/ EN
Technical Support
| Contact Us
+1 312-802-6843
Technical Support
Contact Us
+1 312-802-6843
/ EN
Recover password
Professional Email
Verification Code
Send Code
Password
Recombinant Rabbit Monoclonal
Anti-Crotonyl-Histone H3 (Lys9) Rabbit mAb
Catalog Number: PTM-516RM
References (3)
$ 420

Clone Number: 2H2L1

Host: Rabbit Clonality: Recombinant Monoclonal

Applications: WB IHC-P ICC/IF IP

Reactivity: Human, Mouse, Rat

Synonyms: H3K9cr

Product Size
100 μl
Quantity

Shipping: Ambient temperature

Order online or send purchase order to info@ptmbio.com

FAQ Technical Support Protocols

General Information
Isotype IgG
Conjugate Unconjugated
Synonyms H3K9cr
UniProt ID

P68431

Immunogen Crotonylated human histone H3 (Lys9) peptide
MW (kDa) 15
Specificity Anti-Crotonyl-Histone H3 (Lys9) Rabbit mAb detects histone H3 only when it is Crotonylated at Lys9.
Product Usage Information
Applications Dilution Recommended Species
WB 1:500 - 1:2000 Human, Mouse, Rat
IHC-P 1:200 - 1:1000 Human, Mouse, Rat
ICC/IF 1:50 Human
IP 1:50 - 1:100 Human
Properties
Purity Protein A purified
Constituents PBS, Glycerol, BSA
Storage Store at -20°C. Avoid freeze/thaw cycles.
Stability Stable for 12 months from date of receipt/reconstitution.
Target Information

Background

Histones are subject to a variety of enzyme catalyzed modifications, including acetylation, methylation, phosphorylation, ubiquitylation, etc. Crotonylation of lysine is a newly identified reversible modification controlling chromosome structure and gene transcription. The reversible lysine crotonylation has been well demonstrated in eukaryotic histones from worm to human. The unique structure and genomic localization of histone lysine crotonylation suggest that it is mechanistically and functionally different from histone lysine acetylation. Specifically, in both human somatic and mouse male germ cell genomes, histone crotonylation marks either active promoters or potential enhancers. Crotonylation of histone H3 at Lys9 may play a vital role in the epigenetic modulation, including chromatin remodeling and DNA transcriptional regulation.

Cellular location

Nucleus

Images
Dot Blot

Peptide amount: 1 ng, 4 ng, 16 ng
Blocking buffer: 5% NFDM/TBST
Primary Ab dilution: 1:10000
Primary Ab incubation: 2 hours at room temperature
Secondary Ab: Goat Anti-Rabbit IgG H&L pAb (HRP Conjugate)
Exposure time: 60 seconds
The list of peptides used in the experiment is provided below.
Lane 1: H3K9 crotonyl. Lane 2: H3K4 crotonyl.
Lane 3: H3K9 acetyl. Lane 4: H3K9 butyryl.
Lane 5: H3K9 2-hydroxyisobutyryl. Lane 6: H3K9 β-hydroxybutyryl.
Lane 7: H3K27 acetyl. Lane 8: H3K27 butyryl.
Lane 9: H3K27 crotonyl. Lane 10: H3K27 2-hydroxyisobutyryl.
Lane 11: H3K27 β-hydroxybutyryl. Lane 12: H3K9 unmodified.

