/ EN
Technical Support
| Contact Us
+1 312-802-6843
Technical Support
Contact Us
+1 312-802-6843
/ EN
Recover password
Professional Email
Verification Code
Send Code
Password
Recombinant Rabbit Monoclonal
Anti-Histone H2A.Z Rabbit mAb
Catalog Number: PTM-7034
$ 280

Clone Number: JMMR-3031

Host: Rabbit Clonality: Recombinant Monoclonal

Applications: WB IHC-P ICC/IF

Reactivity: Human, Mouse, Rat

Synonyms: H2A/z, H2AZ1, H2AFZ, H2AZ

Product Size
100 μl
Quantity

Shipping: Ambient temperature

Order online or send purchase order to info@ptmbio.com

FAQ Technical Support Protocols

General Information
Isotype IgG
Conjugate Unconjugated
Synonyms H2A/z, H2AZ1, H2AFZ, H2AZ
UniProt ID

P0C0S5

Immunogen Synthetic peptide derived from human histone H2A.Z
MW (kDa) 13
Specificity
Product Usage Information
Applications Dilution Recommended Species
WB 1:1000 Human
IHC-P 1:500 - 1:1000 Mouse, Rat
ICC/IF 1:50 Human
Properties
Purity Protein A purified
Constituents PBS, Glycerol, BSA
Storage Store at -20°C. Avoid freeze/thaw cycles.
Stability Stable for 12 months from date of receipt/reconstitution.
Target Information

Background

H2A.Z is a variant histone H2A which replaces conventional H2A in a subset of nucleosomes. Nucleosomes wrap and compact DNA into chromatin, limiting DNA accessibility to the cellular machineries which require DNA as a template. Histones thereby play a central role in transcription regulation, DNA repair, DNA replication and chromosomal stability. DNA accessibility is regulated via a complex set of post-translational modifications of histones, also called histone code, and nucleosome remodeling. H2A.Z may be involved in the formation of constitutive heterochromatin. H2A.Z may be required for chromosome segregation during cell division.

Cellular location

Cytosol, Synapse, Nucleoplasm

Images
WB

Blocking buffer: 5% NFDM/TBST
Primary Ab dilution: 1:1000
Primary Ab incubation: 2 hours at room temperature
Secondary Ab: Goat Anti-Rabbit IgGH&L (HRP Conjugate)
Lysate: 1: A431, 2: HeLa
Protein loading quantity: 20 μg
Exposure time: 60 seconds
Predicted band size: 34 kDa
Observed band size: 13 kDa

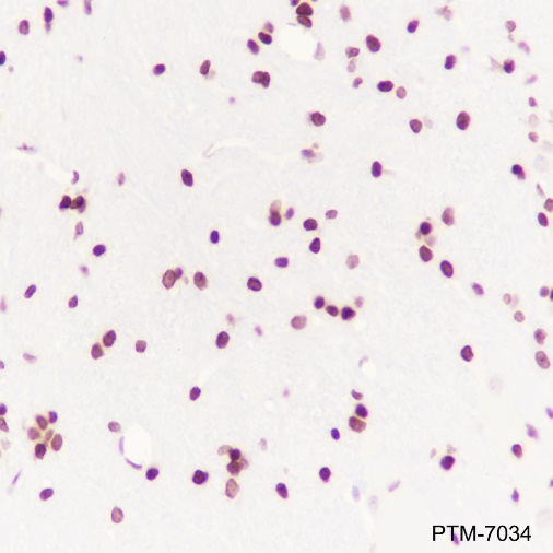
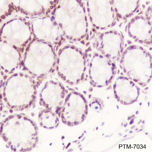
IHC-P

Tissue: Mouse colon
Section type: Formalin-fixed & Paraffin-embedded section
Retrieval method: High temperature and high pressure
Retrieval buffer: Tris/EDTA buffer, pH9.0
Primary Ab dilution: 1:1000
Primary Ab incubation: 1 hour at room temperature
Secondary Ab: Anti-Rabbit and Mouse Polymer HRP (Ready to Use)
Counter stain: Hematoxylin (Blue)
Description: The brown color represents the positive signal observed with PTM-7034

