/ EN
Technical Support
| Contact Us
+1 312-802-6843
Technical Support
Contact Us
+1 312-802-6843
/ EN
Recover password
Professional Email
Verification Code
Send Code
Password
Recombinant Rabbit Monoclonal
Anti-Crotonyl-Histone H3 (Lys14) Rabbit mAb
Catalog Number: PTM-535RM
References (1)
$ 420

Clone Number: PD-149-21

Host: Rabbit Clonality: Recombinant Monoclonal

Applications: WB IHC-P ChIP

Reactivity: Human, Mouse, Rat

Synonyms: H3K14cr

Product Size
100 μl
Quantity

Shipping: Ambient temperature

Order online or send purchase order to info@ptmbio.com

FAQ Technical Support Protocols

General Information
Isotype IgG
Conjugate Unconjugated
Synonyms H3K14cr
UniProt ID

P68431

Immunogen Crotonylated human histone H3 (Lys14) peptide
MW (kDa) 15
Specificity Anti-Crotonyl-Histone H3 (Lys14) Rabbit mAb detects histone H3 only when it is crotonylated at Lys14.
Product Usage Information
Applications Dilution Recommended Species
WB 1:2000 - 1:5000 Human
IHC-P 1:500 - 1:1000 Human, Mouse, Rat
ChIP 6 μg per 5x106 cells Human
Properties
Purity Protein A purified
Constituents PBS, Glycerol, BSA
Storage Store at -20°C. Avoid freeze/thaw cycles.
Stability Stable for 12 months from date of receipt/reconstitution.
Target Information

Background

Histones are subject to a variety of enzyme catalyzed modifications, including acetylation, methylation, phosphorylation, ubiquitylation, etc. Crotonylation of lysine is a newly identified reversible modification controlling chromosome structure and gene transcription. The reversible lysine crotonylation has been well demonstrated in eukaryotic histones from worm to human. The unique structure and genomic localization of histone lysine crotonylation suggest that it is mechanistically and functionally different from histone lysine acetylation. Specifically, in both human somatic and mouse male germ cell genomes, histone crotonylation marks either active promoters or potential enhancers. Crotonylation of histone H3 at Lys14 may play a vital role in the epigenetic modulation, including chromatin remodeling and DNA transcriptional regulation.

Cellular location

Nucleus

Images
Dot Blot

Peptide amount: Lane 1: 1 ng, 4 ng, 16 ng, 64 ng; Dot 2-11: 64 ng
Blocking buffer: 5% NFDM/TBST
Primary Ab dilution: 1:2000
Primary Ab incubation: 2 hours at room temperature
Secondary Ab: Goat Anti-Rabbit IgG H&L pAb (HRP Conjugate)
Exposure time: 10 seconds
The list of peptides used in the experiment is provided below.
Lane 1: H3K14 crotonyl. Dot 2: H3K18 crotonyl.
Dot 3: H3K9 crotonyl. Dot 4: H3K14 propionyl.
Dot 5: H3K14 L-lactyl. Dot 6: H3K14 acetyl.
Dot 7: H3K14 2-hydroxyisobutyryl. Dot 8: H3K14 β-hydroxybutyryl.
Dot 9: H3K14 benzoyl. Dot 10: H3K14 butyryl.
Dot 11: H3K14 unmodified.

WB

Lysates: (-) K562 cells; (+) K562 cells treated with 5 mM sodium butyrate for 24 hours
Protein loading amount: 20 μg
Blocking buffer: 5% NFDM/TBST
Primary Ab dilution: 1:5000
Primary Ab incubation: 2 hours at room temperature
Secondary Ab: Goat Anti-Rabbit IgG H&L pAb (HRP Conjugate)
Exposure time: 60 seconds
Predicted band size: 15 kDa
Observed band size: 15 kDa

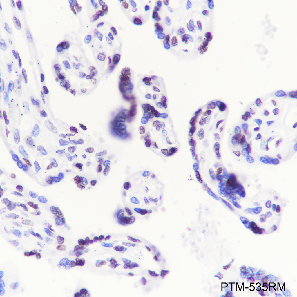
IHC-P

Tissue: Human placenta
Section type: Formalin-fixed & paraffin-embedded section
Retrieval method: High temperature and high pressure
Retrieval buffer: Tris/EDTA buffer, pH 9.0
Primary Ab dilution: 1:1000
Primary Ab incubation: 1 hour at room temperature
Secondary Ab: Anti-Rabbit and Mouse Polymer HRP (Ready to Use)
Counter stain: Hematoxylin (blue)
Description: The brown color represents the positive signal observed with PTM-535RM.

