/ EN
Technical Support
| Contact Us
+1 312-802-6843
Technical Support
Contact Us
+1 312-802-6843
/ EN
Recover password
Professional Email
Verification Code
Send Code
Password
Anti-Acetyl-Histone H4 (Lys16) Rabbit pAb
Catalog Number: PTM-122
References (20)
$ 350

Clone Number: /

Host: Rabbit Clonality: Polyclonal

Applications: WB IHC-P ICC/IF ChIP

Reactivity: Human, Mouse, Rat, Rice

Synonyms: H4K16ac

Product Size
100 μl
Quantity

Shipping: Ambient temperature

Order online or send purchase order to info@ptmbio.com

FAQ Technical Support Protocols

General Information
Isotype IgG
Conjugate Unconjugated
Synonyms H4K16ac
UniProt ID

P62805

Immunogen Acetylated human histone H4 (Lys16) peptide
MW (kDa) 11
Specificity Anti-Acetyl-Histone H4 (Lys16) Rabbit pAb detects histone H4 only when it is acetylated at Lys16. This antibody has been shown to selectively recognize acetylated H4 peptide at Lys16, but not the structurally similar propionylated, crotonylated, butyrylated, or unmodified peptide.
Product Usage Information
Applications Dilution Recommended Species
WB 1:500 - 1:2000 Human, Mouse, Rat, Rice
IHC-P 1:50 - 1:200 Human
ICC/IF 1:50 - 1:200 Human
ChIP 1:25 Human
Properties
Purity Protein A and immunogen affinity purified
Constituents PBS, Glycerol, BSA
Storage Store at -20°C. Avoid freeze/thaw cycles.
Stability Stable for 12 months from date of receipt/reconstitution.
Target Information

Background

Histone post-translational modifications (PTMs), known as the “histone code”, are key mechanisms of epigenetics that modulate chromatin structures. The PTMs on histone including acetylation, methylation, phosphorylation, and novel acylations directly affect the accessibility of chromatin to transcription factors and other epigenetic regulators, altering genome stability and gene transcription. Histone acetylation, tightly controlled by the opposing action of histone acetyltransferases (HATs) and histone deacetylases (HDACs), occurs primarily at lysine residues on the N-terminal tails of histones H2A (Lys5, 9, and 15), H2B (Lys5, 12, 15, 16, and 20), H3 (Lys4, 9, 14, 18, 23, 27, and 36), and H4 (Lys5, 8, 12, 16, and 20), and plays vital roles in the regulation of gene expression, DNA damage repair, chromatin dynamics, etc.

Cellular location

Nucleus

Images
Dot Blot

Peptide amount: 1 ng, 4 ng, 16 ng
Blocking buffer: 5% NFDM/TBST
Primary Ab dilution: 1:2000
Primary Ab incubation condition: 2 hours at room temperature
Secondary Ab: Goat Anti-Rabbit IgG H&L pAb (HRP Conjugate)
Exposure time: 60 seconds
The list of peptides used in the experiment is provided below.
Lane 1: H4K16 acetyl. Lane 2: H4K8 propionyl.
Lane 3: H4K8 butyryl. Lane 4: H4K8 crotonyl.
Lane 5: H4K12 acetyl. Lane 6: H4K12 propionyl.
Lane 7: H4K12 butyryl. Lane 8: H4K16 propionyl.
Lane 9: H4K16 butyryl. Lane 10: H4K16 crotonyl.
Lane 11: H4K16 unmodified.

WB

Lysates: (-) HeLa cells; (+) HeLa cells treated with 30 mM sodium butyrate for 4 hours
Protein loading amount: 20 μg
Blocking buffer: 5% NFDM/TBST
Primary Ab dilution: 1:2000
Primary Ab incubation: 2 hours at room temperature
Secondary Ab: Goat Anti-Rabbit IgG H&L pAb (HRP Conjugate)
Exposure time: 30 seconds
Predicted band size: 11 kDa
Observed band size: 11 kDa

Lysate: Rice
Protein loading amount: 20 μg
Blocking buffer: 5% NFDM/TBST
Primary Ab dilution: 1:400
Primary Ab incubation: 2 hours at room temperature
Secondary Ab: Goat Anti-Rabbit IgG H&L pAb (HRP Conjugate)
Exposure time: 30 seconds
Predicted band size: 11 kDa
Observed band size: 11 kDa

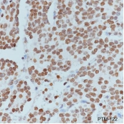
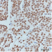
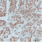
IHC-P

Tissue: Human neuroblastoma
Section type: Formalin-fixed & paraffin-embedded section
Retrieval method: High temperature and high pressure
Retrieval buffer: Tris/EDTA buffer, pH 9.0
Primary Ab dilution: 1:200
Primary Ab incubation: 1 hour at room temperature
Secondary Ab: Anti-Rabbit and Mouse Polymer HRP (Ready to Use)
Counter stain: Hematoxylin (blue)
Description: The brown color represents the positive signal observed with PTM-122.

