/ EN
Technical Support
| Contact Us
+1 312-802-6843
Technical Support
Contact Us
+1 312-802-6843
/ EN
Recover password
Professional Email
Verification Code
Send Code
Password
Recombinant Rabbit Monoclonal
Anti-Crotonyl-Histone H4 (Lys8) Rabbit mAb
Catalog Number: PTM-542
$ 420

Clone Number: 12314

Host: Rabbit Clonality: Recombinant Monoclonal

Applications: WB IHC-P

Reactivity: Human, Mouse, Rat

Synonyms: H4K8cr

Product Size
100 μl
Quantity

Shipping: Ambient temperature

Order online or send purchase order to info@ptmbio.com

FAQ Technical Support Protocols

General Information
Isotype IgG
Conjugate Unconjugated
Synonyms H4K8cr
UniProt ID

P62805

Immunogen Crotonylated human histone H4 (Lys8) peptide
MW (kDa) 11
Specificity
Product Usage Information
Applications Dilution Recommended Species
WB 1:500 - 1:2000 Human, Mouse, Rat
IHC-P 1:50 - 1:100 Human, Mouse
Properties
Purity Protein A purified
Constituents PBS, Glycerol, BSA
Storage Store at -20°C. Avoid freeze/thaw cycles.
Stability Stable for 12 months from date of receipt/reconstitution.
Target Information

Background

Histones are subject to a variety of enzyme catalyzed modifications, including acetylation, methylation, phosphorylation, ubiquitylation, etc. Crotonylation of lysine is a newly identified reversible modification controlling chromosome structure and gene transcription. Lysine crotonylation is highly conserved in eukaryotic cellsfrom worm to human. The unique structure and genomic localization of histone lysine crotonylation suggest that it is mechanistically and functionally different from histone lysine acetylation. Crotonylation of histone H4 at Lys8 may play a vital role in the epigenetic modulation, including chromatin remodeling and DNA transcriptional regulation.

Cellular location

Nucleus

Images
WB

Blocking buffer: 5% NFDM/TBST
Primary Ab dilution: 1:2000
Primary Ab incubation: 2 hours at room temperature
Secondary Ab: Goat Anti-Rabbit IgG H&L pAb (HRP Conjugate)
Lysate: (-) HeLa, (+) HeLa+Crotonic acid (10mM,15h)
Protein loading quantity: 20 μg
Exposure time: 15 s
Predicted band size: 11 kDa
Observed band size: 11 kDa

IHC-P

Tissue: Human kidney
Section type: Formalin fixed & Paraffin - embedded section
Retrieval method: High temperature and high pressure
Retrieval buffer: Tris/EDTA buffer, pH 9.0
Primary Ab dilution: 1:100
Primary Ab incubation: 1 hour at room temperature
Secondary Ab: Anti-Rabbit and Mouse Polymer HRP (Ready to Use)
Counter stain: Hematoxylin (Blue)
Description: The brown color represents the positive signal observed with PTM-542

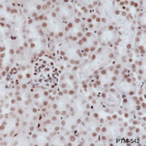
Tissue: Mouse kidney
Section type: Formalin fixed & Paraffin - embedded section
Retrieval method: High temperature and high pressure
Retrieval buffer: Tris/EDTA buffer, pH 9.0
Primary Ab dilution: 1:100
Primary Ab incubation: 1 hour at room temperature
Secondary Ab: Anti-Rabbit and Mouse Polymer HRP (Ready to Use)
Counter stain: Hematoxylin (Blue)
Description: The brown color represents the positive signal observed with PTM-542

Research Use

For research use only, not for use in diagnostic procedures.

Recommended Products
  • View More Images(7)
    $ 420
    Recombinant Rabbit Monoclonal
    Anti-Crotonyl-Histone H4 (Lys8) Rabbit mAb
    Catalog #
    PTM-522RM
    Host
    Rabbit
    Clonality
    Recombinant Monoclonal
    Conjugate
    Unconjugated
    Reactivity
    Human, Mouse, Rat
    Applications:
    WB IHC-P ICC/IF FC IAP IP ChIP mIHC-P CUT&Tag
  • View More Images(2)
    $ 440
    Anti-Crotonyllysine Rabbit pAb
    Catalog #
    PTM-501
    Host
    Rabbit
    Clonality
    Polyclonal
    Conjugate
    Unconjugated
    Reactivity
    All
    Applications:
    WB IHC-P ICC/IF FC IAP IP ChIP mIHC-P CUT&Tag
  • View More Images(1)
    $ 2,110
    Anti-Crotonyllysine Antibody Conjugated Agarose Beads
    Catalog #
    PTM-503
    Host
    /
    Clonality
    /
    Conjugate
    Agarose
    Reactivity
    All
    Applications:
    WB IHC-P ICC/IF FC IAP IP ChIP mIHC-P CUT&Tag