WB

Lysates: (-) HeLa cells; (+) HeLa cells treated with 100 ng/ml crotonic acid for 18 hours
Protein loading amount: 20 μg
Blocking buffer: 5% NFDM/TBST
Primary Ab dilution: 1:2000
Primary Ab incubation: 2 hours at room temperature
Secondary Ab: Goat Anti-Rabbit IgG H&L pAb (HRP Conjugate)
Exposure time: 60 seconds
Predicted band size: 15 kDa
Observed band size: 15 kDa

Lysate: N2a cells
Protein loading amount: 20 μg
Blocking buffer: 5% NFDM/TBST
Primary Ab dilution: 1:2000
Primary Ab incubation: 2 hours at room temperature
Secondary Ab: Goat Anti-Rabbit IgG H&L pAb (HRP Conjugate)
Exposure time: 60 seconds
Predicted band size: 15 kDa
Observed band size: 15 kDa

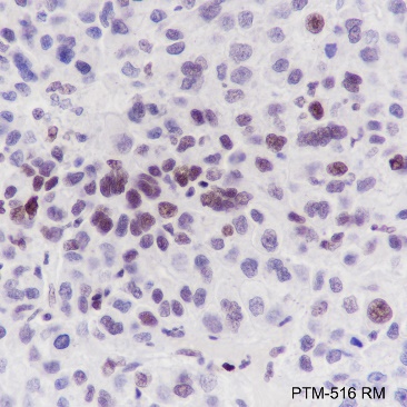
IHC-P

Tissue: Human liver cancer
Section type: Formalin-fixed & paraffin-embedded section
Retrieval method: High temperature and high pressure
Retrieval buffer: Tris/EDTA buffer, pH 9.0
Primary Ab dilution: 1:1000
Primary Ab incubation: 1 hour at room temperature
Secondary Ab: Anti-Rabbit and Mouse Polymer HRP (Ready to Use)
Counter stain: Hematoxylin (blue)
Description: The brown color represents the positive signal observed with PTM-516RM.

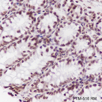
Tissue: Mouse colon
Section type: Formalin-fixed & paraffin-embedded section
Retrieval method: High temperature and high pressure
Retrieval buffer: Tris/EDTA buffer, pH 9.0
Primary Ab dilution: 1:1000
Primary Ab incubation: 1 hour at room temperature
Secondary Ab: Anti-Rabbit and Mouse Polymer HRP (Ready to Use)
Counter stain: Hematoxylin (blue)
Description: The brown color represents the positive signal observed with PTM-516RM.

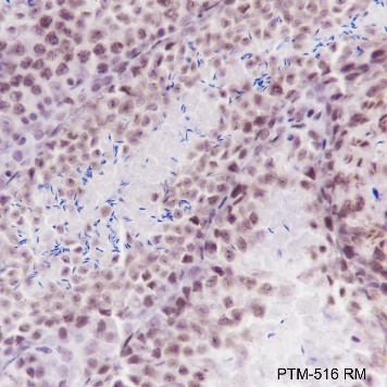
Tissue: Mouse testis
Section type: Formalin-fixed & paraffin-embedded section
Retrieval method: High temperature and high pressure
Retrieval buffer: Tris/EDTA buffer, pH 9.0
Primary Ab dilution: 1:1000
Primary Ab incubation: 1 hour at room temperature
Secondary Ab: Anti-Rabbit and Mouse Polymer HRP (Ready to Use)
Counter stain: Hematoxylin (blue)
Description: The brown color represents the positive signal observed with PTM-516RM.

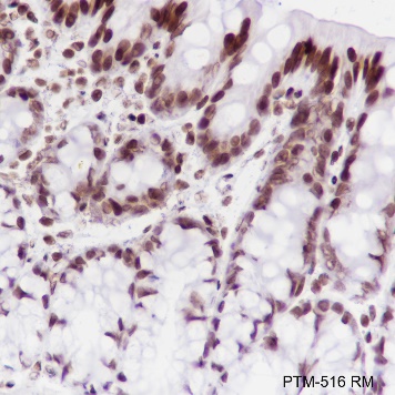
Tissue: Rat colon
Section type: Formalin-fixed & paraffin-embedded section
Retrieval method: High temperature and high pressure
Retrieval buffer: Tris/EDTA buffer, pH 9.0
Primary Ab dilution: 1:1000
Primary Ab incubation: 1 hour at room temperature
Secondary Ab: Anti-Rabbit and Mouse Polymer HRP (Ready to Use)
Counter stain: Hematoxylin (blue)
Description: The brown color represents the positive signal observed with PTM-516RM.

