/ EN
Technical Support
| Contact Us
+1 312-802-6843
Technical Support
Contact Us
+1 312-802-6843
/ EN
Recover password
Professional Email
Verification Code
Send Code
Password
Recombinant Rabbit Monoclonal
Anti-Histone H4 Mouse mAb
Catalog Number: PTM-1009
References (17)
$ 280

Clone Number: 2F11

Host: Mouse Clonality: Monoclonal

Applications: WB IHC-P

Reactivity: Human, Mouse, Rat, Monkey

Synonyms: H4C1, H4/A, H4FA, HIST1H4A, H4C2, H4C3, H4C4, H4C5

Product Size
100μl
Quantity

Shipping: Ambient temperature

Order online or send purchase order to info@ptmbio.com

FAQ Technical Support Protocols

General Information
Isotype IgG
Conjugate Unconjugated
Synonyms H4C1, H4/A, H4FA, HIST1H4A, H4C2, H4C3, H4C4, H4C5
UniProt ID

P62805

Immunogen Synthetic peptide corresponding to the N-terminus of human histone H4 protein
MW (kDa) 11
Specificity Anti-Histone H4 Mouse mAb detects endogenous levels of total histone H4 protein. It does not cross-react with other histone or non-histone proteins.
Product Usage Information
Applications Dilution Recommended Species
WB 1:500 - 1:2000 Human, Mouse, Rat, Monkey
IHC-P 1:100 - 1:500 Human
Properties
Purity Protein G and immunogen affinity purified
Constituents PBS, Glycerol, BSA
Storage Store at -20°C. Avoid freeze/thaw cycles.
Stability Stable for 12 months from date of receipt/reconstitution.
Target Information

Background

Histones are a family of basic proteins that form the core of the nucleosome – the fundamental structural unit of chromatin. In a single nucleosome, core histone proteins H2A, H2B, H3, and H4 form an octamer around which the DNA is tightly wrapped. Histone proteins not only serve to compact chromosomal DNA but also play vital roles in the dynamic and long-term regulation of genes by a wide variety of post-translational modifications (PTMs). These PTMs including acetylation, methylation, phosphorylation, and novel acylations directly affect the accessibility of chromatin to transcription factors and other epigenetic regulators, altering genome stability and gene transcription. Histone H4 is primarily acetylated at Lys5, 8, 12, and 16, and methylated at Lys20.

Cellular location

Nucleus

Images
WB

Lysates: MCF-7, BRL, N2a, COS-7, mouse liver
Protein loading amount: 20 μg
Blocking buffer: 5% NFDM/TBST
Primary Ab dilution: 1:2000
Primary Ab incubation: 2 hours at room temperature
Secondary Ab: Goat Anti-Mouse IgG H&L pAb (HRP Conjugate)
Exposure time: 60 seconds
Predicted band size: 11 kDa
Observed band size: 11 kDa

Lysate: (-) HeLa; (+) HeLa cells treated with 2 μM trichostatin A for 4 hours
Protein loading amount: 20 μg
Blocking buffer: 5% NFDM/TBST
Primary Ab dilution: 1:2000
Primary Ab incubation: 2 hours at room temperature
Secondary Ab: Goat Anti-Mouse IgG H&L pAb (HRP Conjugate)
Exposure time: 60 seconds
Predicted band size: 11 kDa
Observed band size: 11 kDa

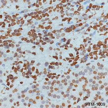
IHC-P

Tissue: Human neuroblastoma
Section type: Formalin fixed & paraffin-embedded section
Retrieval method: High temperature and high pressure
Retrieval buffer: Tris/EDTA buffer, pH 9.0
Primary Ab dilution: 1:500
Primary Ab incubation: 1 hour at room temperature
Secondary Ab: Anti-Rabbit and Mouse Polymer HRP (Ready to Use)
Counter stain: Hematoxylin (blue)
Description: The brown color represents the positive signal observed with PTM-1009.

Research Use

For research use only, not for use in diagnostic procedures.

