/ EN
Technical Support
| Contact Us
+1 312-802-6843
Technical Support
Contact Us
+1 312-802-6843
/ EN
Recover password
Professional Email
Verification Code
Send Code
Password
Recombinant Rabbit Monoclonal
Anti-Acetyl-Histone H4 (Lys77) Rabbit mAb
Catalog Number: PTM-127RM
$ 365

Clone Number: PA-086-13

Host: Rabbit Clonality: Recombinant Monoclonal

Applications: WB IHC-P IP ChIP

Reactivity: Human, Mouse, Rat

Synonyms: H4K77ac

Product Size
100 μl
Quantity

Shipping: Ambient temperature

Order online or send purchase order to info@ptmbio.com

FAQ Technical Support Protocols

General Information
Isotype IgG
Conjugate Unconjugated
Synonyms H4K77ac
UniProt ID

P62805

Immunogen Acetylated human histone H4 (Lys77) peptide
MW (kDa) 11
Specificity Anti-Acetyl-Histone H4 (Lys77) Rabbit mAb detects histone H4 only when it is acetylated at Lys77.
Product Usage Information
Applications Dilution Recommended Species
WB 1:500 - 1:2000 Human, Rat
IHC-P 1:200 - 1:1000 Human, Mouse, Rat
IP 1:50 - 1:100 Human
ChIP 6 μg per 5x106 cells Human
Properties
Purity Protein A purified
Constituents PBS, Glycerol, BSA
Storage Store at -20°C. Avoid freeze/thaw cycles.
Stability Stable for 12 months from date of receipt/reconstitution.
Target Information

Background

Histone post-translational modifications (PTMs), known as the “histone code”, are key mechanisms of epigenetics that modulate chromatin structures. The PTMs on histone including acetylation, methylation, phosphorylation, and novel acylations directly affect the accessibility of chromatin to transcription factors and other epigenetic regulators, altering genome stability and gene transcription. Histone acetylation, tightly controlled by the opposing action of histone acetyltransferases (HATs) and histone deacetylases (HDACs), occurs primarily at lysine residues on the N-terminal tails of histones H2A (Lys5, 9, and 15), H2B (Lys5, 12, 15, 16, and 20), H3 (Lys4, 9, 14, 18, 23, 27, and 36), and H4 (Lys5, 8, 12, 16, and 20), and plays vital roles in the regulation of gene expression, DNA damage repair, and chromatin dynamics. Recent research has identified that H2BK120ac, H3.3K18ac, and H4K77ac are significantly associated with the survival of hepatocellular carcinoma (HCC) patients. Furthermore, H4K77ac has been linked to HCC recurrence. These findings suggest that H2BK120ac, H3.3K18ac, and H4K77ac may be potential prognostic factors for HCC.

Cellular location

Nucleus

Images
Dot Blot

Peptide amount: 1 ng, 4 ng, 16 ng, 64 ng
Blocking buffer: 5% NFDM/TBST
Primary Ab dilution: 1:2000
Primary Ab incubation condition: 2 hours at room temperature
Secondary Ab: Goat Anti-Rabbit IgG H&L pAb (HRP Conjugate)
Exposure time: 30 seconds
The list of peptides used in the experiment is provided below.
Lane 1: H4K77 acetyl. Dot 2: H4K77 2-hydroxyisobutyryl.
Dot 3: H4K77 propionyl. Dot 4: H4K77 butyryl.
Dot 5: H4K79 acetyl. Dot 6: H4K77 unmodified.

WB

Lysates: (-) HeLa cells; (+) HeLa cells treated with 30 mM sodium butyrate for 4 hours
Protein loading amount: 20 μg
Blocking buffer: 5% NFDM/TBST
Primary Ab dilution: 1:2000
Primary Ab incubation: 2 hours at room temperature
Secondary Ab: Goat Anti-Rabbit IgG H&L pAb (HRP Conjugate)
Exposure time: 60 seconds
Predicted band size: 11 kDa
Observed band size: 11 kDa

Lysates: 1. MCF-7 cells; 2. BRL cells; 3. recombinant histone H4
Protein loading amount: 20 μg for MCF-7 and BRL cell lysates; 20 ng for recombinant histone H4
Blocking buffer: 5% NFDM/TBST
Primary Ab dilution: 1:2000
Primary Ab incubation: 2 hours at room temperature
Secondary Ab: Goat Anti-Rabbit IgG H&L pAb (HRP Conjugate)
Exposure time: 60 seconds
Predicted band size: 11 kDa
Observed band size: 11 kDa

