/ EN
Technical Support
| Contact Us
+1 312-802-6843
Technical Support
Contact Us
+1 312-802-6843
/ EN
Recover password
Professional Email
Verification Code
Send Code
Password
Recombinant Rabbit Monoclonal
Anti-Histone H3 Rabbit mAb
Catalog Number: PTM-1001RM
References (26)
$ 125

Clone Number: PAPTM-686-8

Host: Rabbit Clonality: Recombinant Monoclonal

Applications: WB IHC-P ICC/IF FC ChIP

Reactivity: Human, Mouse, Rat

Synonyms: Histone H3.1, Histone H3/a, H3C1, H3FA, HIST1H3A, Histone H3/b, Histone H3/c, Histone H3/d

Product Size
100μl
Quantity

Shipping: Ambient temperature

Order online or send purchase order to info@ptmbio.com

FAQ Technical Support Protocols

General Information
Isotype IgG
Conjugate Unconjugated
Synonyms Histone H3.1, Histone H3/a, H3C1, H3FA, HIST1H3A, Histone H3/b, Histone H3/c, Histone H3/d
UniProt ID

P68431

Immunogen Synthetic peptide corresponding to the N-terminus of human histone H3 protein
MW (kDa) 15
Specificity Anti-Histone H3 Rabbit mAb detects endogenous levels of total histone H3 protein. It does not cross-react with other histone or non-histone proteins.
Product Usage Information
Applications Dilution Recommended Species
WB 1:500 - 1:1000 Human, Mouse, Rat
IHC-P 1:100 - 1:500 Human, Mouse, Rat
ICC/IF 1:50 - 1:200 Human
FC 1:50 - 1:100 Human
ChIP 6 μg per 5x106 cells Human
Properties
Purity Protein A purified
Constituents PBS, Glycerol, BSA
Storage Store at -20°C. Avoid freeze/thaw cycles.
Stability Stable for 12 months from date of receipt/reconstitution.
Target Information

Background

Histones are a family of basic proteins that form the core of the nucleosome – the fundamental structural unit of chromatin.  In a single nucleosome, core histone proteins H2A, H2B, H3, and H4 form an octamer around which the DNA is tightly wrapped. Histone proteins not only serve to compact chromosomal DNA but also play vital roles in the dynamic and long-term regulation of genes by a wide variety of post-translational modifications (PTMs). These PTMs including acetylation, methylation, phosphorylation, and novel acylations directly affect the accessibility of chromatin to transcription factors and other epigenetic regulators, altering genome stability and gene transcription. Among the histone members, histone H3 is the most extensively modified and its amino-terminal tail structure has been shown to be especially critical for eukaryotic cells.

Cellular location

Nucleus

Images
WB

Lysates: 1: HeLa, 2: NIH-3T3, 3: BRL, 4: Rat kidney, 5: Mouse kidney, 6: Rat brain, 7: Mouse brain
Protein loading amount: 20 μg
Blocking buffer: 5% NFDM/TBST
Primary Ab dilution: 1:1000
Primary Ab incubation: 2 hours at room temperature
Secondary Ab: Goat Anti-Rabbit IgG H&L pAb (HRP Conjugate)
Exposure time: 30 seconds
Predicted band size: 15 kDa
Observed band size: 15 kDa

IHC-P

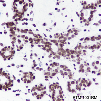
Tissue: Human prostate hyperplasia
Section type: Formalin-fixed & paraffin-embedded section
Retrieval method: High temperature and high pressure
Retrieval buffer: Tris/EDTA buffer, pH 9.0
Primary Ab dilution: 1: 500
Primary Ab incubation: 1 hour at room temperature
Secondary Ab: Anti-Rabbit and Mouse Polymer HRP (Ready to Use)
Counter strain: Hematoxylin (blue)
Description: The brown color represents the positive signal observed with PTM-1001RM.

