/ EN
Technical Support
| Contact Us
+1 312-802-6843
Technical Support
Contact Us
+1 312-802-6843
/ EN
Recover password
Professional Email
Verification Code
Send Code
Password
Anti-Dimethyl-Histone H3 (Lys79) Mouse mAb
Catalog Number: PTM-658
$ 345

Clone Number: /

Host: Mouse Clonality: Monoclonal

Applications: WB IHC-P ICC/IF IP

Reactivity: Human, Mouse, Rat, Monkey

Synonyms: H3K79me2

Product Size
100 μl
Quantity

Shipping: Ambient temperature

Order online or send purchase order to info@ptmbio.com

FAQ Technical Support Protocols

General Information
Isotype IgG
Conjugate Unconjugated
Synonyms H3K79me2
UniProt ID

P68431

Immunogen Dimethylated human histone H3 (Lys79) peptide
MW (kDa) 15
Specificity
Product Usage Information
Applications Dilution Recommended Species
WB 1:500 - 1:2000 Human, Mouse, Rat, Monkey
IHC-P 1:50 - 1:200 Human
CHIP 1:50 - 1:200 Human
IP 1:25 - 1:100 Mouse
Properties
Purity Protein G and immunogen affinity purified
Constituents PBS, Glycerol, BSA
Storage Store at -20°C. Avoid freeze/thaw cycles.
Stability Stable for 12 months from date of receipt/reconstitution.
Target Information

Background

Histone post-translational modifications (PTMs) are key mechanisms of epigenetics that modulate chromatin structures, termed as “histone code”. The PTMs on histone including acetylation, methylation, phosphorylation and novel acylations directly affect the accessibility of chromatin to transcription factors and other epigenetic regulators, altering genome stability, gene transcription, etc. Histone methylation occurs primarily at lysine and arginine residues on the amino terminal of core histones. Methylation of histones can either increase or decrease transcription of genes, depending on which amino acids (Lys or Arg) in the histones are methylated and how many methyl groups are attached (mono-, di-, Trimethylation on Lys, mono-di-symmetric/asymmetric methylation on Arg). Mostly, lysine methylation occurs primarily on histone H3 Lys4, 9, 27, 36, 79 and H4 Lys20, while Arginine methylation occurs primarily on histone H3 Arg2, 8, 17, 26 and H4 Arg3. histone methyltransferases (HMTs) and histone demethylases (HDMs) are major regulating factors.

Cellular location

Nucleus

Images
Dot Blot

Blocking buffer: 5% NFDM/TBST
Primary Ab dilution: 1:1000
Primary Ab incubation: 2 hours at room temperature
Secondary Ab: Goat Anti-Mouse IgG H&L pAb (HRP Conjugate)
Immunogen peptide quantity: 1 ng, 4 ng, 16 ng
Exposure time: 60 s
The list of peptides is included in the table below.

WB

Blocking buffer: 5% NFDM/TBST
Primary Ab dilution: 1:2000
Primary Ab incubation: 2 hours at room temperature
Secondary Ab: Goat Anti-Mouse IgG H&L pAb (HRP Conjugate)
Lysate: HeLa, C2C12, COS
Protein loading quantity: 20 μg
Exposure time: 60 s
Predicted band size: 17 kDa
Observed band size: 17 kDa

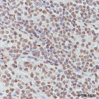
IHC-P

Tissue: Human neuroblastoma
Section type: Formalin fixed & Paraffin -embedded section
Retrieval method: High temperature and high pressure
Retrieval buffer: Tris/EDTA buffer, pH 9.0
Primary Ab dilution: 1:200
Primary Ab incubation: 1 hour at room temperature
Secondary Ab: Anti-Rabbit and Mouse Polymer HRP (Ready to Use)
Counter stain: Hematoxylin (Blue)
Description: The brown color represents the positive signal observed with PTM-658

ICC/IF

Cell line: HeLa
Fixative: 4% Paraformaldehyde
Permeabilization: 0.1% TritonX-100
Primary Ab dilution: 1:200
Primary incubation condition: 4°C overnight
Secondary Ab: Goat Anti-Mouse IgG
Nuclear counter stain: DAPI (Blue)
Description: The green color represents the positive signal observed with PTM-658

IP

IP of Mouse liver cells extracts
IP Ab incubation: PTM-658, 4°C overnight, 1:25, 1:100 dilution
WB Primary Ab incubation: PTM_x0002_629, room temperature 2h, 1:1000 dilution
Secondary Ab: Anti-Mouse IgG for IP (HRP Conjugate)
Blocking buffer and concentration: 5% NFDM/TBST
Diluting buffer and concentration: 5% NFDM/TBST
Lane 1: 5% Input
Lane 2: IP with PTM-658 (1:25)
Lane 3: IP with PTM-658 (1:100)
Observed band size: 17 kDa
Exposure time: 60 s

IP of Mouse liver cells extracts
IP Ab incubation: PTM-658, 4°C overnight, 1:25, 1:100 dilution
WB Primary Ab incubation: PTM658, room temperature 2h, 1:1000 dilution
Secondary Ab: Anti-Mouse IgG for IP (HRP Conjugate)
Blocking buffer and concentration: 5% NFDM/TBST
Diluting buffer and concentration: 5% NFDM/TBST
Lane 1: 5% Input
Lane 2: IP with PTM-658 (1:25)
Lane 3: IP with PTM-658 (1:100)
Observed band size: 17 kDa
Exposure time: 60 s

Research Use

For research use only, not for use in diagnostic procedures.

Recommended Products
  • View More Images(6)
    $ 335
    Recombinant
    Anti-Dimethyl-Histone H3 (Lys79) Mouse mAb
    Catalog #
    PTM-5159
    Host
    Mouse
    Clonality
    Recombinant Monoclonal
    Conjugate
    Unconjugated
    Reactivity
    Human, Mouse, Rat
    Applications:
    WB IHC-P ICC/IF FC IAP IP ChIP mIHC-P CUT&Tag
  • View More Images(5)
    $ 355
    Anti-Dimethyl-Histone H3 (Lys79) Rabbit pAb
    Catalog #
    PTM-629
    Host
    Rabbit
    Clonality
    Polyclonal
    Conjugate
    Unconjugated
    Reactivity
    Human, Mouse, Rat
    Applications:
    WB IHC-P ICC/IF FC IAP IP ChIP mIHC-P CUT&Tag