human HSP90 beta
MW (kDa) 83
Specificity
Product Usage Information
Applications Dilution Recommended Species
WB 1:2000 Human, Rat, Mouse
IHC-P 1:50 - 1:100 Human, Mouse
Properties
Purity Protein G purified
Constituents PBS, Glycerol, BSA
Storage Store at -20°C. Avoid freeze/thaw cycles.
Stability Stable for 12 months from date of receipt/reconstitution.
Target Information

Background

HSP90AB1 is a molecular chaperone. Chaperones are proteins that bind to other proteins, thereby stabilizing them in an ATP-dependent manner. Chaperones stabilize new proteins during translation, mature proteins which are partially unstable but also proteins that have become partially denatured due to various kinds of cellular stress. In case proper folding or refolding is impossible, HSPs mediate protein degradation. They also have specialized functions, such as intracellular transport into organelles.

Cellular location

Cytoplasm

Images
WB

Blocking buffer: 5% NFDM/TBST
Primary Ab dilution: 1:2000
Primary Ab incubation: 2 hours at room temperature
Lysate: HeLa, N2a, BRL, Mouse liver, Mouse kidney
Protein loading quantity: 20 μg
Exposure time:3 s
Predicted band size: 83 kDa
Observed band size: 103 kDa

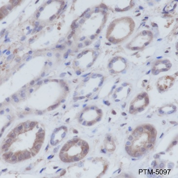
IHC-P

Tissue: Human kidney
Section type: Formalin fixed & Paraffin -embedded section
Retrieval method: High temperature and high pressure
Retrieval buffer: Tris/EDTA buffer, pH 9.0
Primary Ab dilution: 1:100
Primary Ab incubation: 1 hour at room temperature
Counter stain: Hematoxylin
Description: The brown color represents the positive signal observed with
PTM-5097

Tissue: Mouse cerebral cortex
Section type: Formalin fixed & Paraffin -embedded section
Retrieval method: High temperature and high pressure
Retrieval buffer: Tris/EDTA buffer, pH 9.0
Primary Ab dilution: 1:100
Primary incubation condition: 1 hour at room
temperature
Counter stain: Hematoxylin
Description: The brown color represents the positive signal observed with
PTM-5097

Research Use

For research use only, not for use in diagnostic procedures.

Recommended Products
  • View More Images(5)
    $ 300
    Recombinant Rabbit Monoclonal
    Anti-HSP90 beta Rabbit mAb
    Catalog #
    PTM-5734
    Host
    Rabbit
    Clonality
    Recombinant Monoclonal
    Conjugate
    Unconjugated
    Reactivity
    Human, Mouse, Rat
    Applications:
    WB IHC-P ICC/IF FC IAP IP ChIP mIHC-P CUT&Tag
  • View More Images(4)
    $ 310
    Anti-HSP90 beta Rabbit pAb
    Catalog #
    PTM-6970
    Host
    Rabbit
    Clonality
    Polyclonal
    Conjugate
    Unconjugated
    Reactivity
    Human, Mouse, Rat
    Applications:
    WB IHC-P ICC/IF FC IAP IP ChIP mIHC-P CUT&Tag