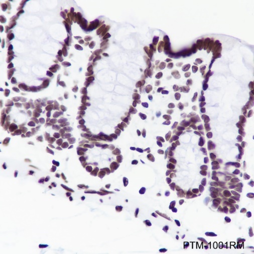
Tissue: Mouse colon
Section type: fixed & paraffin-embedded section
Retrieval method: High temperature and high pressure
Retrieval buffer: Tris/EDTA buffer, pH 9.0
Primary Ab dilution: 1: 500
Primary Ab incubation: 1 hour at room temperature
Secondary Ab: Anti-Rabbit and Mouse Polymer HRP (Ready to Use)
Counter strain: Hematoxylin (blue)
Description: The brown color represents the positive signal observed with PTM-1001RM.

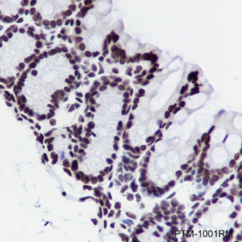
Tissue: Rat colon
Section type: fixed & paraffin-embedded section
Retrieval method: High temperature and high pressure
Retrieval buffer: Tris/EDTA buffer, pH 9.0
Primary Ab dilution: 1: 500
Primary Ab incubation: 1 hour at room temperature
Secondary Ab: Anti-Rabbit and Mouse Polymer HRP (Ready to Use)
Counter strain: Hematoxylin (blue)
Description: The brown color represents the positive signal observed with PTM-1001RM.

ICC/IF

Cell line: HeLa
Fixative: 100% Ice-cold methanol
Permeabilization: 0.1% Triton X-100
Primary Ab dilution: 1:200
Primary incubation condition: 4°C overnight
Secondary Ab: Goat Anti-Rabbit IgG
Nuclear counter stain: DAPI (blue)
Counter stain: Tubulin(red)
Description: The green color represents the positive signal observed with PTM-1001RM.

FC

Cell line: HeLa
Fixative: 4% Paraformaldehyde
Permeabilization: 90% methanol
Primary Ab dilution: 1:100
Secondary Ab: Goat Anti-Rabbit IgG
Unlabeled control: Cells without incubation with primary and secondary antibodies (black line).
Isotype control: Rabbit mAb IgG Isotype Control (blue line).
Description: Line red is the positive signal for PTM-1001RM.

ChIP

Cell type: HeLa
Cross-linking conditions: no cross-linking
Amount of chromatin per IP: 5×106 cells
Amount of Ab per IP: 6 μg
Beads type and amount per IP: 50 μL of Protein A MagBeads
Description: Chromatin immunoprecipitations were performed with 6 μg of normal rabbit IgG as a negative control. The immunoprecipitated DNA was quantified by real-time PCR using primers specific for the human GAPDH CDS, RPL30, LDHA promoter, LDHA, FOXO3a promoter, FOXO3a downstream, RAB20, and TUBBP10 regions. The data are presented as enrichment of each sample relative to the total amount of input chromatin at each amplicon.

Research Use

For research use only, not for use in diagnostic procedures.

