/ EN
Technical Support
| Contact Us
+1 312-802-6843
Technical Support
Contact Us
+1 312-802-6843
/ EN
Recover password
Professional Email
Verification Code
Send Code
Password
Recombinant
Anti-Dimethyl-Histone H3 (Lys79) Mouse mAb
Catalog Number: PTM-5159
References (2)
$ 335

Clone Number: 11582

Host: Mouse Clonality: Recombinant Monoclonal

Applications: WB IHC-P ICC/IF ChIP

Reactivity: Human, Mouse, Rat

Synonyms: H3K79me2

Product Size
100 μl
Quantity

Shipping: Ambient temperature

Order online or send purchase order to info@ptmbio.com

FAQ Technical Support Protocols

General Information
Isotype IgG1
Conjugate Unconjugated
Synonyms H3K79me2
UniProt ID

P68431

Immunogen Dimethylated human histone H3 (Lys79) peptide
MW (kDa) 15
Specificity
Product Usage Information
Applications Dilution Recommended Species
WB 1:500 - 1:1000 Human, Mouse, Rat
IHC-P 1:50 - 1:100 Human, Mouse, Rat
ICC/IF 1:50 - 1:100 Human
ChIP 6 μg per 5x106 cells Human
Properties
Purity Protein G purified
Constituents PBS, Glycerol, BSA
Storage Store at -20°C. Avoid freeze/thaw cycles.
Stability Stable for 12 months from date of receipt/reconstitution.
Target Information

Background

The ε-amino lysine acetylation of proteins is an important reversible modification controlling protein activity. The amino-terminal tails of core histones undergo lysine methylation in multiple sites, termed as “histone code” or “epigenetic code”. Lysine methylation in core histones is a major determinant for the formation of active and inactive regions of the genome and therefore plays vital roles in multiple cellular events. In most species, lysine methylation occurs primarily on histones H3 (Lys4, 9, 27, 36, 79) and H4 (Lys20) and has been implicated in both transcriptional activation and silencing. Methylation in histones modulated by specific histone methyltransferases (HMTs) and histone demethylases (HDMs) is impaired in the pathologies of cancer and other diseases and therefore, enzymes regulating histone lysine methylation have become promising targets for anti-cancer drugs.

Cellular location

Nucleus

Images
WB

Blocking buffer: 5% NFDM/TBST
Primary Ab dilution: 1:1000
Primary Ab incubation: 4°C overnight
Secondary Ab: Goat Anti-Mouse IgG H&L pAb (HRP Conjugate)
Lysate: HeLa, HepG2, Neuro-2a, BRL, EL4.IL-2
Protein loading quantity: 20 μg
Exposure time: 3 s
Predicted band size: 15 kDa
Observed band size: 15 kDa

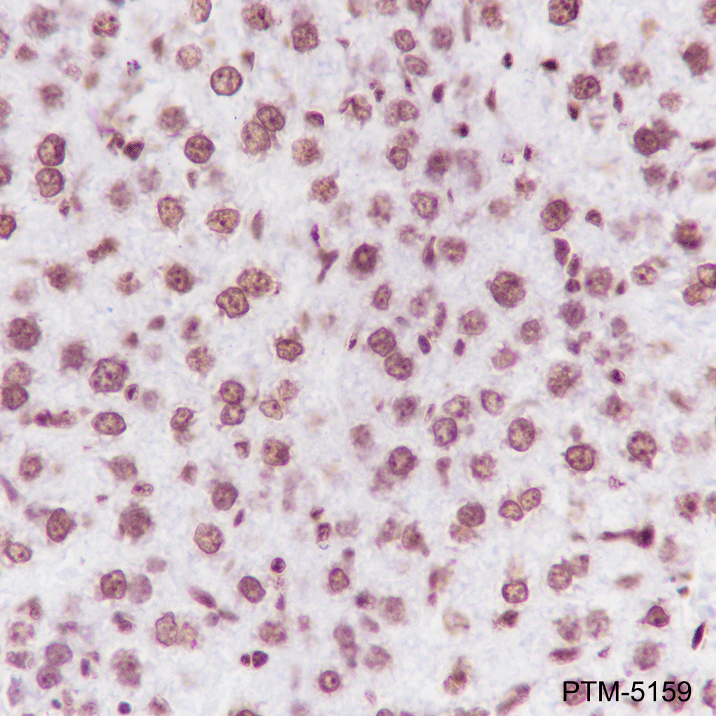
IHC-P

Tissue: Human liver
Section type: Formalin fixed & Paraffin -embedded section
Retrieval method: High temperature and high pressure
Retrieval buffer: Tris/EDTA buffer, pH 9.0
Primary Ab dilution: 1:100
Primary Ab incubation: 1 hour at room temperature
Secondary Ab: Anti-Rabbit and Mouse Polymer HRP (Ready to Use)
Counter stain: Hematoxylin (Blue)
Description: The brown color represents the positive signal observed with PTM-5159