Recommended Products
  • View More Images(3)
    $ 290
    Anti-Histone H4 Rabbit pAb
    Catalog #
    PTM-1004
    Host
    Rabbit
    Clonality
    Polyclonal
    Conjugate
    Unconjugated
    Reactivity
    Human, Mouse, Rat, Monkey
    Applications:
    WB IHC-P ICC/IF FC IAP IP ChIP mIHC-P CUT&Tag
  • View More Images(7)
    $ 270
    Recombinant Rabbit Monoclonal
    Anti-Histone H4 Rabbit mAb
    Catalog #
    PTM-1015RM
    Host
    Rabbit
    Clonality
    Recombinant Monoclonal
    Conjugate
    Unconjugated
    Reactivity
    Human, Mouse, Rat, Monkey, Pig, S.cerevisiae
    Applications:
    WB IHC-P ICC/IF FC IAP IP ChIP mIHC-P CUT&Tag
  • View More Images(4)
    $ 135
    Goat Anti-Mouse IgG H&L (HRP Conjugate)
    Catalog #
    PTM-7168
    Host
    Goat
    Clonality
    Polyclonal
    Conjugate
    HRP
    Reactivity
    Mouse
    Applications:
    WB IHC-P ICC/IF FC IAP IP ChIP mIHC-P CUT&Tag
  • View More Images(5)
    $ 280
    Recombinant
    Anti-SIRT2 Mouse mAb
    Catalog #
    PTM-6043
    Host
    Mouse
    Clonality
    Recombinant Monoclonal
    Conjugate
    Unconjugated
    Reactivity
    Human, Mouse, Rat
    Applications:
    WB IHC-P ICC/IF FC IAP IP ChIP mIHC-P CUT&Tag
  • View More Images(1)
    $ 280
    Recombinant Rabbit Monoclonal
    Anti-SIRT6 Rabbit mAb
    Catalog #
    PTM-6658
    Host
    Rabbit
    Clonality
    Recombinant Monoclonal
    Conjugate
    Unconjugated
    Reactivity
    Human, Mouse, Rat
    Applications:
    WB IHC-P ICC/IF FC IAP IP ChIP mIHC-P CUT&Tag
  • View More Images(1)
    $ 280
    Recombinant Rabbit Monoclonal
    Anti-WHSC1 Rabbit mAb
    Catalog #
    PTM-6839
    Host
    Rabbit
    Clonality
    Recombinant Monoclonal
    Conjugate
    Unconjugated
    Reactivity
    Human
    Applications:
    WB IHC-P ICC/IF FC IAP IP ChIP mIHC-P CUT&Tag
  • View More Images(1)
    $ 290
    Recombinant Rabbit Monoclonal
    Anti-PHF8 Rabbit mAb
    Catalog #
    PTM-6496
    Host
    Rabbit
    Clonality
    Recombinant Monoclonal
    Conjugate
    Unconjugated
    Reactivity
    Human, Mouse, Rat
    Applications:
    WB IHC-P ICC/IF FC IAP IP ChIP mIHC-P CUT&Tag
  • View More Images(1)
    $ 280
    Recombinant
    Anti-PRMT1 Mouse mAb
    Catalog #
    PTM-5154
    Host
    Mouse
    Clonality
    Recombinant Monoclonal
    Conjugate
    Unconjugated
    Reactivity
    Human, Mouse, Rat
    Applications:
    WB IHC-P ICC/IF FC IAP IP ChIP mIHC-P CUT&Tag
  • View More Images(4)
    $ 280
    Recombinant Rabbit Monoclonal
    Anti-PRMT5 Rabbit mAb
    Catalog #
    PTM-5889
    Host
    Rabbit
    Clonality
    Recombinant Monoclonal
    Conjugate
    Unconjugated
    Reactivity
    Human
    Applications:
    WB IHC-P ICC/IF FC IAP IP ChIP mIHC-P CUT&Tag
  • View More Images(4)
    $ 280
    Recombinant
    Anti-HAT1 Mouse mAb
    Catalog #
    PTM-5195
    Host
    Mouse
    Clonality
    Recombinant Monoclonal
    Conjugate
    Unconjugated
    Reactivity
    Human, Mouse, Rat
    Applications:
    WB IHC-P ICC/IF FC IAP IP ChIP mIHC-P CUT&Tag
  • View More Images(5)
    $ 345
    Anti-Acetyl-Histone H4 (Lys5) Rabbit pAb
    Catalog #
    PTM-119