ICC/IF

Samples: HeLa cells
Fixative: 4% Paraformaldehyde
Permeabilization: 0.1% Triton X-100
Primary Ab dilution: 1:200
Primary Ab incubation: 4°C overnight
Secondary Ab: Goat Anti-Rabbit IgG
Nuclear counter stain: DAPI (blue)
Counter stain: Tubulin (red)
Description: The green color represents the positive signal observed with PTM-122.

ChIP

Sample: HeLa cells
Cross-linking conditions: no cross-linking
Amount of chromatin per IP: 5×106 cells
Amount of Ab per IP: 1:25 (2 μL)
Beads type and amount per IP: 50 μL of Protein A/G MagBeads
Description: Chromatin immunoprecipitations were performed with 1 μg of normal rabbit IgG as a negative control. The immunoprecipitated DNA was quantified by real-time PCR using primers specific for the human GAPDH-CDS and RPL30 regions. The data are presented as enrichment of each sample relative to the total amount of input chromatin at each amplicon.

Research Use

For research use only, not for use in diagnostic procedures.

Recommended Products
  • View More Images(5)
    $ 330
    Recombinant
    Anti-Acetyl-Histone H4 (Lys16) Mouse mAb
    Catalog #
    PTM-187
    Host
    Mouse
    Clonality
    Recombinant Monoclonal
    Conjugate
    Unconjugated
    Reactivity
    Human, Mouse, Rat
    Applications:
    WB IHC-P ICC/IF FC IAP IP ChIP mIHC-P CUT&Tag
  • View More Images(4)
    $ 135
    Goat Anti-Rabbit IgG H&L pAb (HRP Conjugate)
    Catalog #
    PTM-6261
    Host
    Goat
    Clonality
    Polyclonal
    Conjugate
    HRP
    Reactivity
    Rabbit
    Applications:
    WB IHC-P ICC/IF FC IAP IP ChIP mIHC-P CUT&Tag
  • View More Images(5)
    $ 125
    Recombinant Rabbit Monoclonal
    Rabbit mAb IgG Isotype Control
    Catalog #
    PTM-5073
    Host
    Rabbit
    Clonality
    Recombinant Monoclonal
    Conjugate
    Unconjugated
    Reactivity
    Human, Mouse, Rat
    Applications:
    WB IHC-P ICC/IF FC IAP IP ChIP mIHC-P CUT&Tag
  • View More Images(5)
    $ 125
    Recombinant Rabbit Monoclonal
    Rabbit mAb IgG Isotype Control
    Catalog #
    PTM-6628
    Host
    Rabbit
    Clonality
    Recombinant Monoclonal
    Conjugate
    Unconjugated
    Reactivity
    Human, Mouse
    Applications:
    WB IHC-P ICC/IF FC IAP IP ChIP mIHC-P CUT&Tag
  • View More Images(3)
    $ 290
    Recombinant Rabbit Monoclonal
    Anti-SIRT1 Rabbit mAb
    Catalog #
    PTM-5676
    Host
    Rabbit
    Clonality
    Recombinant Monoclonal
    Conjugate
    Unconjugated
    Reactivity
    Human
    Applications:
    WB IHC-P ICC/IF FC IAP IP ChIP mIHC-P CUT&Tag
  • View More Images(3)
    $ 290
    Recombinant Rabbit Monoclonal
    Anti-SIRT2 Rabbit mAb
    Catalog #
    PTM-6318
    Host
    Rabbit
    Clonality
    Recombinant Monoclonal
    Conjugate
    Unconjugated
    Reactivity
    Human, Mouse, Rat
    Applications:
    WB IHC-P ICC/IF FC IAP IP ChIP mIHC-P CUT&Tag
  • View More Images(1)
    $ 280
    Recombinant Rabbit Monoclonal
    Anti-SIRT6 Rabbit mAb
    Catalog #
    PTM-6658
    Host
    Rabbit
    Clonality
    Recombinant Monoclonal
    Conjugate
    Unconjugated
    Reactivity
    Human, Mouse, Rat
    Applications:
    WB IHC-P ICC/IF FC IAP IP ChIP mIHC-P CUT&Tag
  • View More Images(5)
    $ 420
    Anti-Propionyl-Histone H4 (Lys16) Mouse mAb
    Catalog #
    PTM-210
    Host
    Mouse
    Clonality
    Monoclonal
    Conjugate
    Unconjugated
    Reactivity
