/ EN
Technical Support
| Contact Us
+1 312-802-6843
Technical Support
Contact Us
+1 312-802-6843
/ EN
Recover password
Professional Email
Verification Code
Send Code
Password
Recombinant
Anti-Dimethyl-Histone H3 (Lys4) Mouse mAb
Catalog Number: PTM-6032
References (1)
$ 325

Clone Number: 11130

Host: Mouse Clonality: Recombinant Monoclonal

Applications: WB IHC-P ICC/IF ChIP

Reactivity: Human, Mouse, Rat

Synonyms: H3K4me2

Product Size
100 μl
Quantity

Shipping: Ambient temperature

Order online or send purchase order to info@ptmbio.com

FAQ Technical Support Protocols

General Information
Isotype IgG1
Conjugate Unconjugated
Synonyms H3K4me2
UniProt ID

P68431

Immunogen Dimethylated human histone H3 (Lys4) peptide
MW (kDa) 15
Specificity
Product Usage Information
Applications Dilution Recommended Species
WB 1:500 - 1:1000 Human, Mouse
IHC-P 1:50 - 1:100 Human, Rat, Mouse
ICC/IF 1:50 Human
ChIP 6 μg per 5x106 cells Human
Properties
Purity Protein G purified
Constituents PBS, Glycerol, BSA
Storage Store at -20°C. Avoid freeze/thaw cycles.
Stability Stable for 12 months from date of receipt/reconstitution.
Target Information

Background

Histones undergo various enzyme-catalyzed modifications, including acetylation, methylation, phosphorylation, ubiquitination, etc. H3K4me2 is a methylation modification on histone proteins that are tightly linked to DNA. The researchers found that H3K4me2 gradually accumulated after DNA damage occurred and peaked after 24 hours, then gradually declined. The transient elevation of H3K4me2 after DNA damage suggests that it may be involved in the process of DNA damage repair.

Cellular location

Nucleus

Images
WB

Blocking buffer: 5% NFDM/TBST
Primary Ab dilution: 1:1000
Primary Ab incubation: 2 hours at room temperature
Secondary Ab: Goat Anti-Mouse IgG H&L pAb (HRP Conjugate)
Lysate: 1: Jurkat, 2: NIH/3T3
Protein loading quantity: 20 μg
Exposure time: 30 s
Predicted band size: 17 kDa
Observed band size: 17 kDa

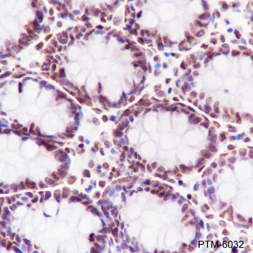
IHC-P

Tissue: Human colon
Section type: Formalin-fixed & Paraffin -embedded section
Retrieval method: High temperature and high pressure
Retrieval buffer: Tris/EDTA buffer, pH 9.0
Primary Ab dilution: 1:100
Primary Ab incubation: 1 hour at room temperature
Secondary Ab: Anti-Rabbit and Mouse Polymer HRP (Ready to Use)
Counter stain: Hematoxylin (Blue)
Description: The brown color represents the positive signal observed with PTM-6032

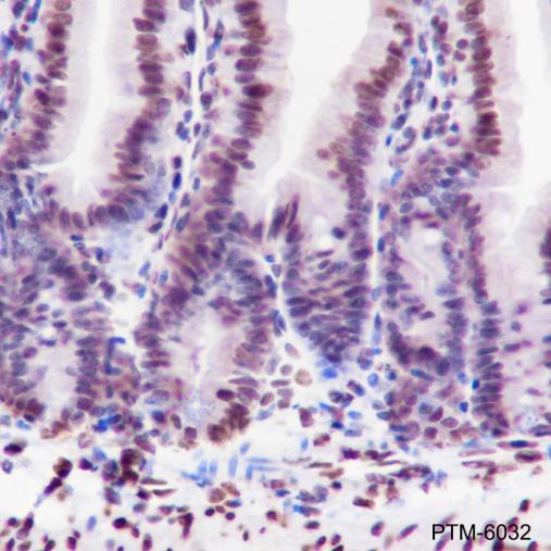
Tissue: Mouse small intestine
Section type: Formalin-fixed & Paraffin -embedded section
Retrieval method: High temperature and high pressure
Retrieval buffer: Tris/EDTA buffer, pH 9.0
Primary Ab dilution: 1:100
Primary Ab incubation: 1 hour at room temperature
Secondary Ab: Anti-Rabbit and Mouse Polymer HRP (Ready to Use)
Counter stain: Hematoxylin (Blue)
Description: The brown color represents the positive signal observed with PTM-6032

Tissue: Rat colon
Section type: Formalin-fixed & Paraffin -embedded section
Retrieval method: High temperature and high pressure
Retrieval buffer: Tris/EDTA buffer, pH 9.0
Primary Ab dilution: 1:100
Primary Ab incubation: 1 hour at room temperature
Secondary Ab: Anti-Rabbit and Mouse Polymer HRP (Ready to Use)
Counter stain: Hematoxylin (Blue)
Description: The brown color represents the positive signal observed with PTM-6032

ICC/IF

Cell line: HeLa
Fixative: 4% Paraformaldehyde
Permeabilization: 0.1% Triton X-100
Primary Ab dilution: 1:50
Primary incubation condition: 4°C overnight
Secondary Ab: Goat Anti-Mouse IgG
Nuclear counter stain: DAPI (Blue)
Counter stain: Tubulin (Red)
Description: The green color represents the positive signal observed with PTM-6032

ChIP

Cell type: Jurkat
Cross-linking conditions: no cross-linking
Amount of chromatin per IP: 5×106 cells
Amount of Ab per IP: 6 μg
Beads type and amount per IP: 50 μl of Protein A/G Mag Beads
Description: Chromatin immunoprecipitations were performed with 6 μg of normal mouse IgG as a negative control. The immunoprecipitated DNA was quantified by real-time PCR using primers specific for the human GAPDH CDS region, RPL30, LDHA, FOXO3a promoter, RAB20 and LDHA - promoter. The data are presented as enrichment of each sample relative to the total amount of input chromatin at each amplicon.