    Host
    Rabbit
    Clonality
    Polyclonal
    Conjugate
    Unconjugated
    Reactivity
    Human, Mouse, Rat
    Applications:
    WB IHC-P ICC/IF FC IAP IP ChIP mIHC-P CUT&Tag
  • View More Images(4)
    $ 350
    Anti-Acetyl-Histone H4 (Lys8) Rabbit pAb
    Catalog #
    PTM-120
    Host
    Rabbit
    Clonality
    Polyclonal
    Conjugate
    Unconjugated
    Reactivity
    Human, Mouse, Rat
    Applications:
    WB IHC-P ICC/IF FC IAP IP ChIP mIHC-P CUT&Tag
  • View More Images(7)
    $ 340
    Recombinant Rabbit Monoclonal
    Anti-Acetyl-Histone H4 (Lys12) Rabbit mAb
    Catalog #
    PTM-121RM
    Host
    Rabbit
    Clonality
    Recombinant Monoclonal
    Conjugate
    Unconjugated
    Reactivity
    Human, Mouse, Rat
    Applications:
    WB IHC-P ICC/IF FC IAP IP ChIP mIHC-P CUT&Tag
  • View More Images(6)
    $ 350
    Anti-Acetyl-Histone H4 (Lys16) Rabbit pAb
    Catalog #
    PTM-122
    Host
    Rabbit
    Clonality
    Polyclonal
    Conjugate
    Unconjugated
    Reactivity
    Human, Mouse, Rat, Rice
    Applications:
    WB IHC-P ICC/IF FC IAP IP ChIP mIHC-P CUT&Tag
  • View More Images(4)
    $ 330
    Recombinant Rabbit Monoclonal
    Anti-Acetyl-Histone H4 (Lys5) Mouse mAb
    Catalog #
    PTM-163
    Host
    Mouse
    Clonality
    Monoclonal
    Conjugate
    Unconjugated
    Reactivity
    Human, Mouse, Rat
    Applications:
    WB IHC-P ICC/IF FC IAP IP ChIP mIHC-P CUT&Tag
  • View More Images(5)
    $ 350
    Anti-Acetyl-Histone H4 (Lys12) Mouse mAb
    Catalog #
    PTM-165
    Host
    Mouse
    Clonality
    Monoclonal
    Conjugate
    Unconjugated
    Reactivity
    Human, Mouse, Rat
    Applications:
    WB IHC-P ICC/IF FC IAP IP ChIP mIHC-P CUT&Tag
  • View More Images(5)
    $ 330
    Recombinant
    Anti-Acetyl-Histone H4 (Lys16) Mouse mAb
    Catalog #
    PTM-187
    Host
    Mouse
    Clonality
    Recombinant Monoclonal
    Conjugate
    Unconjugated
    Reactivity
    Human, Mouse, Rat
    Applications:
    WB IHC-P ICC/IF FC IAP IP ChIP mIHC-P CUT&Tag
  • View More Images(5)
    $ 320
    Recombinant
    Anti-Acetyl-Histone H4 (Lys8) Mouse mAb
    Catalog #
    PTM-190
    Host
    Mouse
    Clonality
    Recombinant Monoclonal
    Conjugate
    Unconjugated
    Reactivity
    Human, Mouse, Rat
    Applications:
    WB IHC-P ICC/IF FC IAP IP ChIP mIHC-P CUT&Tag
References (17)
  • Complex-specific inhibitors for interrogating ATAC histone acetyltransferase complex
    Year 2026
    Journal Nature Chemical Biology
    Authors Liu Sha, et al.
    Applications Unspecified
    Reactivity
  • Global Analysis of the Lysine Acetylome in Macrophages from Salt-sensitive Hypertensive Rats
    Year 2025
    Journal APPLIED BIOCHEMISTRY AND BIOTECHNOLOGY
    Authors Xie Di, et al.
    Applications Unspecified
    Reactivity
  • H3K14 lactylation exacerbates neuronal ferroptosis by inhibiting calcium efflux following intracerebral hemorrhagic stroke
    Year 2025
    Journal Cell Death & Disease
    Authors Sun Tingting, et al.
    Applications WB
    Reactivity
  • Dual activation of GCGR/GLP1R signaling ameliorates intestinal fibrosis via metabolic regulation of histone H3K9 lactylation in epithelial cells
