Background
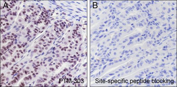
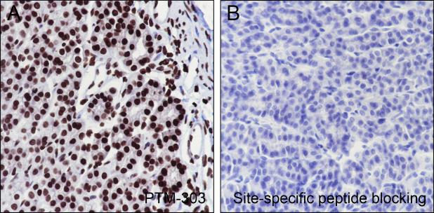
Histones are subject to a variety of enzyme catalyzed modifications, including acetylation, methylation, phosphorylation, ubiquitylation, etc. Butyrylation of lysine is a newly identified reversible modification controlling chromosome structure and gene transcription. Lysine butyrylation is highly conserved in eukaryotic cells from worm to human. The unique structure and genomic localization of histone lysine butyrylation suggest that it is mechanistically and functionally different from histone lysine acetylation. Specifically, in both human somatic and rabbit male germ cell genomes, histone butyrylation marks either active promoters or potential enhancers.
Cellular location
Nucleus