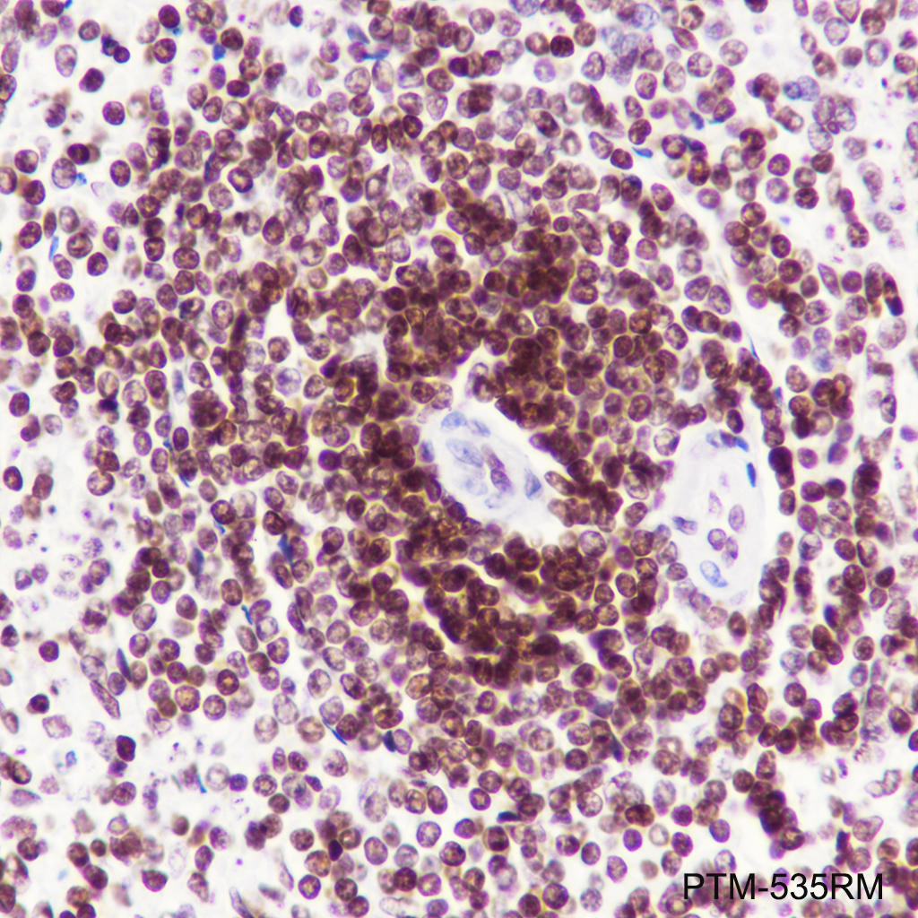
Tissue: Human spleen
Section type: Formalin-fixed & paraffin-embedded section
Retrieval method: High temperature and high pressure
Retrieval buffer: Tris/EDTA buffer, pH 9.0
Primary Ab dilution: 1:1000
Primary Ab incubation: 1 hour at room temperature
Secondary Ab: Anti-Rabbit and Mouse Polymer HRP (Ready to Use)
Counter stain: Hematoxylin (blue)
Description: The brown color represents the positive signal observed with PTM-535RM.