    Year 2024
    Journal Acta Pharmaceutica Sinica B
    Authors Han Liu, et al.
    Applications Unspecified
    Reactivity
  • NEK7 induces lactylation in Alzheimer’s disease to promote pyroptosis in BV-2 cells
    Year 2024
    Journal Molecular Brain
    Authors Cheng Jing, et al.
    Applications Unspecified
    Reactivity
  • Histone H4K12 lactylation promotes malignancy progression in triple-negative breast cancer through SLFN5 downregulation
    Year 2024
    Journal CELLULAR SIGNALLING
    Authors Jingyi Li, et al.
    Applications WB
    Reactivity
  • MOF-mediated acetylation of CDK9 promotes global transcription by modulating P-TEFb complex formation
    Year 2024
    Journal FEBS Journal
    Authors Wenqi Chen, et al.
    Applications Unspecified
    Reactivity
  • Novel and recurrent hemizygous variants in BCORL1 cause oligoasthenoteratozoospermia by interfering transcription
    Year 2024
    Journal Andrology
    Authors Yu Wang, et al.
    Applications Unspecified
    Reactivity
  • Diverse modes of H3K36me3-guided nucleosomal deacetylation by Rpd3S
    Year 2023
    Journal NATURE
    Authors Guan Haipeng, et al.
    Applications Unspecified
    Reactivity
  • The hydroxamic acid derivative YPX-C-05 alleviates hypertension and vascular dysfunction through the PI3K/Akt/eNOS pathway
    Year 2023
    Journal VASCULAR PHARMACOLOGY
    Authors Pan-Pan Pang, et al.
    Applications Unspecified
    Reactivity
  • Anti-Colorectal Cancer Activity of Solasonin from Solanum nigrum L. via Histone Deacetylases-Mediated p53 Acetylation Pathway
    Year 2023
    Journal MOLECULES
    Authors Xintian Lan, et al.
    Applications Unspecified
    Reactivity
  • H3K18 lactylation of senescent microglia potentiates brain aging and Alzheimer's disease through the NFκB signaling pathway
    Year 2023
    Journal Journal of Neuroinflammation
    Authors Wei Lin, et al.
    Applications WB
    Reactivity
  • Enterobacterial LPS-inducible LINC00152 is regulated by histone lactylation and promotes cancer cells invasion and migration
    Year 2022
    Journal Frontiers in Cellular and Infection Microbiology
    Authors Wang Jianwei, et al.
    Applications Unspecified
    Reactivity
  • Histone deacetylase SirE regulates development, DNA damage response and aflatoxin production in Aspergillus flavus
    Year 2022
    Journal ENVIRONMENTAL MICROBIOLOGY
    Authors Meifang Wen, et al.
    Applications Unspecified
    Reactivity
  • Multi-omics analyses reveal the mechanisms of Arsenic-induced male reproductive toxicity in mice
    Year 2021
    Journal JOURNAL OF HAZARDOUS MATERIALS
    Authors Zijun Peng, et al.
    Applications Unspecified
    Reactivity
  • Histone benzoylation serves as an epigenetic mark for DPF and YEATS family proteins
    Year 2020
    Journal NUCLEIC ACIDS RESEARCH
    Authors Ren Xiangle, et al.
    Applications Unspecified
    Reactivity
  • Quantitative proteomics of epigenetic histone modifications in MCF-7 cells under estradiol stimulation
    Year 2020
    Journal Analytical Methods
    Authors Yechen Hu, et al.
    Applications Unspecified
    Reactivity