/ EN
Technical Support
| Contact Us
+1 312-802-6843
Technical Support
Contact Us
+1 312-802-6843
/ EN
Recover password
Professional Email
Verification Code
Send Code
Password
Recombinant
Anti-HSP90 alpha Mouse mAb
Catalog Number: PTM-5409
References (1)
$ 290

Clone Number: 13741

Host: Mouse Clonality: Recombinant Monoclonal

Applications: WB IHC-P

Reactivity: Human, Mouse

Synonyms: HSP90A, HSPC1, HSPCA

Product Size
100 μl
Quantity

Shipping: Ambient temperature

Order online or send purchase order to info@ptmbio.com

FAQ Technical Support Protocols

General Information
Isotype IgG1
Conjugate Unconjugated
Synonyms HSP90A, HSPC1, HSPCA
UniProt ID

P07900

Immunogen
MW (kDa) 90
Specificity
Product Usage Information
Applications Dilution Recommended Species
WB 1:200 - 1:1000 Human, Mouse
IHC-P 1:50 - 1:100 Human, Mouse
Properties
Purity Protein G purified
Constituents PBS, Glycerol, BSA
Storage Store at -20°C. Avoid freeze/thaw cycles.
Stability Stable for 12 months from date of receipt/reconstitution.
Target Information

Background

The gene, HSP90AA1, encodes the human stress-inducible 90-kDa heat shock protein alpha (Hsp90A). Complemented by the constitutively expressed paralog Hsp90B which shares over 85% amino acid sequence identity, Hsp90A expression is initiated when a cell experiences proteotoxic stress. Once expressed Hsp90A dimers operate as molecular chaperones that bind and fold other proteins into their functional 3-dimensional structures. This molecular chaperoning ability of Hsp90A is driven by a cycle of structural rearrangements fueled by ATP hydrolysis. Current research on Hsp90A focuses in its role as a drug target due to its interaction with a large number of tumor promoting proteins and its role in cellular stress adaptation.

Cellular location

Membrane, Mitochondrion, Nucleus

Images
WB

Blocking buffer: 5% NFDM/TBST
Primary Ab dilution: 1:1000
Primary Ab incubation: 4°C overnight
Lysate: HeLa, 3T3, PC-12
Protein loading quantity: 20 μg
Exposure time: 10 s
Predicted band size: 90 kDa
Observed band size: 100 kDa

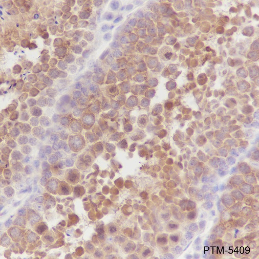
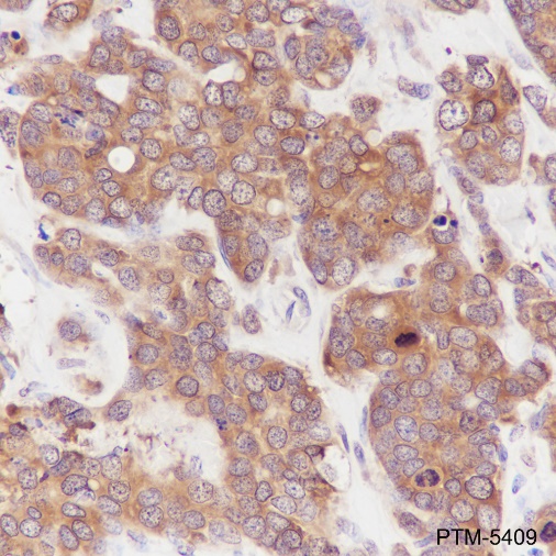
IHC-P

Tissue: Human breast cancer
Section type: Formalin fixed & Paraffin -embedded section
Retrieval method: High temperature and high pressure
Retrieval buffer: Tris/EDTA buffer, pH 9.0
Primary Ab dilution: 1:100
Primary Ab incubation: 1 hour at room temperature
Counter stain: Hematoxylin
Description: The brown color represents the positive signal observed with PTM-5409

Tissue: Mouse testis
Section type: Formalin fixed & Paraffin
-embedded section
Retrieval method: High temperature and high
pressure
Retrieval buffer: Tris/EDTA buffer, pH 9.0
Primary Ab dilution: 1:100
Primary Ab incubation: 1 hour at
room temperature
Counter stain: Hematoxylin
Description: The brown color represents the positive signal observed with
PTM-5409

Research Use

For research use only, not for use in diagnostic procedures.

References (1)
  • Cinnamic Acid Prevents Skeletal Muscle Atrophy in Nephrectomized Rats by Modulating Apoptosis and Endoplasmic Reticulum Stress
    Year 2025
    Journal PHYTOMEDICINE
    Authors Chi Zhang, et al.
    Applications Unspecified
    Reactivity