/ EN
Technical Support
| Contact Us
+1 312-802-6843
Technical Support
Contact Us
+1 312-802-6843
/ EN
Recover password
Professional Email
Verification Code
Send Code
Password
Recombinant Rabbit Monoclonal
Anti-Histone H3 Rabbit mAb
Catalog Number: PTM-6613
References (11)
$ 125

Clone Number: JMMR-2423B

Host: Rabbit Clonality: Recombinant Monoclonal

Applications: WB IHC-P

Reactivity: Human, Mouse, Rat, Monkey

Synonyms: Histone H3.1, Histone H3/a, H3C1, H3FA, HIST1H3A, Histone H3/b, Histone H3/c, Histone H3/d

Product Size
100 μl
Quantity

Shipping: Ambient temperature

Order online or send purchase order to info@ptmbio.com

FAQ Technical Support Protocols

General Information
Isotype IgG
Conjugate Unconjugated
Synonyms Histone H3.1, Histone H3/a, H3C1, H3FA, HIST1H3A, Histone H3/b, Histone H3/c, Histone H3/d
UniProt ID

P68431

Immunogen Synthetic peptide derived from human histone H3 protein
MW (kDa) 15
Specificity Anti-Histone H3 Rabbit mAb detects endogenous levels of total histone H3 protein. It does not cross-react with other histone or non-histone proteins.
Product Usage Information
Applications Dilution Recommended Species
WB 1:1000 - 1:5000 Human, Mouse, Rat, Monkey
IHC-P 1:50 - 1:100 Human, Mouse, Rat
Properties
Purity Protein A purified
Constituents PBS, Glycerol, BSA
Storage Store at -20°C. Avoid freeze/thaw cycles.
Stability Stable for 12 months from date of receipt/reconstitution.
Target Information

Background

Modulation of chromatin structure plays an important role in the regulation of transcription in eukaryotes. The nucleosome, made up of DNA wound around eight core histone proteins (two each of H2A, H2B, H3, and H4), is the primary building block of chromatin. Histone H3 is primarily acetylated at Lys9, 14, 18, 23, 27, and 56. Acetylation of H3 at Lys9 appears to have a dominant role in histone deposition and chromatin assembly in some organisms. Phosphorylation at Ser10, Ser28, and Thr11 of histone H3 is tightly correlated with chromosome condensation during both mitosis and meiosis.

Cellular location

Nucleus

Images
WB

Blocking buffer: 5% NFDM/TBST
Primary Ab dilution: 1:5000
Primary Ab incubation: 2 hours at room temperature
Secondary Ab: Goat Anti-Rabbit IgGH&L(HRP Conjugate)
Lysate: 1: HeLa, 2: NIH/3T3, 3: PC-12, 4: COS-7
Protein loading quantity: 20 μg
Exposure time: 60 seconds
Predicted band size: 15 kDa
Observed band size: 15 kDa

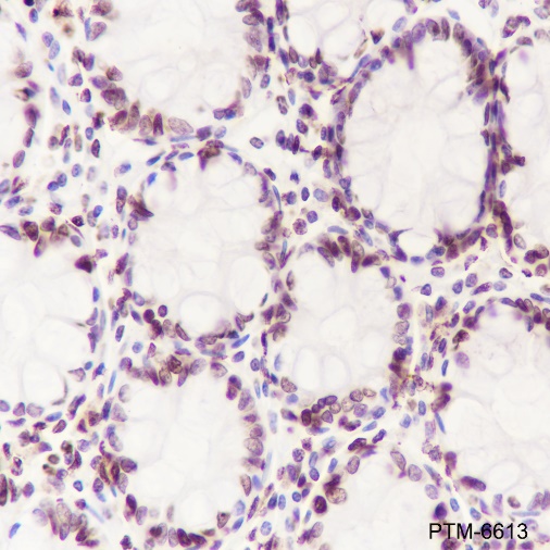
IHC-P

Tissue: Human colon
Section type: Formalin-fixed & Paraffin-embedded section
Retrieval method: High temperature and highpressure
Retrieval buffer: Tris/EDTA buffer, pH9.0
Primary Ab dilution: 1:100
Primary Ab incubation: 1 hour at room temperature
Secondary Ab: Anti-Rabbit and Mouse Polymer HRP (Ready to Use)
Counter stain: Hematoxylin (Blue)
Description: The brown color represents the positive signal observed with PTM-6613