Recommended Products
  • View More Images(4)
    $ 280
    Anti-Histone H3 Rabbit pAb
    Catalog #
    PTM-1002
    Host
    Rabbit
    Clonality
    Polyclonal
    Conjugate
    Unconjugated
    Reactivity
    Human, Mouse, Rat, Monkey
    Applications:
    WB IHC-P ICC/IF FC IAP IP ChIP mIHC-P CUT&Tag
  • View More Images(6)
    $ 125
    Recombinant Rabbit Monoclonal
    Anti-Histone H3 Rabbit mAb
    Catalog #
    PTM-6600
    Host
    Rabbit
    Clonality
    Recombinant Monoclonal
    Conjugate
    Unconjugated
    Reactivity
    Human, Mouse, Rat
    Applications:
    WB IHC-P ICC/IF FC IAP IP ChIP mIHC-P CUT&Tag
  • View More Images(9)
    $ 125
    Recombinant Rabbit Monoclonal
    Anti-Histone H3 Rabbit mAb
    Catalog #
    PTM-1002RM
    Host
    Rabbit
    Clonality
    Recombinant Monoclonal
    Conjugate
    Unconjugated
    Reactivity
    Human, Mouse, Rat, Rice
    Applications:
    WB IHC-P ICC/IF FC IAP IP ChIP mIHC-P CUT&Tag
  • View More Images(4)
    $ 125
    Recombinant Rabbit Monoclonal
    Anti-Histone H3 Rabbit mAb
    Catalog #
    PTM-6613
    Host
    Rabbit
    Clonality
    Recombinant Monoclonal
    Conjugate
    Unconjugated
    Reactivity
    Human, Mouse, Rat, Monkey
    Applications:
    WB IHC-P ICC/IF FC IAP IP ChIP mIHC-P CUT&Tag
  • View More Images(4)
    $ 135
    Goat Anti-Rabbit IgG H&L pAb (HRP Conjugate)
    Catalog #
    PTM-6261
    Host
    Goat
    Clonality
    Polyclonal
    Conjugate
    HRP
    Reactivity
    Rabbit
    Applications:
    WB IHC-P ICC/IF FC IAP IP ChIP mIHC-P CUT&Tag
  • View More Images(5)
    $ 125
    Recombinant Rabbit Monoclonal
    Rabbit mAb IgG Isotype Control
    Catalog #
    PTM-5073
    Host
    Rabbit
    Clonality
    Recombinant Monoclonal
    Conjugate
    Unconjugated
    Reactivity
    Human, Mouse, Rat
    Applications:
    WB IHC-P ICC/IF FC IAP IP ChIP mIHC-P CUT&Tag
  • View More Images(5)
    $ 125
    Recombinant Rabbit Monoclonal
    Rabbit mAb IgG Isotype Control
    Catalog #
    PTM-6628
    Host
    Rabbit
    Clonality
    Recombinant Monoclonal
    Conjugate
    Unconjugated
    Reactivity
    Human, Mouse
    Applications:
    WB IHC-P ICC/IF FC IAP IP ChIP mIHC-P CUT&Tag
  • View More Images(2)
    $ 285
    Recombinant Rabbit Monoclonal
    Anti-PCAF Rabbit mAb
    Catalog #
    PTM-5711
    Host
    Rabbit
    Clonality
    Recombinant Monoclonal
    Conjugate
    Unconjugated
    Reactivity
    Human
    Applications:
    WB IHC-P ICC/IF FC IAP IP ChIP mIHC-P CUT&Tag
  • View More Images(1)
    $ 285
    Recombinant
    Anti-GCN5 Mouse mAb
    Catalog #
    PTM-5115
    Host
    Mouse
    Clonality
    Recombinant Monoclonal
    Conjugate
    Unconjugated
    Reactivity
    Human, Mouse, Rat
    Applications:
    WB IHC-P ICC/IF FC IAP IP ChIP mIHC-P CUT&Tag
  • View More Images(2)
    $ 285
    Recombinant
    Anti-EHMT2 Mouse mAb
    Catalog #
    PTM-5327
    Host
    Mouse
    Clonality
    Recombinant Monoclonal
    Conjugate
    Unconjugated
    Reactivity
    Human
    Applications:
    WB IHC-P ICC/IF FC IAP IP ChIP mIHC-P CUT&Tag
  • View More Images(2)
    $ 290
    Recombinant Rabbit Monoclonal
    Anti-EHMT1 Rabbit mAb
    Catalog #
    PTM-6205
    Host
    Rabbit
    Clonality
    Recombinant Monoclonal
    Conjugate