    Human, Mouse, Rat
    Applications:
    WB IHC-P ICC/IF FC IAP IP ChIP mIHC-P CUT&Tag
  • View More Images(6)
    $ 420
    Anti-Crotonyl-Histone H4 (Lys16) Mouse mAb
    Catalog #
    PTM-524
    Host
    Mouse
    Clonality
    Monoclonal
    Conjugate
    Unconjugated
    Reactivity
    Human, Mouse, Rat, Monkey
    Applications:
    WB IHC-P ICC/IF FC IAP IP ChIP mIHC-P CUT&Tag
  • View More Images(3)
    $ 435
    Anti-β-Hydroxybutyryl-Histone H4 (Lys16) Mouse mAb
    Catalog #
    PTM-1262
    Host
    Mouse
    Clonality
    Monoclonal
    Conjugate
    Unconjugated
    Reactivity
    Human, Mouse, Rat
    Applications:
    WB IHC-P ICC/IF FC IAP IP ChIP mIHC-P CUT&Tag
  • View More Images(5)
    $ 435
    Recombinant Rabbit Monoclonal
    Anti-L-Lactyl-Histone H4 (Lys16) Rabbit mAb
    Catalog #
    PTM-1417RM
    Host
    Rabbit
    Clonality
    Recombinant Monoclonal
    Conjugate
    Unconjugated
    Reactivity
    Human, Mouse, Rat
    Applications:
    WB IHC-P ICC/IF FC IAP IP ChIP mIHC-P CUT&Tag
  • View More Images(8)
    $ 320
    Recombinant Rabbit Monoclonal
    Anti-Acetyllysine Rabbit mAb
    Catalog #
    PTM-105RM
    Host
    Rabbit
    Clonality
    Recombinant Monoclonal
    Conjugate
    Unconjugated
    Reactivity
    All
    Applications:
    WB IHC-P ICC/IF FC IAP IP ChIP mIHC-P CUT&Tag
  • View More Images(1)
    $ 1,800
    Recombinant Rabbit Monoclonal
    Anti-Acetyllysine Antibody Conjugated Agarose Beads
    Catalog #
    PTM-104
    Host
    /
    Clonality
    /
    Conjugate
    Agarose
    Reactivity
    All
    Applications:
    WB IHC-P ICC/IF FC IAP IP ChIP mIHC-P CUT&Tag
  • View More Images(7)
    $ 270
    Recombinant Rabbit Monoclonal
    Anti-Histone H4 Rabbit mAb
    Catalog #
    PTM-1015RM
    Host
    Rabbit
    Clonality
    Recombinant Monoclonal
    Conjugate
    Unconjugated
    Reactivity
    Human, Mouse, Rat, Monkey, Pig, S.cerevisiae
    Applications:
    WB IHC-P ICC/IF FC IAP IP ChIP mIHC-P CUT&Tag
References (20)
  • Histone deacetylase RcHDA19 modulates drought tolerance through RcHB52-mediated root system architecture in rose (Rosa chinensis)
    Year 2026
    Journal PLANT JOURNAL
    Authors Guohao Tang, et al.
    Applications Unspecified
    Reactivity
  • Ginsenoside Rg5 targets the KAT8-CISD2 axis to maintain mitochondrial homeostasis and antagonize senescence
    Year 2026
    Journal PHYTOMEDICINE
    Authors Jinmeng Chu, et al.
    Applications Unspecified
    Reactivity
  • Entinostat suppresses hepatocellular carcinoma metastasis by upregulating AZGP1 through histone acetylation
    Year 2026
    Journal BIOCHEMICAL PHARMACOLOGY
    Authors Weiguo Cai, et al.
    Applications Unspecified
    Reactivity
  • Jaceosidin Attenuates Sepsis-Induced Myocardial Dysfunction by Promoting SIRT2-Mediated Inhibition of Histone H3K18 Lactylation
    Year 2026
    Journal Pharmaceuticals
    Authors Huiming Yu, et al.
    Applications Unspecified
    Reactivity
  • BRD3 PROTAC degrader targets H3K18ac to alleviate retinal microglia-driven uveitis
    Year 2026
    Journal iScience
    Authors Zhi Zhang, et al.
    Applications Unspecified
    Reactivity
  • Histone H3K27 acetylation mediated by KAT8 maintains antiviral trained immunity in shrimp induced by inactivated white spot syndrome virus
    Year 2025
    Journal Communications Biology
