/ EN
Technical Support
| Contact Us
+1 312-802-6843
Technical Support
Contact Us
+1 312-802-6843
/ EN
Recover password
Professional Email
Verification Code
Send Code
Password
Recombinant Rabbit Monoclonal
Anti-Calnexin Rabbit mAb
Catalog Number: PTM-6950
$ 280

Clone Number: JRMR-10651-23C

Host: Rabbit Clonality: Recombinant Monoclonal

Applications: WB IHC-P

Reactivity: Human

Synonyms: IP90, Major histocompatibility complex class I antigen-binding protein p88, p90, CANX

Product Size
100 μl
Quantity

Shipping: Ambient temperature

Order online or send purchase order to info@ptmbio.com

FAQ Technical Support Protocols

General Information
Isotype IgG
Conjugate Unconjugated
Synonyms IP90, Major histocompatibility complex class I antigen-binding protein p88, p90, CANX
UniProt ID

P27824

Immunogen Synthetic peptide derived from human calnexin
MW (kDa) 72
Specificity
Product Usage Information
Applications Dilution Recommended Species
WB 1:1000 - 1:5000 Human
IHC-P 1:50 - 1:100 Human
Properties
Purity Protein A purified
Constituents PBS, Glycerol, BSA
Storage Store at -20°C. Avoid freeze/thaw cycles.
Stability Stable for 12 months from date of receipt/reconstitution.
Target Information

Background

Calnexin is a molecular chaperone that resides in the endoplasmic reticulum (ER) and participates in the folding and assembly of newly synthesized proteins. Calnexin is highly abundant in ER and is frequently used as an ER marker.

Cellular location

Paste

Images
WB

Blocking buffer: 5% NFDM/TBST
Primary Ab dilution: 1:5000
Primary Ab incubation: 2 hours at room temperature
Secondary Ab: Goat Anti-Rabbit IgGH&L (HRP Conjugate)
Lysate: 1: A431, 2: HepG2, 3: HeLa, 4: 293T, 5: PANC-1
Protein loading amount: 20 μg
Exposure time: 30 seconds
Predicted band size: 72 kDa
Observed band size: 100 kDa

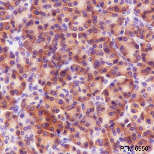
IHC-P

Tissue: Human pancreas
Section type: Formalin-fixed & paraffin-embedded section
Retrieval method: High temperature and high pressure
Retrieval buffer: Tris/EDTA buffer, pH9.0
Primary Ab dilution: 1:100
Primary Ab incubation: 1 hour at room temperature
Secondary Ab: Anti-Rabbit and Mouse Polymer HRP (Ready to Use)
Counter stain: Hematoxylin (Blue)
Description: The brown color represents the positive signal observed with PTM-6950

Research Use

For research use only, not for use in diagnostic procedures.