    Unconjugated
    Reactivity
    Human
    Applications:
    WB IHC-P ICC/IF FC IAP IP ChIP mIHC-P CUT&Tag
  • View More Images(1)
    $ 285
    Recombinant Rabbit Monoclonal
    Anti-SUV39H1 Rabbit mAb
    Catalog #
    PTM-5948
    Host
    Rabbit
    Clonality
    Recombinant Monoclonal
    Conjugate
    Unconjugated
    Reactivity
    Human, Mouse
    Applications:
    WB IHC-P ICC/IF FC IAP IP ChIP mIHC-P CUT&Tag
  • View More Images(3)
    $ 290
    Recombinant Rabbit Monoclonal
    Anti-SUV39H2 Rabbit mAb
    Catalog #
    PTM-6552
    Host
    Rabbit
    Clonality
    Recombinant Monoclonal
    Conjugate
    Unconjugated
    Reactivity
    Human, Mouse, Rat
    Applications:
    WB IHC-P ICC/IF FC IAP IP ChIP mIHC-P CUT&Tag
  • View More Images(1)
    $ 285
    Recombinant
    Anti-SETDB1 Mouse mAb
    Catalog #
    PTM-5333
    Host
    Mouse
    Clonality
    Recombinant Monoclonal
    Conjugate
    Unconjugated
    Reactivity
    Human, Mouse, Rat, Monkey
    Applications:
    WB IHC-P ICC/IF FC IAP IP ChIP mIHC-P CUT&Tag
  • View More Images(1)
    $ 320
    Anti-Histone H3.3 (Mutated K36M) Rabbit pAb
    Catalog #
    PTM-1014
    Host
    Rabbit
    Clonality
    Polyclonal
    Conjugate
    Unconjugated
    Reactivity
    Human
    Applications:
    WB IHC-P ICC/IF FC IAP IP ChIP mIHC-P CUT&Tag
  • View More Images(11)
    $ 320
    Recombinant Rabbit Monoclonal
    Anti-Acetyl-Histone H3 (Lys9) Rabbit mAb
    Catalog #
    PTM-112RM
    Host
    Rabbit
    Clonality
    Recombinant Monoclonal
    Conjugate
    Unconjugated
    Reactivity
    Human, Mouse, Rat
    Applications:
    WB IHC-P ICC/IF FC IAP IP ChIP mIHC-P CUT&Tag
  • View More Images(4)
    $ 320
    Recombinant
    Anti-Phospho-Histone H3 (Ser10) Mouse mAb
    Catalog #
    PTM-757
    Host
    Mouse
    Clonality
    Recombinant Monoclonal
    Conjugate
    Unconjugated
    Reactivity
    Human, Mouse, Rat
    Applications:
    WB IHC-P ICC/IF FC IAP IP ChIP mIHC-P CUT&Tag
  • View More Images(4)
    $ 335
    Recombinant
    Anti-Trimethyl-Histone H3 (Lys27) Mouse mAb
    Catalog #
    PTM-5002
    Host
    Mouse
    Clonality
    Recombinant Monoclonal
    Conjugate
    Unconjugated
    Reactivity
    Human, Mouse, Rat
    Applications:
    WB IHC-P ICC/IF FC IAP IP ChIP mIHC-P CUT&Tag
  • View More Images(4)
    $ 330
    Anti-Trimethyl-Histone H3 (Lys4) Rabbit pAb
    Catalog #
    PTM-613
    Host
    Rabbit
    Clonality
    Polyclonal
    Conjugate
    Unconjugated
    Reactivity
    Human, Mouse, Rat, Monkey
    Applications:
    WB IHC-P ICC/IF FC IAP IP ChIP mIHC-P CUT&Tag
  • View More Images(5)
    $ 420
    Recombinant Rabbit Monoclonal
    Anti-L-Lactyl-Histone H3 (Lys14) Rabbit mAb
    Catalog #
    PTM-1414RM
    Host
    Rabbit
    Clonality
    Recombinant Monoclonal
    Conjugate
    Unconjugated
    Reactivity
    Human, Mouse, Rat
    Applications:
    WB IHC-P ICC/IF FC IAP IP ChIP mIHC-P CUT&Tag
  • View More Images(3)
    $ 420
    Anti-β-Hydroxybutyryl-Histone H3 (Lys27) Mouse mAb
    Catalog #
    PTM-1293
    Host
    Mouse
    Clonality
    Monoclonal
    Conjugate
    Unconjugated
    Reactivity
    Human, Mouse, Rat
    Applications:
    WB IHC-P ICC/IF FC IAP IP ChIP mIHC-P CUT&Tag
  • View More Images(7)
    $ 445