Tissue: Rat colon
Section type: Formalin-fixed & paraffin-embedded section
Retrieval method: High temperature and high pressure
Retrieval buffer: Tris/EDTA buffer, pH 9.0
Primary Ab dilution: 1:1000
Primary Ab incubation: 1 hour at room temperature
Secondary Ab: Anti-Rabbit and Mouse Polymer HRP (Ready to Use)
Counter stain: Hematoxylin (blue)
Description: The brown color represents the positive signal observed with PTM-535RM.

Tissue: Mouse small intestine
Section type: Formalin-fixed & paraffin-embedded section
Retrieval method: High temperature and high pressure
Retrieval buffer: Tris/EDTA buffer, pH 9.0
Primary Ab dilution: 1:1000
Primary Ab incubation: 1 hour at room temperature
Secondary Ab: Anti-Rabbit and Mouse Polymer HRP (Ready to Use)
Counter stain: Hematoxylin (blue)
Description: The brown color represents the positive signal observed with PTM-535RM.

Tissue: Human testis
Section type: Formalin-fixed & paraffin-embedded section
Retrieval method: High temperature and high pressure
Retrieval buffer: Tris/EDTA buffer, pH 9.0
Primary Ab dilution: 1:1000
Primary Ab incubation: 1 hour at room temperature
Secondary Ab: Anti-Rabbit and Mouse Polymer HRP (Ready to Use)
Counter stain: Hematoxylin (blue)
Description: The brown color represents the positive signal observed with PTM-535RM.

ChIP

Sample: HeLa cells treated with 5 mM sodium butyrate for 24 hours
Cross-linking conditions: No cross-linking
Amount of chromatin per IP: 5×106 cells
Amount of Ab per IP: 6 μg
Beads type and amount per IP: 50 μL of Protein A MagBeads
Comment: The ChIP assay was performed with 6 μg of normal rabbit IgG as a negative control. The immunoprecipitated DNA was quantified by real-time PCR using primers specific for the human GAPDH CDS, LDHA promoter, LDHA CDS, FOXO3a promoter, FOXO3a downstream, and RAB20 regions. The data are presented as enrichment of each sample relative to total amount of input at each amplicon.

Research Use

For research use only, not for use in diagnostic procedures.