ICC/IF

Samples: (A) HeLa cells; (B) HeLa cells treated with 100 mM sodium lactate for 24 hours
Fixative: 4% Paraformaldehyde
Permeabilization: 0.1% Triton X-100
Primary Ab dilution: 1:50
Primary Ab incubation: 4°C overnight
Secondary Ab: Goat Anti-Rabbit IgG
Nuclear counter stain: DAPI (blue)
Counter stain: Tubulin (red)
Description: The green color represents the positive signal observed with PTM-516RM.

IP

IP of HeLa + sodium butyrate (30 mM, 4 hours) extracts
Lane 1: 5% Input
Lane 2: IP with PTM-516RM
Lane 3: IP with Rabbit mAb IgG Isotype Control
IP Ab incubation: 1:100 dilution, 4°C overnight
Blocking buffer: 5% NFDM/TBST
Dilution buffer: 5% NFDM/TBST
WB Primary Ab incubation: PTM-516RM, 2 hours at room temperature, 1:500 dilution
Secondary Ab: Anti-Rabbit IgG for IP (HRP Conjugate)
Exposure time: 60 seconds
Predicted band size: 15 kDa
Observed band size: 15 kDa

Research Use

For research use only, not for use in diagnostic procedures.

Recommended Products
  • View More Images(3)
    $ 435
    Anti-Crotonyl-Histone H3 (Lys9) Mouse mAb
    Catalog #
    PTM-539
    Host
    Mouse
    Clonality
    Monoclonal
    Conjugate
    Unconjugated
    Reactivity
    Human, Mouse, Rat
    Applications:
    WB IHC-P ICC/IF FC IAP IP ChIP mIHC-P CUT&Tag
  • View More Images(4)
    $ 135
    Goat Anti-Rabbit IgG H&L pAb (HRP Conjugate)
    Catalog #
    PTM-6261
    Host
    Goat
    Clonality
    Polyclonal
    Conjugate
    HRP
    Reactivity
    Rabbit
    Applications:
    WB IHC-P ICC/IF FC IAP IP ChIP mIHC-P CUT&Tag
  • View More Images(5)
    $ 125
    Recombinant Rabbit Monoclonal
    Rabbit mAb IgG Isotype Control
    Catalog #
    PTM-5073
    Host
    Rabbit
    Clonality
    Recombinant Monoclonal
    Conjugate
    Unconjugated
    Reactivity
    Human, Mouse, Rat
    Applications:
    WB IHC-P ICC/IF FC IAP IP ChIP mIHC-P CUT&Tag
  • View More Images(5)
    $ 125
    Recombinant Rabbit Monoclonal
    Rabbit mAb IgG Isotype Control
    Catalog #
    PTM-6628
    Host
    Rabbit
    Clonality
    Recombinant Monoclonal
    Conjugate
    Unconjugated
    Reactivity
    Human, Mouse
    Applications:
    WB IHC-P ICC/IF FC IAP IP ChIP mIHC-P CUT&Tag
  • View More Images(11)
    $ 320
    Recombinant Rabbit Monoclonal
    Anti-Acetyl-Histone H3 (Lys9) Rabbit mAb
    Catalog #
    PTM-112RM
    Host
    Rabbit
    Clonality
    Recombinant Monoclonal
    Conjugate
    Unconjugated
    Reactivity
    Human, Mouse, Rat
    Applications:
    WB IHC-P ICC/IF FC IAP IP ChIP mIHC-P CUT&Tag
  • View More Images(4)
    $ 420
    Anti-Butyryl-Histone H3 (Lys9) Mouse mAb
    Catalog #
    PTM-312
    Host
    Mouse
    Clonality
    Monoclonal
    Conjugate
    Unconjugated
    Reactivity
    Human, Mouse, Rat
    Applications:
    WB IHC-P ICC/IF FC IAP IP ChIP mIHC-P CUT&Tag
  • View More Images(2)
    $ 320
    Recombinant Rabbit Monoclonal
    Anti-Monomethyl-Histone H3 (Lys9) Rabbit mAb
    Catalog #
    PTM-7287
    Host
    Rabbit
    Clonality
    Recombinant Monoclonal
    Conjugate
    Unconjugated
    Reactivity
    Human, Mouse, Rat
    Applications:
    WB IHC-P ICC/IF FC IAP IP ChIP mIHC-P CUT&Tag
  • View More Images(5)
    $ 330
    Recombinant Rabbit Monoclonal
    Anti-Dimethyl-Histone H3 (Lys9) Rabbit mAb
    Catalog #
    PTM-615RM
    Host
    Rabbit
    Clonality
    Recombinant Monoclonal
    Conjugate
    Unconjugated
    Reactivity
    Human, Mouse, Rat
    Applications:
    WB IHC-P ICC/IF FC IAP IP ChIP mIHC-P CUT&Tag
  • View More Images(8)
    $ 320
    Recombinant Rabbit Monoclonal
    Anti-Trimethyl-Histone H3 (Lys9) Rabbit mAb
    Catalog #
    PTM-616RM
    Host
    Rabbit
    Clonality
    Recombinant Monoclonal
    Conjugate
    Unconjugated
    Reactivity
    Human, Mouse, Rat
    Applications:
    WB IHC-P ICC/IF FC IAP IP ChIP mIHC-P CUT&Tag
  • View More Images(6)
    $ 435
    Recombinant Rabbit Monoclonal
    Anti-L-Lactyl-Histone H3 (Lys9) Rabbit mAb
    Catalog #
    PTM-1419RM
    Host
    Rabbit
    Clonality
    Recombinant Monoclonal
    Conjugate
    Unconjugated
    Reactivity
    Human, Mouse, Rat
    Applications:
    WB IHC-P ICC/IF FC IAP IP ChIP mIHC-P CUT&Tag
  • View More Images(3)
    $ 420
    Recombinant Rabbit Monoclonal
    Anti-β-Hydroxybutyryl-Histone H3 (Lys9) Rabbit mAb
    Catalog #
    PTM-1250RM
    Host
    Rabbit
    Clonality
    Recombinant Monoclonal
    Conjugate
    Unconjugated
    Reactivity
    Human, Rat
    Applications:
    WB IHC-P ICC/IF FC IAP IP ChIP mIHC-P CUT&Tag
  • View More Images(2)
    $ 420
    Recombinant Rabbit Monoclonal
    Anti-Crotonyllysine Mouse mAb
    Catalog #
    PTM-502
    Host
    Mouse
    Clonality
    Monoclonal
    Conjugate
    Unconjugated
    Reactivity
    All
    Applications:
    WB IHC-P ICC/IF FC IAP IP ChIP mIHC-P CUT&Tag
References (3)
  • Ectopic protein lysine methacrylation contributes to defects caused by loss of HIBCH or ECHS1
    Year 2025
    Journal Cell Reports
    Authors Yawen Li, et al.
    Applications Unspecified
    Reactivity
  • Deciphering the Interactome of Histone Marks in Living Cells via Genetic Code Expansion Combined with Proximity Labeling
    Year 2022
    Journal ANALYTICAL CHEMISTRY
    Authors Yepei Huang, et al.
    Applications Unspecified
    Reactivity
  • Sodium butyrate mediates histone crotonylation and alleviated neonatal rats hypoxic-ischemic brain injury through gut-brain axis.
    Year 2022
    Journal Frontiers in Microbiology
    Authors Xuejia He, et al.
    Applications Unspecified
    Reactivity