Tissue: Mouse liver
Section type: Formalin-fixed & Paraffin-embedded section
Retrieval method: High temperature and highpressure
Retrieval buffer: Tris/EDTA buffer, pH9.0
Primary Ab dilution: 1:100
Primary Ab incubation: 1 hour at room temperature
Secondary Ab: Anti-Rabbit and Mouse Polymer HRP (Ready to Use)
Counter stain: Hematoxylin (Blue)
Description: The brown color represents the positive signal observed with PTM-6613

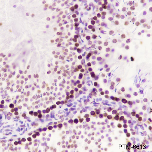
Tissue: Rat testis
Section type: Formalin-fixed & Paraffin-embedded section
Retrieval method: High temperature and highpressure
Retrieval buffer: Tris/EDTA buffer, pH9.0
Primary Ab dilution: 1:100
Primary Ab incubation: 1 hour at room temperature
Secondary Ab: Anti-Rabbit and Mouse Polymer HRP (Ready to Use)
Counter stain: Hematoxylin (Blue)
Description: The brown color represents the positive signal observed with PTM-6613

Research Use

For research use only, not for use in diagnostic procedures.

Recommended Products
  • View More Images(9)
    $ 125
    Recombinant Rabbit Monoclonal
    Anti-Histone H3 Rabbit mAb
    Catalog #
    PTM-1002RM
    Host
    Rabbit
    Clonality
    Recombinant Monoclonal
    Conjugate
    Unconjugated
    Reactivity
    Human, Mouse, Rat, Rice
    Applications:
    WB IHC-P ICC/IF FC IAP IP ChIP mIHC-P CUT&Tag
  • View More Images(7)
    $ 125
    Recombinant Rabbit Monoclonal
    Anti-Histone H3 Rabbit mAb
    Catalog #
    PTM-1001RM
    Host
    Rabbit
    Clonality
    Recombinant Monoclonal
    Conjugate
    Unconjugated
    Reactivity
    Human, Mouse, Rat
    Applications:
    WB IHC-P ICC/IF FC IAP IP ChIP mIHC-P CUT&Tag
  • View More Images(4)
    $ 280
    Anti-Histone H3 Rabbit pAb
    Catalog #
    PTM-1002
    Host
    Rabbit
    Clonality
    Polyclonal
    Conjugate
    Unconjugated
    Reactivity
    Human, Mouse, Rat, Monkey
    Applications:
    WB IHC-P ICC/IF FC IAP IP ChIP mIHC-P CUT&Tag
  • View More Images(6)
    $ 125
    Recombinant Rabbit Monoclonal
    Anti-Histone H3 Rabbit mAb
    Catalog #
    PTM-6600
    Host
    Rabbit
    Clonality
    Recombinant Monoclonal
    Conjugate
    Unconjugated
    Reactivity
    Human, Mouse, Rat
    Applications:
    WB IHC-P ICC/IF FC IAP IP ChIP mIHC-P CUT&Tag
  • View More Images(3)
    $ 435
    Anti-β-Hydroxybutyryl-Histone H3 (Lys4) Rabbit pAb
    Catalog #
    PTM-1258
    Host
    Rabbit
    Clonality
    Polyclonal
    Conjugate
    Unconjugated
    Reactivity
    Human, Mouse, Rat
    Applications:
    WB IHC-P ICC/IF FC IAP IP ChIP mIHC-P CUT&Tag
  • View More Images(5)
    $ 340
    Anti-Acetyl-Histone H3 (Lys18) Mouse mAb
    Catalog #
    PTM-158
    Host
    Mouse
    Clonality
    Monoclonal
    Conjugate
    Unconjugated
    Reactivity
    Human, Mouse, Rat
    Applications:
    WB IHC-P ICC/IF FC IAP IP ChIP mIHC-P CUT&Tag
  • View More Images(9)
    $ 350
    Recombinant Rabbit Monoclonal
    Anti-Acetyl-Histone H3 (Lys122) Rabbit mAb
    Catalog #
    PTM-184RM
    Host
    Rabbit
    Clonality
    Recombinant Monoclonal
    Conjugate
    Unconjugated
    Reactivity
    Human, Mouse, Rat
    Applications:
    WB IHC-P ICC/IF FC IAP IP ChIP mIHC-P CUT&Tag
  • View More Images(5)
    $ 435
    Anti-Propionyl-Histone H3 (Lys23) Rabbit pAb
    Catalog #
    PTM-205
    Host
    Rabbit
    Clonality
    Polyclonal
    Conjugate
    Unconjugated
    Reactivity
    Human, Mouse, Rat
    Applications:
    WB IHC-P ICC/IF FC IAP IP ChIP mIHC-P CUT&Tag
  • View More Images(4)
    $ 435
    Anti-Butyryl-Histone H3 (Lys9) Rabbit pAb
    Catalog #
    PTM-305
    Host
    Rabbit
    Clonality
    Polyclonal
    Conjugate
