/ EN
Technical Support
| Contact Us
+1 312-802-6843
Technical Support
Contact Us
+1 312-802-6843
/ EN
Recover password
Professional Email
Verification Code
Send Code
Password
Anti-Acetyl-Histone H3 (Lys36) Rabbit pAb
Catalog Number: PTM-117
References (3)
$ 350

Clone Number: /

Host: Rabbit Clonality: Polyclonal

Applications: WB IHC-P ICC/IF ChIP

Reactivity: Human, Mouse, Rat

Synonyms: H3K36ac

Product Size
100 μl
Quantity

Shipping: Ambient temperature

Order online or send purchase order to info@ptmbio.com

FAQ Technical Support Protocols

General Information
Isotype IgG
Conjugate Unconjugated
Synonyms H3K36ac
UniProt ID

P68431

Immunogen Acetylated human histone H3 (Lys36) peptide
MW (kDa) 15
Specificity Anti-Acetyl-Histone H3 (Lys36) Rabbit pAb detects histone H3 only when it is acetylated at Lys36. This antibody has been shown to selectively recognize acetylated H3 peptide at Lys36, but not the unmodified peptide.
Product Usage Information
Applications Dilution Recommended Species
WB 1:500 - 1:2000 Human, Mouse, Rat
IHC-P 1:50 - 1:200 Human
ICC/IF 1:50 - 1:200 Human
ChIP 1:50 Human
Properties
Purity Protein A and immunogen affinity purified
Constituents PBS, Glycerol, BSA
Storage Store at -20°C. Avoid freeze/thaw cycles.
Stability Stable for 12 months from date of receipt/reconstitution.
Target Information

Background

Histone post-translational modifications (PTMs), known as the “histone code”, are key mechanisms of epigenetics that modulate chromatin structures. The PTMs on histone including acetylation, methylation, phosphorylation, and novel acylations directly affect the accessibility of chromatin to transcription factors and other epigenetic regulators, altering genome stability and gene transcription. Histone acetylation, tightly controlled by the opposing action of histone acetyltransferases (HATs) and histone deacetylases (HDACs), occurs primarily at lysine residues on the N-terminal tails of histones H2A (Lys5, 9, and 15), H2B (Lys5, 12, 15, 16, and 20), H3 (Lys4, 9, 14, 18, 23, 27, and 36), and H4 (Lys5, 8, 12, 16, and 20), and plays vital roles in the regulation of gene expression, DNA damage repair, chromatin dynamics, etc.

Cellular location

Nucleus

Images
Dot Blot

Peptide amount: 1 ng, 4 ng, 16 ng
Blocking buffer: 5% NFDM/TBST
Primary Ab dilution: 1:2000
Primary Ab incubation condition: 2 hours at room temperature
Secondary Ab: Goat Anti-Rabbit IgG H&L pAb (HRP Conjugate)
Exposure time: 60 seconds
The list of peptides used in the experiment is provided below.
Lane 1: H3K36 acetyl. Lane 2: H3K36 unmodified.

WB

Lysates: (-) HeLa cells; (+) HeLa cells treated with 30 mM sodium butyrate for 4 hours
Protein loading amount: 20 μg
Blocking buffer: 5% NFDM/TBST
Primary Ab dilution: 1:2000
Primary Ab incubation: 2 hours at room temperature
Secondary Ab: Goat Anti-Rabbit IgG H&L pAb (HRP Conjugate)
Exposure time: 60 seconds
Predicted band size: 15 kDa
Observed band size: 17 kDa

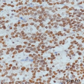
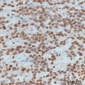
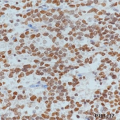
IHC-P

Tissue: Human neuroblastoma
Section type: Formalin-fixed & paraffin-embedded section
Retrieval method: High temperature and high pressure
Retrieval buffer: Tris/EDTA buffer, pH 9.0
Primary Ab dilution: 1:200
Primary Ab incubation: 1 hour at room temperature
Secondary Ab: Anti-Rabbit and Mouse Polymer HRP (Ready to Use)
Counter stain: Hematoxylin (blue)
Description: The brown color represents the positive signal observed with PTM-117.

ICC/IF

Sample: HeLa cells
Fixative: 4% Paraformaldehyde
Permeabilization: 0.1% Triton X-100
Primary Ab dilution: 1:200
Primary Ab incubation: 4°C overnight
Secondary Ab: Goat Anti-Rabbit IgG
Nuclear counter stain: DAPI (blue)
Description: The red color represents the positive signal observed with PTM-117.

