/ EN
Technical Support
| Contact Us
+1 312-802-6843
Technical Support
Contact Us
+1 312-802-6843
/ EN
Recover password
Professional Email
Verification Code
Send Code
Password
Recombinant Rabbit Monoclonal
Anti-HDAC6 Rabbit mAb
Catalog Number: PTM-6323
$ 300

Clone Number: JRMR-10770-54

Host: Rabbit Clonality: Recombinant Monoclonal

Applications: WB IHC-P

Reactivity: Human, Mouse

Synonyms: Protein deacetylase HDAC6, Tubulin-lysine deacetylase HDAC6, mHDA2, Hdac6

Product Size
100 μl
Quantity

Shipping: Ambient temperature

Order online or send purchase order to info@ptmbio.com

FAQ Technical Support Protocols

General Information
Isotype IgG
Conjugate Unconjugated
Synonyms Protein deacetylase HDAC6, Tubulin-lysine deacetylase HDAC6, mHDA2, Hdac6
UniProt ID

Q9Z2V5

Immunogen Synthetic peptide derived from mouse protein deacetylase HDAC6
MW (kDa) 126
Specificity
Product Usage Information
Applications Dilution Recommended Species
WB 1:1000 - 1:5000 Human
IHC-P 1:200 - 1:1000 Human, Mouse
Properties
Purity Protein A purified
Constituents PBS, Glycerol, BSA
Storage Store at -20°C. Avoid freeze/thaw cycles.
Stability Stable for 12 months from date of receipt/reconstitution.
Target Information

Background

The protein encoded by this gene belongs to class II of the histone deacetylase/acuc/apha family. It contains an internal duplication of two catalytic domains which appear to function independently of each other. This protein possesses histone deacetylase activity and represses transcription. Diseases associated with HDAC6 include Chondrodysplasia with Platyspondyly, Distinctive Brachydactyly, Hydrocephaly, And Microphthalmia and Brachydactyly. Among its related pathways are CREB Pathway and Signaling by NOTCH1. Gene Ontology (GO) annotations related to this gene include enzyme binding and ubiquitin protein ligase binding.

Cellular location

Cytoplasm, Cytoskeleton and Cell nucleus

Images
WB

Blocking buffer: 5% NFDM/TBST
Primary Ab dilution: 1:5000
Primary Ab incubation: 2 hours at room temperature
Secondary Ab: Goat Anti-Rabbit IgG H&L pAb (HRP Conjugate)
Lysate: 1: K562, 2: HCT-116
Protein loading quantity: 20 μg
Exposure time: 60 s
Predicted band size: 126 kDa
Observed band size: 160 kDa

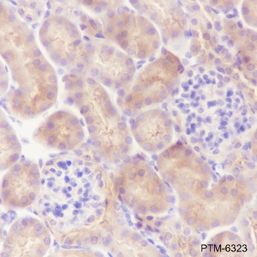
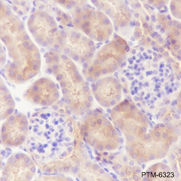
IHC-P

Tissue: Human kidney
Section type: Formalin-fixed & Paraffin_x0002_embedded section
Retrieval method: High temperature and high pressure
Retrieval buffer: Tris/EDTA buffer, pH 9.0
Primary Ab dilution: 1:1000
Primary Ab incubation: 1 hour at room temperature
Secondary Ab: Anti-Rabbit and Mouse Polymer HRP (Ready to Use)
Counter stain: Hematoxylin (Blue)
Description: The brown color represents the positive signal observed with PTM-6323

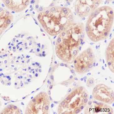
Tissue: Mouse kidney
Section type: Formalin-fixed & Paraffinembedded section
Retrieval method: High temperature and high pressure
Retrieval buffer: Tris/EDTA buffer, pH 9.0
Primary Ab dilution: 1:1000
Primary Ab incubation: 1 hour at room temperature
Secondary Ab: Anti-Rabbit and Mouse Polymer HRP (Ready to Use)
Counter stain: Hematoxylin (Blue)
Description: The brown color represents the positive signal observed with PTM-6323

Research Use

For research use only, not for use in diagnostic procedures.

Recommended Products
  • View More Images(3)
    $ 280
    Recombinant Rabbit Monoclonal
    Anti-HDAC6 Rabbit mAb
    Catalog #
    PTM-6669
    Host
    Rabbit
    Clonality
    Monoclonal
    Conjugate
    Unconjugated
    Reactivity
    Human, Africangreenmonkey
    Applications:
    WB IHC-P ICC/IF FC IAP IP ChIP mIHC-P CUT&Tag
  • View More Images(1)
    $ 290
    Recombinant
    Anti-HDAC6 Mouse mAb
    Catalog #
    PTM-7412
    Host
    Mouse
    Clonality
    Recombinant Monoclonal
    Conjugate
    Unconjugated
    Reactivity
    Human
    Applications:
    WB IHC-P ICC/IF FC IAP IP ChIP mIHC-P CUT&Tag