    Unconjugated
    Reactivity
    Human, Mouse, Rat
    Applications:
    WB IHC-P ICC/IF FC IAP IP ChIP mIHC-P CUT&Tag
  • View More Images(3)
    $ 420
    Anti-Succinyl-Histone H3 (Lys79) Rabbit pAb
    Catalog #
    PTM-412
    Host
    Rabbit
    Clonality
    Polyclonal
    Conjugate
    Unconjugated
    Reactivity
    Human, Mouse, Rat
    Applications:
    WB IHC-P ICC/IF FC IAP IP ChIP mIHC-P CUT&Tag
  • View More Images(3)
    $ 435
    Anti-Succinyl-Histone H3 (Lys14) Mouse mAb
    Catalog #
    PTM-421
    Host
    Mouse
    Clonality
    Monoclonal
    Conjugate
    Unconjugated
    Reactivity
    Human, Mouse, Rat
    Applications:
    WB IHC-P ICC/IF FC IAP IP ChIP mIHC-P CUT&Tag
  • View More Images(4)
    $ 435
    Anti-Succinyl-Histone H3 (Lys23) Mouse mAb
    Catalog #
    PTM-422
    Host
    Mouse
    Clonality
    Monoclonal
    Conjugate
    Unconjugated
    Reactivity
    Human, Mouse, Rat
    Applications:
    WB IHC-P ICC/IF FC IAP IP ChIP mIHC-P CUT&Tag
References (11)
  • Jaceosidin Attenuates Sepsis-Induced Myocardial Dysfunction by Promoting SIRT2-Mediated Inhibition of Histone H3K18 Lactylation
    Year 2026
    Journal Pharmaceuticals
    Authors Huiming Yu, et al.
    Applications Unspecified
    Reactivity
  • Gastrodin regulates H3K14la through the CDT2-KAT2A axis to treat Sepsis-induced myocardial dysfunction
    Year 2025
    Journal INTERNATIONAL IMMUNOPHARMACOLOGY
    Authors Huiming Yu, et al.
    Applications Unspecified
    Reactivity
  • IGFBP5 promotes EndoMT and renal fibrosis through H3K18 lactylation in diabetic nephropathy
    Year 2025
    Journal CELLULAR AND MOLECULAR LIFE SCIENCES
    Authors Hu Xiaofang, et al.
    Applications WB
    Reactivity
  • Enhanced SIRT1-TFEB Interaction Promotes Lysosome Biogenesis and Autophagy by Reducing TFEB Acetylation: Revealing the Enterotoxicity Disparity of Deoxynivalenol and T-2 Toxin
    Year 2025
    Journal JOURNAL OF AGRICULTURAL AND FOOD CHEMISTRY
    Authors Qiang Xu, et al.
    Applications Unspecified
    Reactivity
  • Serotonin promotes lip sensory recovery after inferior alveolar nerve transection via histone serotonylation
    Year 2025
    Journal Journal of Dental Sciences
    Authors Suning Mao, et al.
    Applications WB
    Reactivity
  • Ectopic protein lysine methacrylation contributes to defects caused by loss of HIBCH or ECHS1
    Year 2025
    Journal Cell Reports
    Authors Yawen Li, et al.
    Applications Unspecified
    Reactivity
  • Loss of ZNF408 attenuates STING-mediated immune surveillance in breast carcinogenesis
    Year 2024
    Journal iScience
    Authors Xiao Cheng, et al.
    Applications Unspecified
    Reactivity
  • Activation of AMPK inhibits cervical cancer growth by hyperacetylation of H3K9 through PCAF
    Year 2024
    Journal Cell Communication and Signaling
    Authors Pan Botao, et al.
    Applications Unspecified
    Reactivity
  • Sodium Crotonate Alleviates Diabetic Kidney Disease Partially Via the Histone Crotonylation Pathway
    Year 2024
    Journal INFLAMMATION
    Authors He Yanqiu, et al.
    Applications Unspecified
    Reactivity
  • Salvianolic Acid B Alleviates Liver Injury by Regulating Lactate-Mediated Histone Lactylation in Macrophages
    Year 2024
    Journal MOLECULES
    Authors Shian Hu, et al.
    Applications Unspecified
    Reactivity
  • Identification of novel Mendelian disorders of the epigenetic machinery (MDEMs)-associated functional mutations and neurodevelopmental disorders
    Year 2023
    Journal QJM-AN INTERNATIONAL JOURNAL OF MEDICINE
    Authors Li S, et al.
    Applications Unspecified
    Reactivity