    Authors Lv Li-Xia, et al.
    Applications Unspecified
    Reactivity
  • Quantitative Proteomics Reveals the Role of Lysine Lactylation in Lenalidomide-Resistance in Multiple Myeloma Cells
    Year 2025
    Journal ACS Chemical Biology
    Authors Xinlong Guo, et al.
    Applications Unspecified
    Reactivity
  • Male-specific lethal 1 (MSL1) promotes Erastin-induced ferroptosis in colon cancer cells by regulating the KCTD12-SLC7A11 axis
    Year 2025
    Journal Cell Death & Disease
    Authors Luo Lifu, et al.
    Applications Unspecified
    Reactivity
  • MOF-mediated acetylation of CDK9 promotes global transcription by modulating P-TEFb complex formation
    Year 2024
    Journal FEBS Journal
    Authors Wenqi Chen, et al.
    Applications Unspecified
    Reactivity
  • Intergenerational Epigenetic Inheritance Mediated by MYS-2/MOF in the Pathogenesis of Alzheimer’s Disease
    Year 2024
    Journal iScience
    Authors Yuhong Li, et al.
    Applications Unspecified
    Reactivity
  • A di-acetyl-decorated chromatin signature couples liquid condensation to suppress DNA end synapsis
    Year 2024
    Journal MOLECULAR CELL
    Authors Kaiwen Bao, et al.
    Applications Unspecified
    Reactivity
  • KAT8 is upregulated and recruited to the promoter of Atg8 by FOXO to induce H4 acetylation for autophagy under 20-hydroxyecdysone regulation
    Year 2024
    Journal JOURNAL OF BIOLOGICAL CHEMISTRY
    Authors Tian-Wen Liu, et al.
    Applications Unspecified
    Reactivity
  • Ustilaginoidea virens-secreted effector Uv1809 suppresses rice immunity by enhancing OsSRT2-mediated histone deacetylation
    Year 2023
    Journal PLANT BIOTECHNOLOGY JOURNAL
    Authors Xiaoyang Chen, et al.
    Applications Unspecified
    Reactivity
  • A secreted fungal effector suppresses rice immunity through host histone hypoacetylation
    Year 2022
    Journal NEW PHYTOLOGIST
    Authors Xiaoyang Chen, et al.
    Applications Unspecified
    Reactivity
  • Inactivation of MrSir2 in Monascus ruber Influenced the Developmental Process and the Production of Monascus Azaphilone Pigments
    Year 2022
    Journal APPLIED BIOCHEMISTRY AND BIOTECHNOLOGY
    Authors Zhang Jing, et al.
    Applications Unspecified
    Reactivity
  • Multi-omics analyses reveal the mechanisms of Arsenic-induced male reproductive toxicity in mice
    Year 2021
    Journal JOURNAL OF HAZARDOUS MATERIALS
    Authors Zijun Peng, et al.
    Applications Unspecified
    Reactivity
  • miR-15a-5p inhibits metastasis and lipid metabolism by suppressing histone acetylation in lung cancer
    Year 2020
    Journal FREE RADICAL BIOLOGY AND MEDICINE
    Authors Yinyun Ni, et al.
    Applications WB, ChIP-qPCR
    Reactivity
  • The HosA Histone Deacetylase Regulates Aflatoxin Biosynthesis Through Direct Regulation of Aflatoxin Cluster Genes
    Year 2019
    Journal MOLECULAR PLANT-MICROBE INTERACTIONS
    Authors Huahui Lan, et al.
    Applications Unspecified
    Reactivity
  • Lysine benzoylation is a histone mark regulated by SIRT2
    Year 2018
    Journal Nature Communications
    Authors Huang He, et al.
    Applications Unspecified
    Reactivity
  • Cell Lysate Microarray for Mapping the Network of Genetic Regulators for Histone Marks
    Year 2018
    Journal MOLECULAR & CELLULAR PROTEOMICS
    Authors Li Cheng, et al.
    Applications WB, IP
    Reactivity