Research Use

For research use only, not for use in diagnostic procedures.

Recommended Products
  • View More Images(5)
    $ 335
    Anti-Dimethyl-Histone H3 (Lys4) Mouse mAb
    Catalog #
    PTM-641
    Host
    Mouse
    Clonality
    Monoclonal
    Conjugate
    Unconjugated
    Reactivity
    Human, Mouse, Rat
    Applications:
    WB IHC-P ICC/IF FC IAP IP ChIP mIHC-P CUT&Tag
  • View More Images(5)
    $ 355
    Anti-Dimethyl-Histone H3 (Lys4) Rabbit pAb
    Catalog #
    PTM-612
    Host
    Rabbit
    Clonality
    Polyclonal
    Conjugate
    Unconjugated
    Reactivity
    Human, Mouse, Rat, A.thaliana, Cerastium
    Applications:
    WB IHC-P ICC/IF FC IAP IP ChIP mIHC-P CUT&Tag
  • View More Images(4)
    $ 330
    Recombinant Rabbit Monoclonal
    Anti-Acetyl-Histone H3 (Lys4) Rabbit mAb
    Catalog #
    PTM-188
    Host
    Rabbit
    Clonality
    Recombinant Monoclonal
    Conjugate
    Unconjugated
    Reactivity
    Human, Mouse, Rat
    Applications:
    WB IHC-P ICC/IF FC IAP IP ChIP mIHC-P CUT&Tag
  • View More Images(8)
    $ 420
    Recombinant Rabbit Monoclonal
    Anti-Crotonyl-Histone H3 (Lys4) Rabbit mAb
    Catalog #
    PTM-547RM
    Host
    Rabbit
    Clonality
    Recombinant Monoclonal
    Conjugate
    Unconjugated
    Reactivity
    Human, Mouse, Rat
    Applications:
    WB IHC-P ICC/IF FC IAP IP ChIP mIHC-P CUT&Tag
  • View More Images(5)
    $ 320
    Recombinant
    Anti-Monomethyl-Histone H3 (Lys4) Mouse mAb
    Catalog #
    PTM-5158
    Host
    Mouse
    Clonality
    Recombinant Monoclonal
    Conjugate
    Unconjugated
    Reactivity
    Human, Mouse, Rat
    Applications:
    WB IHC-P ICC/IF FC IAP IP ChIP mIHC-P CUT&Tag
  • View More Images(6)
    $
    Anti-Trimethyl-Histone H3 (Lys4) Rabbit mAb (ChIP Grade)
    Catalog #
    PTM-613RM
    Host
    Rabbit
    Clonality
    Recombinant Monoclonal
    Conjugate
    Unconjugated
    Reactivity
    Human, Mouse, Rat
    Applications:
    WB IHC-P ICC/IF FC IAP IP ChIP mIHC-P CUT&Tag
  • View More Images(3)
    $ 435
    Anti-β-Hydroxybutyryl-Histone H3 (Lys4) Rabbit pAb
    Catalog #
    PTM-1260
    Host
    Rabbit
    Clonality
    Polyclonal
    Conjugate
    Unconjugated
    Reactivity
    Human
    Applications:
    WB IHC-P ICC/IF FC IAP IP ChIP mIHC-P CUT&Tag
  • View More Images(4)
    $ 390
    Anti-Histone H3 (Trimethyl Lys4, Serotonyl Gln5) Rabbit pAb
    Catalog #
    PTM-1420
    Host
    Rabbit
    Clonality
    Polyclonal
    Conjugate
    Unconjugated
    Reactivity
    Human, Mouse, Rat
    Applications:
    WB IHC-P ICC/IF FC IAP IP ChIP mIHC-P CUT&Tag
  • View More Images(2)
    $ 330
    Recombinant Rabbit Monoclonal
    Anti-Dimethyllysine Rabbit pAb
    Catalog #
    PTM-606
    Host
    Rabbit
    Clonality
    Polyclonal
    Conjugate
    Unconjugated
    Reactivity
    All
    Applications:
    WB IHC-P ICC/IF FC IAP IP ChIP mIHC-P CUT&Tag
  • View More Images(7)
    $ 125
    Recombinant Rabbit Monoclonal
    Anti-Histone H3 Rabbit mAb
    Catalog #
    PTM-1001RM
    Host
    Rabbit
    Clonality
    Recombinant Monoclonal
    Conjugate
    Unconjugated
    Reactivity
    Human, Mouse, Rat
    Applications:
    WB IHC-P ICC/IF FC IAP IP ChIP mIHC-P CUT&Tag
References (1)
  • Loss of ZNF408 attenuates STING-mediated immune surveillance in breast carcinogenesis
    Year 2024
    Journal iScience
    Authors Xiao Cheng, et al.
    Applications Unspecified
    Reactivity