IHC-P

Tissue: Human kidney
Section type: Formalin-fixed & paraffin-embedded section
Retrieval method: High temperature and high pressure
Retrieval buffer: Tris/EDTA buffer, pH 9.0
Primary Ab dilution: 1:1000
Primary Ab incubation: 1 hour at room temperature
Secondary Ab: Anti-Rabbit and Mouse Polymer HRP (Ready to Use)
Counter stain: Hematoxylin (blue)
Description: The brown color represents the positive signal observed with PTM-127RM.

Tissue: Human liver
Section type: Formalin-fixed & paraffin-embedded section
Retrieval method: High temperature and high pressure
Retrieval buffer: Tris/EDTA buffer, pH 9.0
Primary Ab dilution: 1:1000
Primary Ab incubation: 1 hour at room temperature
Secondary Ab: Anti-Rabbit and Mouse Polymer HRP (Ready to Use)
Counter stain: Hematoxylin (blue)
Description: The brown color represents the positive signal observed with PTM-127RM.

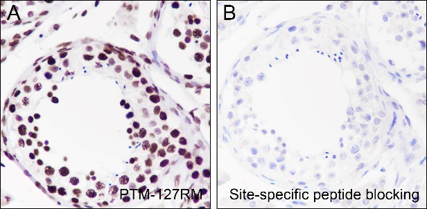
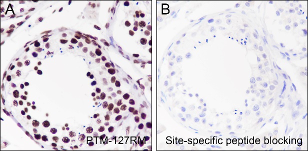
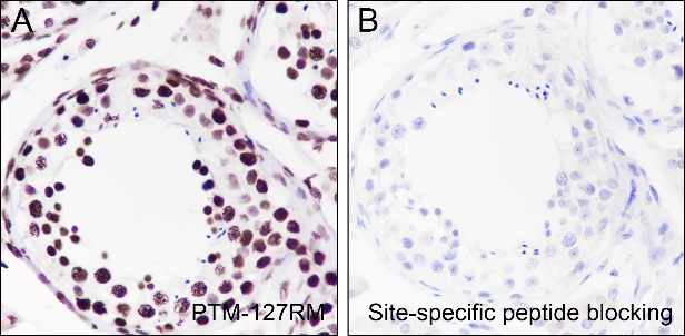
Tissue: Human testis
Section type: Formalin-fixed & paraffin-embedded section
Retrieval method: High temperature and high pressure
Retrieval buffer: Tris/EDTA buffer, pH 9.0
Primary Ab dilution: 1:1000
Primary Ab incubation: 1 hour at room temperature
Secondary Ab: Anti-Rabbit and Mouse Polymer HRP (Ready to Use)
Counter stain: Hematoxylin (blue)
Description: The brown color represents the positive signal observed with PTM-127RM.

Tissue: Mouse colon
Section type: Formalin-fixed & paraffin-embedded section
Retrieval method: High temperature and high pressure
Retrieval buffer: Tris/EDTA buffer, pH 9.0
Primary Ab dilution: 1:1000
Primary Ab incubation: 1 hour at room temperature
Secondary Ab: Anti-Rabbit and Mouse Polymer HRP (Ready to Use)
Counter stain: Hematoxylin (blue)
Description: The brown color represents the positive signal observed with PTM-127RM.

Tissue: Rat liver
Section type: Formalin-fixed & paraffin-embedded section
Retrieval method: High temperature and high pressure
Retrieval buffer: Tris/EDTA buffer, pH 9.0
Primary Ab dilution: 1:1000
Primary Ab incubation: 1 hour at room temperature
Secondary Ab: Anti-Rabbit and Mouse Polymer HRP (Ready to Use)
Counter stain: Hematoxylin (blue)
Description: The brown color represents the positive signal observed with PTM-127RM.