Tissue: Rat cerebrum
Section type: Formalin-fixed & Paraffin-embedded section
Retrieval method: High temperature and high pressure
Retrieval buffer: Tris/EDTA buffer, pH9.0
Primary Ab dilution: 1:1000
Primary Ab incubation: 1 hour at room temperature
Secondary Ab: Anti-Rabbit and Mouse Polymer HRP (Ready to Use)
Counter stain: Hematoxylin (Blue)
Description: The brown color represents the positive signal observed with PTM-7034

ICC/IF

Cell line: HeLa
Fixative: 4% Paraformaldehyde
Permeabilization: 0.1% TritonX-100
Primary Ab dilution: 1:50
Primary Ab incubation: 4°C overnight
Secondary Ab: Goat Anti-Rabbit IgG
Nuclear counter stain: DAPI (Blue)
Counter stain: Tubulin (Red)
Description: The green color represents the positive signal observed with PTM-7034

Research Use

For research use only, not for use in diagnostic procedures.

Recommended Products
  • View More Images(2)
    $ 260
    Anti-Histone H2A.X Mouse mAb
    Catalog #
    PTM-1005
    Host
    Mouse
    Clonality
    Monoclonal
    Conjugate
    Unconjugated
    Reactivity
    Human, Mouse, Rat
    Applications:
    WB IHC-P ICC/IF FC IAP IP ChIP mIHC-P CUT&Tag
  • View More Images(3)
    $ 270
    Anti-Histone H2A Rabbit pAb
    Catalog #
    PTM-1008
    Host
    Rabbit
    Clonality
    Polyclonal
    Conjugate
    Unconjugated
    Reactivity
    Human, Mouse, Rat, Monkey
    Applications:
    WB IHC-P ICC/IF FC IAP IP ChIP mIHC-P CUT&Tag
  • View More Images(6)
    $ 435
    Recombinant Rabbit Monoclonal
    Anti-L-Lactyl-Histone H2A.Z (Lys11) Rabbit mAb
    Catalog #
    PTM-1422RM
    Host
    Rabbit
    Clonality
    Recombinant Monoclonal
    Conjugate
    Unconjugated
    Reactivity
    Human, Mouse, Rat
    Applications:
    WB IHC-P ICC/IF FC IAP IP ChIP mIHC-P CUT&Tag
  • View More Images(7)
    $ 125
    Recombinant Rabbit Monoclonal
    Anti-Histone H3 Rabbit mAb
    Catalog #
    PTM-1001RM
    Host
    Rabbit
    Clonality
    Recombinant Monoclonal
    Conjugate
    Unconjugated
    Reactivity
    Human, Mouse, Rat
    Applications:
    WB IHC-P ICC/IF FC IAP IP ChIP mIHC-P CUT&Tag
  • View More Images(7)
    $ 250
    Recombinant Rabbit Monoclonal
    Anti-Histone H2B Rabbit mAb
    Catalog #
    PTM-1007RM
    Host
    Rabbit
    Clonality
    Recombinant Monoclonal
    Conjugate
    Unconjugated
    Reactivity
    Human, Mouse, Rat
    Applications:
    WB IHC-P ICC/IF FC IAP IP ChIP mIHC-P CUT&Tag
  • View More Images(7)
    $ 270
    Recombinant Rabbit Monoclonal
    Anti-Histone H4 Rabbit mAb
    Catalog #
    PTM-1015RM
    Host
    Rabbit
    Clonality
    Recombinant Monoclonal
    Conjugate
    Unconjugated
    Reactivity
    Human, Mouse, Rat, Monkey, Pig, S.cerevisiae
    Applications:
    WB IHC-P ICC/IF FC IAP IP ChIP mIHC-P CUT&Tag
  • View More Images(5)
    $ 285
    Recombinant Rabbit Monoclonal
    Anti-Histone H1 Rabbit mAb
    Catalog #
    PTM-6054
    Host
    Rabbit
    Clonality
    Recombinant Monoclonal
    Conjugate
    Unconjugated
    Reactivity
    Human
    Applications:
    WB IHC-P ICC/IF FC IAP IP ChIP mIHC-P CUT&Tag