/ EN
Technical Support
| Contact Us
+1 312-802-6843
Technical Support
Contact Us
+1 312-802-6843
/ EN
Recover password
Professional Email
Verification Code
Send Code
Password
Recombinant Rabbit Monoclonal
Anti-Dimethyl-Histone H3 (Lys27) Rabbit mAb
Catalog Number: PTM-5010
References (2)
$ 345

Clone Number: TR001

Host: Rabbit Clonality: Recombinant Monoclonal

Applications: WB IHC-P ICC/IF

Reactivity: Human, Mouse, Rat

Synonyms: H3K27me2

Product Size
100 μl
Quantity

Shipping: Ambient temperature

Order online or send purchase order to info@ptmbio.com

FAQ Technical Support Protocols

General Information
Isotype IgG
Conjugate Unconjugated
Synonyms H3K27me2
UniProt ID

P68431

Immunogen Dimethylated human histone H3 (Lys27) peptide
MW (kDa) 15
Specificity Anti-Dimethyl-Histone H3 (Lys27) Rabbit mAb detects histone H3 only when it is L-Dimethyl at Lys27.
Product Usage Information
Applications Dilution Recommended Species
WB 1:200 - 1:1000 Human, Mouse, Rat
IHC-P 1:50 - 1:100 Human, Mouse, Rat
ICC/IF 1:250 - 1:500 Human, Mouse
Properties
Purity Protein A purified
Constituents PBS, Glycerol, BSA
Storage Store at -20°C. Avoid freeze/thaw cycles.
Stability Stable for 12 months from date of receipt/reconstitution.
Target Information

Background

The ε-amino lysine methylation of proteins is an important reversible modification controlling protein activity. The amino-terminal tails of core histones undergo lysine methylation in multiple sites, termed as “histone code” or “epigenetic code”. Lysine methylation in core histones is a major determinant for theformation of active and inactive regions of the genome and therefore playsvital roles in multiple cellular events. In most species, lysine methylationoccurs primarily on histones H3 (Lys4, 9, 27, 36, 79), and H4 (Lys20) and hasbeen implicated in both transcriptional activation and silencing. Methylation in histones modulated by specific histone methyltransferases (HMTs) and histone demethylases (HDMs). The level of methyllysineis found impaired in the pathologies of cancers and other diseases, therefore, enzymes regulating histone lysine methylation have become promising targets for anti-cancer drugs. 

Cellular location

Nucleus

Images
WB

Blocking buffer: 5% NFDM/TBST
Primary Ab dilution: 1:1000
Primary Ab incubation: 2 hours at room temperature
Secondary Ab: Goat Anti-Rabbit IgG H&L pAb (HRP Conjugate)
Lysate: HeLa, N2a, BRL, Mouse liver, Mouse kidney
Protein loading quantity: 20 μg
Exposure time: 15 s
Predicted band size: 15 kDa
Observed band size: 15 kDa

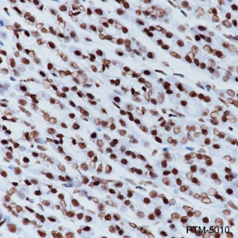
IHC-P

Tissue: Human hepatocellular carcinoma
Section type: Formalin fixed & Paraffin -embedded section
Retrieval method: High temperature and high pressure
Retrieval buffer: Tris/EDTA buffer, pH 9.0
Primary Ab dilution: 1:100
Primary Ab incubation: 1 hour at room temperature
Secondary Ab: Anti-Rabbit and Mouse Polymer HRP (Ready to Use)
Counter stain: Hematoxylin (Blue)
Description: The brown color represents the positive signal observed with PTM-5010

Tissue: Rat stomach
Section type: Formalin fixed & Paraffin -embedded section
Retrieval method: High temperature and high pressure
Retrieval buffer: Tris/EDTA buffer, pH 9.0
Primary Ab dilution: 1:100
Primary Ab incubation: 1 hour at room temperature
Secondary Ab: Anti-Rabbit and Mouse Polymer HRP (Ready to Use)
Counter stain: Hematoxylin (Blue)
Description: The brown color represents the positive signal observed with PTM-5010

ICC/IF

Cell line: HeLa
Fixative: 4% Paraformaldehyde
Permeabilization: 0.1% TritonX-100
Primary Ab dilution: 1:300
Primary incubation condition: 4°C overnight
Secondary Ab: Goat Anti-Rabbit IgG
Nuclear counter stain: DAPI (Blue)
Counter stain: Tubulin (Red)
Description: The green color represents the positive signal observed with PTM-5010

Research Use

For research use only, not for use in diagnostic procedures.

Recommended Products
  • View More Images(5)
    $ 335
    Recombinant
    Anti-Dimethyl-Histone H3 (Lys27) Mouse mAb
    Catalog #
    PTM-5312
    Host
    Mouse
    Clonality
    Recombinant Monoclonal
    Conjugate
    Unconjugated
    Reactivity
    Human, Mouse, Rat
    Applications:
    WB IHC-P ICC/IF FC IAP IP ChIP mIHC-P CUT&Tag
  • View More Images(2)
    $ 355
    Anti-Dimethyl-Histone H3 (Lys27) Rabbit pAb
    Catalog #
    PTM-621
    Host
    Rabbit
    Clonality
    Polyclonal
    Conjugate
    Unconjugated
    Reactivity
    Human, Mouse, Rat
    Applications:
    WB IHC-P ICC/IF FC IAP IP ChIP mIHC-P CUT&Tag
  • View More Images(4)
    $ 135
    Goat Anti-Rabbit IgG H&L pAb (HRP Conjugate)
    Catalog #
    PTM-6261
    Host
    Goat
    Clonality
    Polyclonal
    Conjugate
    HRP
    Reactivity
    Rabbit
    Applications:
    WB IHC-P ICC/IF FC IAP IP ChIP mIHC-P CUT&Tag
References (2)
  • Essential roles of histone lysine methyltransferases EZH2 and EHMT1 in male embryo development of Phenacoccus solenopsis
    Year 2024
    Journal Communications Biology
    Authors Tong Haojie, et al.
    Applications Unspecified
    Reactivity
  • Anti-Colorectal Cancer Activity of Solasonin from Solanum nigrum L. via Histone Deacetylases-Mediated p53 Acetylation Pathway
    Year 2023
    Journal MOLECULES
    Authors Xintian Lan, et al.
    Applications Unspecified
    Reactivity