IP

IP of whole cell lysates from HeLa cells treated with 30 mM sodium butyrate for 4 hours
Lane 1: 5% Input
Lane 2: IP with PTM-127RM
Lane 3: IP with Rabbit mAb IgG Isotype Control
IP Ab incubation: 1:100 dilution, 4°C overnight
Blocking buffer: 5% NFDM/TBST
Dilution buffer: 5% NFDM/TBST
WB Primary Ab incubation: PTM-127RM, 1:500 dilution, 2 hours at room temperature
Secondary Ab: Goat Anti-Rabbit IgG for IP (HRP Conjugate)
Exposure time: 60 seconds
Predicted band size: 11 kDa
Observed band size: 11 kDa

ChIP

Sample: HeLa cells treated with 5 mM sodium butyrate for 24 hours
Cross-linking conditions: no cross-linking
Amount of chromatin per IP: 5×106 cells
Amount of Ab per IP: 6 μg
Beads type and amount per IP: 50 μL of Protein A MagBeads
Description: Chromatin immunoprecipitations were performed with 6 μg of normal rabbit IgG as a negative control. The immunoprecipitated DNA was quantified by real-time PCR using primers specific for the human RPL30, FOXO3a promoter, FOXO3a downstream, and TUBBP10 regions. The data are presented as enrichment of each sample relative to the total amount of input chromatin at each amplicon.

Research Use

For research use only, not for use in diagnostic procedures.

Recommended Products
  • View More Images(2)
    $ 365
    Anti-Acetyl-Histone H4 (Lys77) Rabbit pAb
    Catalog #
    PTM-127
    Host
    Rabbit
    Clonality
    Polyclonal
    Conjugate
    Unconjugated
    Reactivity
    Human, Mouse, Rat
    Applications:
    WB IHC-P ICC/IF FC IAP IP ChIP mIHC-P CUT&Tag
  • View More Images(4)
    $ 135
    Goat Anti-Rabbit IgG H&L pAb (HRP Conjugate)
    Catalog #
    PTM-6261
    Host
    Goat
    Clonality
    Polyclonal
    Conjugate
    HRP
    Reactivity
    Rabbit
    Applications:
    WB IHC-P ICC/IF FC IAP IP ChIP mIHC-P CUT&Tag
  • View More Images(5)
    $ 125
    Recombinant Rabbit Monoclonal
    Rabbit mAb IgG Isotype Control
    Catalog #
    PTM-5073
    Host
    Rabbit
    Clonality
    Recombinant Monoclonal
    Conjugate
    Unconjugated
    Reactivity
    Human, Mouse, Rat
    Applications:
    WB IHC-P ICC/IF FC IAP IP ChIP mIHC-P CUT&Tag
  • View More Images(5)
    $ 125
    Recombinant Rabbit Monoclonal
    Rabbit mAb IgG Isotype Control
    Catalog #
    PTM-6628
    Host
    Rabbit
    Clonality
    Recombinant Monoclonal
    Conjugate
    Unconjugated
    Reactivity
    Human, Mouse
    Applications:
    WB IHC-P ICC/IF FC IAP IP ChIP mIHC-P CUT&Tag
  • View More Images(8)
    $ 320
    Recombinant Rabbit Monoclonal
    Anti-Acetyllysine Rabbit mAb
    Catalog #
    PTM-105RM
    Host
    Rabbit
    Clonality
    Recombinant Monoclonal
    Conjugate
    Unconjugated
    Reactivity
    All
    Applications:
    WB IHC-P ICC/IF FC IAP IP ChIP mIHC-P CUT&Tag
  • View More Images(1)
    $ 1,800
    Recombinant Rabbit Monoclonal
    Anti-Acetyllysine Antibody Conjugated Agarose Beads
    Catalog #
    PTM-104
    Host
    /
    Clonality
    /
    Conjugate
    Agarose
    Reactivity
    All
    Applications:
    WB IHC-P ICC/IF FC IAP IP ChIP mIHC-P CUT&Tag
  • View More Images(7)
    $ 270
    Recombinant Rabbit Monoclonal
    Anti-Histone H4 Rabbit mAb
    Catalog #
    PTM-1015RM
    Host
    Rabbit
    Clonality
    Recombinant Monoclonal
    Conjugate
    Unconjugated
    Reactivity
    Human, Mouse, Rat, Monkey, Pig, S.cerevisiae
    Applications:
    WB IHC-P ICC/IF FC IAP IP ChIP mIHC-P CUT&Tag