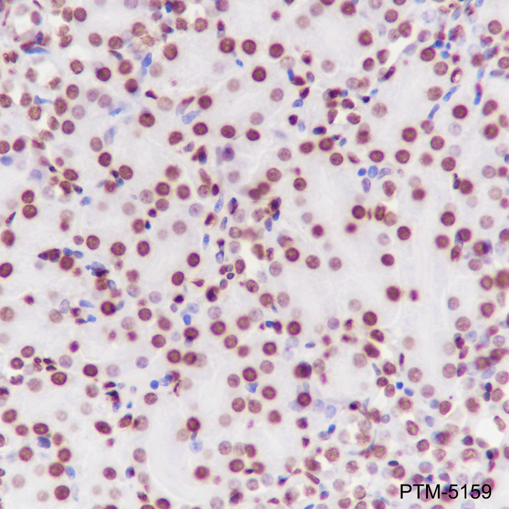
Tissue: Mouse kidney
Section type: Formalin fixed & Paraffin -embedded section
Retrieval method: High temperature and high pressure
Retrieval buffer: Tris/EDTA buffer, pH 9.0
Primary Ab dilution: 1:100
Primary Ab incubation: 1 hour at room temperature
Secondary Ab: Anti-Rabbit and Mouse Polymer HRP (Ready to Use)
Counter stain: Hematoxylin (Blue)
Description: The brown color represents the positive signal observed with PTM-5159

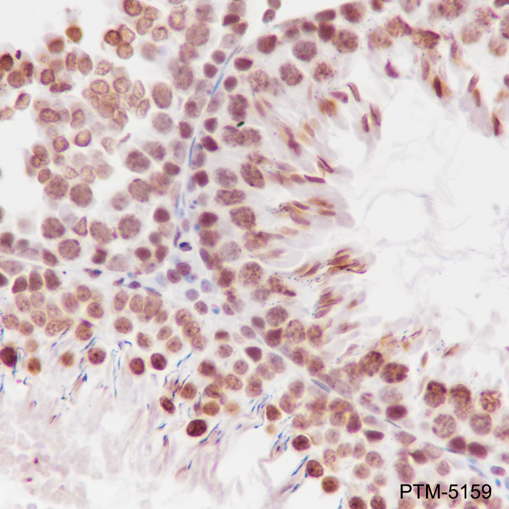
Tissue: Rat testis
Section type: Formalin fixed & Paraffin -embedded section
Retrieval method: High temperature and high pressure
Retrieval buffer: Tris/EDTA buffer, pH 9.0
Primary Ab dilution: 1:100
Primary Ab incubation: 1 hour at room temperature
Secondary Ab: Anti-Rabbit and Mouse Polymer HRP (Ready to Use)
Counter stain: Hematoxylin (Blue)
Description: The brown color represents the positive signal observed with PTM-5159

ICC/IF

Cell line: HeLa
Fixative: 4% Paraformaldehyde
Permeabilization: 0.1% TritonX-100
Primary Ab dilution: 1:100
Primary incubation condition: 4°C overnight
Secondary Ab: Goat Anti-Mouse IgG
Nuclear counter stain: DAPI (Blue)
Counter stain: Tubulin (Red)
Description: The green color represents the positive signal observed with PTM-5159

ChIP

Cell type: HeLa
Cross-linking conditions: no cross-linking
Amount of chromatin per IP: 5×106 cells
Amount of Ab per IP: 6 μg
Beads type and amount per IP: 50 μl of Protein A/G MagBeads
Description: Chromatin immunoprecipitations were performed with 6 μg of normal mouse IgG as a negative control. The immunoprecipitated DNA was quantified by real-time PCR using primers specific for the human GAPDH CDS region, RPL30, LDHA, FOXO3a promoter, FOXO3a - downstream and RAB20. The data are presented as enrichment of each sample relative to the total amount of input chromatin at each amplicon.

Research Use

For research use only, not for use in diagnostic procedures.

Recommended Products
  • View More Images(6)
    $ 345
    Anti-Dimethyl-Histone H3 (Lys79) Mouse mAb
    Catalog #
    PTM-658
    Host
    Mouse
    Clonality
    Monoclonal
    Conjugate
    Unconjugated
    Reactivity
    Human, Mouse, Rat, Monkey
    Applications:
    WB IHC-P ICC/IF FC IAP IP ChIP mIHC-P CUT&Tag
  • View More Images(5)
    $ 355
    Anti-Dimethyl-Histone H3 (Lys79) Rabbit pAb
    Catalog #
    PTM-629
    Host
    Rabbit
    Clonality
    Polyclonal
    Conjugate
    Unconjugated
    Reactivity
    Human, Mouse, Rat
    Applications:
    WB IHC-P ICC/IF FC IAP IP ChIP mIHC-P CUT&Tag
References (2)
  • Branched-chain amino acid transaminase 1 confers EGFR-TKI resistance through epigenetic glycolytic activation
    Year 2024
    Journal Signal Transduction and Targeted Therapy
    Authors Zhang Tao, et al.
    Applications Unspecified
    Reactivity
  • KDM3A Ablation Activates Endogenous Retrovirus Expression to Stimulate Antitumor Immunity in Gastric Cancer
    Year 2024
    Journal Advanced Science
    Authors Jiabin Zheng, et al.
    Applications Unspecified
    Reactivity