    Anti-Crotonyl-Histone H3 (Lys18) Rabbit pAb
    Catalog #
    PTM-517
    Host
    Rabbit
    Clonality
    Polyclonal
    Conjugate
    Unconjugated
    Reactivity
    Human, Mouse, Rat
    Applications:
    WB IHC-P ICC/IF FC IAP IP ChIP mIHC-P CUT&Tag
References (26)
  • Saikosaponin D Inhibits Gastric Cancer Progression by targeting PKM2-Mediated Glycolysis and Histone Lactylation
    Year 2026
    Journal PHYTOMEDICINE
    Authors Weijia Wang, et al.
    Applications Unspecified
    Reactivity
  • Histone H4K8 lactylation promotes glioblastoma progression by inducing NUPR1-mediated autophagosome‒lysosome fusion
    Year 2026
    Journal Theranostics
    Authors Jiangli Zhao, et al.
    Applications Unspecified
    Reactivity
  • Microvascular endothelial metabolic dysfunction drives cerebral edema through bioenergetic failure after ischemia-reperfusion
    Year 2026
    Journal Theranostics
    Authors Yi-Fan Zhou, et al.
    Applications WB
    Reactivity
  • A novel integrative machine learning-based prognostic model reveals lactylation regulation in hepatocellular carcinoma progression
    Year 2026
    Journal Cancer Cell
    Authors Yihang Song, et al.
    Applications WB
    Reactivity
  • Histone delactylation shapes epigenetic landscapes and therapeutic stratification in hepatocellular carcinoma
    Year 2026
    Journal Iliver
    Authors Zijie Wu, et al.
    Applications WB
    Reactivity
  • Hexokinase 2-mediated histone H3K18la promotes PAI-1-dependent thrombosis in acute myeloid leukemia via tumor-endothelial crosstalk
    Year 2025
    Journal Nature Communications
    Authors Bai Qin, et al.
    Applications Unspecified
    Reactivity
  • H3K18 lactylation potentiates microglial polarization via the TLR4 pathway in diabetes-induced cognitive impairment
    Year 2025
    Journal JCI Insight
    Authors Ying Yang, et al.
    Applications Unspecified
    Reactivity
  • TRPM7 Deficiency Accelerates Vascular Senescence by Inhibiting H3K18 Lactylation
    Year 2025
    Journal AGING CELL
    Authors Yue Wang, et al.
    Applications Unspecified
    Reactivity
  • Royal jelly acid inhibits NF-κB signaling by regulating H3 histone lactylation to alleviate IgE-mediated mast cell activation and allergic inflammation
    Year 2025
    Journal PHYTOMEDICINE
    Authors Xue-Ting Xu, et al.
    Applications Unspecified
    Reactivity
  • Lumpy skin disease virus 001/156 protein is a virulence factor that suppresses interferon production through impairing IRF3 dimerization
    Year 2025
    Journal PLoS Pathogens
    Authors Minmin Zhang, et al.
    Applications Unspecified
    Reactivity
  • Histone Readers in Sorghum: Identification, Evolution, and Characterization
    Year 2025
    Journal PLANT MOLECULAR BIOLOGY REPORTER
    Authors Meng Fei, et al.
    Applications Unspecified
    Reactivity
  • Lactate regulates cell differentiation of erythroid progenitor cells via histone lactylation modification
    Year 2025
    Journal iScience
    Authors Qianqian Yang, et al.
    Applications Unspecified
    Reactivity
  • Histone lactylation-induced premature senescence contributes to 1-nitropyrene-Induced chronic obstructive pulmonary disease
    Year 2025
    Journal Redox Biology
    Authors Rong-Rong Wang, et al.
    Applications Unspecified
