/ EN
Technical Support
| Contact Us
+1 312-802-6843
Technical Support
Contact Us
+1 312-802-6843
/ EN
Recover password
Professional Email
Verification Code
Send Code
Password
Recombinant Rabbit Monoclonal
Anti-CHD4 Rabbit mAb
Catalog Number: PTM-6982
$ 280

Clone Number: JRMR-6982

Host: Rabbit Clonality: Recombinant Monoclonal

Applications: WB IHC-P

Reactivity: Human, Mouse, Rat

Synonyms: ATP-dependent chromatin remodeler CHD4, Chromo domain-containing protein 4 (CHD-4), Mi-2 autoantigen 218 kDa protein, Mi2-beta

Product Size
100 μl
Quantity

Shipping: Ambient temperature

Order online or send purchase order to info@ptmbio.com

FAQ Technical Support Protocols

General Information
Isotype IgG
Conjugate Unconjugated
Synonyms ATP-dependent chromatin remodeler CHD4, Chromo domain-containing protein 4 (CHD-4), Mi-2 autoantigen 218 kDa protein, Mi2-beta
UniProt ID

Q14839

Immunogen Synthetic peptide derived from human ATP-dependent chromatin remodeler CHD4
MW (kDa) 218
Specificity
Product Usage Information
Applications Dilution Recommended Species
WB 1:1000-3000 Human, Rat
IHC-P 1:50 - 100 Human, Rat, Mouse
Properties
Purity Protein A purified
Constituents PBS, Glycerol, BSA
Storage Store at -20°C. Avoid freeze/thaw cycles.
Stability Stable for 12 months from date of receipt/reconstitution.
Target Information

Background

Chromodomain helicase DNA-binding protein 4 (CHD4) is an ATP dependent chromatin remodeler and a major subunit of the repressive NuRD complex. This complex plays key roles in transcriptional regulation and reorganization and maintenance of chromatin structure, as it targets pericentromeric heterochromatin and has recently been implicated in DNA damage repair, being rapidly recruited to DNA double strand breaks. CHD4 is a novel BRIT1 binding partner that regulates the HR repair process, which is a critical pathway of repairing DNA double strand breaks and plays an essential role in maintaining genomic integrity. The calculated molecular weight of CHD4 is 218 kDa, but modified CHD4 is about 250-280 kDa.

Cellular location

Nucleus

Images
WB

Blocking buffer: 5% NFDM/TBST
Primary Ab dilution: 1:3000
Primary Ab incubation: 2 hours at room temperature
Secondary Ab: Goat Anti-Rabbit IgG H&L pAb (HRP Conjugate)
Lysate: 1: MCF-7, 2: HeLa, 3: C6
Protein loading amount: 20 μg
Exposure time: 30 s
Predicted band size: 218 kDa
Observed band size: 280 kDa

IHC-P

Tissue: Human breast
Section type: Formalin-fixed & paraffinembedded section
Retrieval method: High temperature and high pressure
Retrieval buffer: Tris/EDTA buffer, pH 9.0
Primary Ab dilution: 1:100
Primary Ab incubation: 1 hour at room temperature
Secondary Ab: Anti-Rabbit and Mouse Polymer HRP (Ready to Use)
Counter stain: Hematoxylin (Blue)
Description: The brown color represents the positive signal observed with PTM-6982

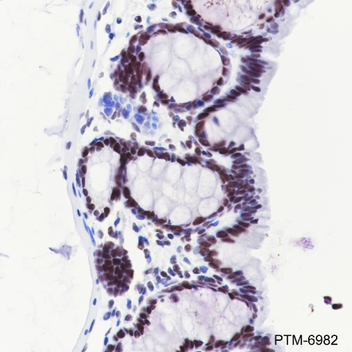
Tissue: Mouse colon
Section type: Formalin-fixed & paraffinembedded section
Retrieval method: High temperature and high pressure
Retrieval buffer: Tris/EDTA buffer, pH 9.0
Primary Ab dilution: 1:100
Primary Ab incubation: 1 hour at room temperature
Secondary Ab: Anti-Rabbit and Mouse Polymer HRP (Ready to Use)
Counter stain: Hematoxylin (Blue)
Description: The brown color represents the positive signal observed with PTM-6982

Tissue: Mouse liver
Section type: Formalin-fixed & paraffinembedded section
Retrieval method: High temperature and high pressure
Retrieval buffer: Tris/EDTA buffer, pH 9.0
Primary Ab dilution: 1:100
Primary Ab incubation: 1 hour at room temperature
Secondary Ab: Anti-Rabbit and Mouse Polymer HRP (Ready to Use)
Counter stain: Hematoxylin (Blue)
Description: The brown color represents the positive signal observed with PTM-6982

Tissue: Rat cerebrum
Section type: Formalin-fixed & paraffinembedded section
Retrieval method: High temperature and high pressure
Retrieval buffer: Tris/EDTA buffer, pH 9.0
Primary Ab dilution: 1:100
Primary Ab incubation: 1 hour at room temperature
Secondary Ab: Anti-Rabbit and Mouse Polymer HRP (Ready to Use)
Counter stain: Hematoxylin (Blue)
Description: The brown color represents the positive signal observed with PTM-6982

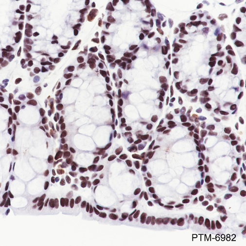
Tissue: Rat colon
Section type: Formalin-fixed & paraffinembedded section
Retrieval method: High temperature and high pressure
Retrieval buffer: Tris/EDTA buffer, pH 9.0
Primary Ab dilution: 1:100
Primary Ab incubation: 1 hour at room temperature
Secondary Ab: Anti-Rabbit and Mouse Polymer HRP (Ready to Use)
Counter stain: Hematoxylin (Blue)
Description: The brown color represents the positive signal observed with PTM-6982

Research Use

For research use only, not for use in diagnostic procedures.

Recommended Products
  • View More Images(2)
    $ 290
    Anti-CHD4 Rabbit pAb
    Catalog #
    PTM-6762
    Host
    Rabbit
    Clonality
    Polyclonal
    Conjugate
    Unconjugated
    Reactivity
    Human
    Applications:
    WB IHC-P ICC/IF FC IAP IP ChIP mIHC-P CUT&Tag