Recommended Products
  • View More Images(5)
    $ 435
    Anti-Crotonyl-Histone H3 (Lys14) Mouse mAb
    Catalog #
    PTM-537
    Host
    Mouse
    Clonality
    Monoclonal
    Conjugate
    Unconjugated
    Reactivity
    Human, Mouse, Rat, Monkey
    Applications:
    WB IHC-P ICC/IF FC IAP IP ChIP mIHC-P CUT&Tag
  • View More Images(3)
    $ 445
    Anti-Crotonyl-Histone H3 (Lys14) Rabbit pAb
    Catalog #
    PTM-535
    Host
    Rabbit
    Clonality
    Polyclonal
    Conjugate
    Unconjugated
    Reactivity
    Human, Mouse, Rat
    Applications:
    WB IHC-P ICC/IF FC IAP IP ChIP mIHC-P CUT&Tag
  • View More Images(4)
    $ 135
    Goat Anti-Rabbit IgG H&L pAb (HRP Conjugate)
    Catalog #
    PTM-6261
    Host
    Goat
    Clonality
    Polyclonal
    Conjugate
    HRP
    Reactivity
    Rabbit
    Applications:
    WB IHC-P ICC/IF FC IAP IP ChIP mIHC-P CUT&Tag
  • View More Images(5)
    $ 125
    Recombinant Rabbit Monoclonal
    Rabbit mAb IgG Isotype Control
    Catalog #
    PTM-5073
    Host
    Rabbit
    Clonality
    Recombinant Monoclonal
    Conjugate
    Unconjugated
    Reactivity
    Human, Mouse, Rat
    Applications:
    WB IHC-P ICC/IF FC IAP IP ChIP mIHC-P CUT&Tag
  • View More Images(5)
    $ 125
    Recombinant Rabbit Monoclonal
    Rabbit mAb IgG Isotype Control
    Catalog #
    PTM-6628
    Host
    Rabbit
    Clonality
    Recombinant Monoclonal
    Conjugate
    Unconjugated
    Reactivity
    Human, Mouse
    Applications:
    WB IHC-P ICC/IF FC IAP IP ChIP mIHC-P CUT&Tag
  • View More Images(8)
    $ 330
    Recombinant Rabbit Monoclonal
    Anti-Acetyl-Histone H3 (Lys14) Rabbit mAb
    Catalog #
    PTM-113RM
    Host
    Rabbit
    Clonality
    Recombinant Monoclonal
    Conjugate
    Unconjugated
    Reactivity
    Human, Mouse, Rat
    Applications:
    WB IHC-P ICC/IF FC IAP IP ChIP mIHC-P CUT&Tag
  • View More Images(2)
    $ 420
    Anti-Propionyl-Histone H3 (Lys14) Mouse mAb
    Catalog #
    PTM-215
    Host
    Mouse
    Clonality
    Monoclonal
    Conjugate
    Unconjugated
    Reactivity
    Human, Mouse, Rat
    Applications:
    WB IHC-P ICC/IF FC IAP IP ChIP mIHC-P CUT&Tag
  • View More Images(4)
    $ 435
    Recombinant Rabbit Monoclonal
    Anti-Butyryl-Histone H3 (Lys14) Rabbit mAb
    Catalog #
    PTM-334RM
    Host
    Rabbit
    Clonality
    Monoclonal
    Conjugate
    Unconjugated
    Reactivity
    Human, Mouse, Rat
    Applications:
    WB IHC-P ICC/IF FC IAP IP ChIP mIHC-P CUT&Tag
  • View More Images(3)
    $ 435
    Anti-Succinyl-Histone H3 (Lys14) Mouse mAb
    Catalog #
    PTM-421
    Host
    Mouse
    Clonality
    Monoclonal
    Conjugate
    Unconjugated
    Reactivity
    Human, Mouse, Rat
    Applications:
    WB IHC-P ICC/IF FC IAP IP ChIP mIHC-P CUT&Tag
  • View More Images(7)
    $ 330
    Recombinant Rabbit Monoclonal
    Anti-Dimethyl-Histone H3 (Lys14) Rabbit mAb
    Catalog #
    PTM-640RM
    Host
    Rabbit
    Clonality
    Recombinant Monoclonal
    Conjugate
    Unconjugated
    Reactivity
    Human, Mouse, Rat
    Applications:
    WB IHC-P ICC/IF FC IAP IP ChIP mIHC-P CUT&Tag
  • View More Images(2)
    $ 340
    Anti-Monomethyl-Histone H3 (Lys14) Rabbit pAb
    Catalog #
    PTM-670
    Host
    Rabbit
    Clonality
    Polyclonal
    Conjugate
    Unconjugated
    Reactivity
    Human, Mouse, Rat, Monkey
    Applications:
    WB IHC-P ICC/IF FC IAP IP ChIP mIHC-P CUT&Tag
  • View More Images(3)
    $ 420
    Recombinant Rabbit Monoclonal
    Anti-2-Hydroxyisobutyryl-Histone H3 (Lys14) Rabbit mAb
    Catalog #
    PTM-841RM
    Host
    Rabbit
    Clonality
    Recombinant Monoclonal
    Conjugate
    Unconjugated
    Reactivity
    Human, Mouse, Rat
    Applications:
    WB IHC-P ICC/IF FC IAP IP ChIP mIHC-P CUT&Tag
  • View More Images(5)
    $ 420
    Recombinant Rabbit Monoclonal
    Anti-L-Lactyl-Histone H3 (Lys14) Rabbit mAb
    Catalog #
    PTM-1414RM
    Host
    Rabbit
    Clonality
    Recombinant Monoclonal
    Conjugate
    Unconjugated
    Reactivity
    Human, Mouse, Rat
    Applications:
    WB IHC-P ICC/IF FC IAP IP ChIP mIHC-P CUT&Tag
References (1)
  • YEATS4 reads histone crotonylation to promote fatty acid metabolism and cancer cell stemness
    Year 2025
    Journal Cell Reports
    Authors Zijun Peng, et al.
    Applications Unspecified
    Reactivity