    Reactivity
  • Global Analysis of the Lysine Acetylome in Macrophages from Salt-sensitive Hypertensive Rats
    Year 2025
    Journal APPLIED BIOCHEMISTRY AND BIOTECHNOLOGY
    Authors Xie Di, et al.
    Applications Unspecified
    Reactivity
  • Wogonoside ameliorates oxidative damage in tubular epithelial cells of diabetic nephropathy by modulating the HNF4A-NRF2 axis
    Year 2025
    Journal INTERNATIONAL IMMUNOPHARMACOLOGY
    Authors Xiandeng Li, et al.
    Applications Unspecified
    Reactivity
  • FMNL2/SRC-mediated androgen receptor translocation into the nucleus promotes enzalutamide resistance of prostate cancer
    Year 2025
    Journal iScience
    Authors Jianpeng Yu, et al.
    Applications Unspecified
    Reactivity
  • H3K18 lactylation-mediated SIX1 upregulation contributes to silica-induced epithelial-mesenchymal transition (EMT) of airway epithelial cells
    Year 2025
    Journal TOXICOLOGY
    Authors Songtao Liu, et al.
    Applications Unspecified
    Reactivity
  • L-Arginine mitigates high glucose-induced podocyte injury via NRF2 pathway activation
    Year 2025
    Journal PharmaNutrition
    Authors Xiandeng Li, et al.
    Applications Unspecified
    Reactivity
  • Targeting the NF-κB p65-MMP28 axis: Wogonoside as a novel therapeutic agent for attenuating podocyte injury in diabetic nephropathy
    Year 2025
    Journal PHYTOMEDICINE
    Authors Xiandeng Li, et al.
    Applications Unspecified
    Reactivity
  • Single-cell RNA sequencing identifies endothelial-derived HBEGF as promoting pancreatic beta cell proliferation in mice via the EGFR–Kmt5a–H4K20me pathway
    Year 2024
    Journal DIABETOLOGIA
    Authors Lai Fengling, et al.
    Applications Unspecified
    Reactivity
  • Lactylation of histone by BRD4 regulates astrocyte polarization after experimental subarachnoid hemorrhage
    Year 2024
    Journal Journal of Neuroinflammation
    Authors Zhang Fan, et al.
    Applications WB
    Reactivity
  • Amphiregulin Orchestrates the Paracrine Immune-Suppressive Function of Amniotic-Derived Cells Through its Interplay with COX-2/PGE2/EP4 Axis
    Year 2024
    Journal iScience
    Authors Giuseppe Prencipe, et al.
    Applications Unspecified
    Reactivity
  • Erchen Decoction alleviates obesity-related hepatic steatosis via modulating gut microbiota-drived butyric acid contents and promoting fatty acid β-oxidation
    Year 2023
    Journal JOURNAL OF ETHNOPHARMACOLOGY
    Authors Ling Zhang, et al.
    Applications Unspecified
    Reactivity
  • Regulation of epithelial cell differentiation by the Ubiquitous expressed transcript isoform 1 in ulcerative colitis
    Year 2023
    Journal JOURNAL OF GASTROENTEROLOGY AND HEPATOLOGY
    Authors Wu Peng, et al.
    Applications Unspecified
    Reactivity
  • Histone deacetylase SirE regulates development, DNA damage response and aflatoxin production in Aspergillus flavus
    Year 2022
    Journal ENVIRONMENTAL MICROBIOLOGY
    Authors Meifang Wen, et al.
    Applications Unspecified
    Reactivity
  • LncRNA TMEM220-AS1 suppresses hepatocellular carcinoma cell proliferation and invasion by regulating the TMEM220/β-catenin axis
    Year 2021
    Journal Journal of Cancer
    Authors Yang Liu, et al.
    Applications Unspecified
    Reactivity