ChIP

Sample: HeLa cells
Cross-linking conditions: no cross-linking
Amount of chromatin per IP: 5×106 cells
Amount of Ab per IP: 1:50 (2 μL)
Beads type and amount per IP: 50 μL of Protein A/G MagBeads
Description: Chromatin immunoprecipitations were performed with 1 μg of normal rabbit IgG as a negative control. The immunoprecipitated DNA was quantified by real-time PCR using primers specific for the human GAPDH-CDS, GAPDH promoter, RPL30 exon 3, and MyoD1 exon 1 regions. The data are presented as enrichment of each sample relative to the total amount of input chromatin at each amplicon.

Research Use

For research use only, not for use in diagnostic procedures.

Recommended Products
  • View More Images(10)
    $ 330
    Recombinant Rabbit Monoclonal
    Anti-Acetyl-Histone H3 (Lys36) Rabbit mAb
    Catalog #
    PTM-117RM
    Host
    Rabbit
    Clonality
    Recombinant Monoclonal
    Conjugate
    Unconjugated
    Reactivity
    Human, Mouse, Rat, Pig
    Applications:
    WB IHC-P ICC/IF FC IAP IP ChIP mIHC-P CUT&Tag
  • View More Images(4)
    $ 135
    Goat Anti-Rabbit IgG H&L pAb (HRP Conjugate)
    Catalog #
    PTM-6261
    Host
    Goat
    Clonality
    Polyclonal
    Conjugate
    HRP
    Reactivity
    Rabbit
    Applications:
    WB IHC-P ICC/IF FC IAP IP ChIP mIHC-P CUT&Tag
  • View More Images(5)
    $ 125
    Recombinant Rabbit Monoclonal
    Rabbit mAb IgG Isotype Control
    Catalog #
    PTM-5073
    Host
    Rabbit
    Clonality
    Recombinant Monoclonal
    Conjugate
    Unconjugated
    Reactivity
    Human, Mouse, Rat
    Applications:
    WB IHC-P ICC/IF FC IAP IP ChIP mIHC-P CUT&Tag
  • View More Images(5)
    $ 125
    Recombinant Rabbit Monoclonal
    Rabbit mAb IgG Isotype Control
    Catalog #
    PTM-6628
    Host
    Rabbit
    Clonality
    Recombinant Monoclonal
    Conjugate
    Unconjugated
    Reactivity
    Human, Mouse
    Applications:
    WB IHC-P ICC/IF FC IAP IP ChIP mIHC-P CUT&Tag
  • View More Images(1)
    $ 285
    Recombinant
    Anti-GCN5 Mouse mAb
    Catalog #
    PTM-5115
    Host
    Mouse
    Clonality
    Recombinant Monoclonal
    Conjugate
    Unconjugated
    Reactivity
    Human, Mouse, Rat
    Applications:
    WB IHC-P ICC/IF FC IAP IP ChIP mIHC-P CUT&Tag
  • View More Images(2)
    $ 285
    Recombinant Rabbit Monoclonal
    Anti-PCAF Rabbit mAb
    Catalog #
    PTM-5711
    Host
    Rabbit
    Clonality
    Recombinant Monoclonal
    Conjugate
    Unconjugated
    Reactivity
    Human
    Applications:
    WB IHC-P ICC/IF FC IAP IP ChIP mIHC-P CUT&Tag
  • View More Images(3)
    $ 435
    Recombinant Rabbit Monoclonal
    Anti-Crotonyl-Histone H3 (Lys36) Rabbit mAb
    Catalog #
    PTM-536RM
    Host
    Rabbit
    Clonality
    Recombinant Monoclonal
    Conjugate
    Unconjugated
    Reactivity
    Human
    Applications:
    WB IHC-P ICC/IF FC IAP IP ChIP mIHC-P CUT&Tag
  • View More Images(8)
    $ 330
    Recombinant Rabbit Monoclonal
    Anti-Monomethyl-Histone H3 (Lys36) Rabbit mAb
    Catalog #
    PTM-623RM
    Host
    Rabbit
    Clonality
    Recombinant Monoclonal
    Conjugate
    Unconjugated
    Reactivity
    Human, Mouse, Rat
    Applications:
    WB IHC-P ICC/IF FC IAP IP ChIP mIHC-P CUT&Tag
  • View More Images(4)
    $ 325
    Recombinant
    Anti-Dimethyl-Histone H3 (Lys36) Mouse mAb
    Catalog #
    PTM-5156
    Host
    Mouse
    Clonality
    Recombinant Monoclonal
    Conjugate
    Unconjugated
    Reactivity
    Human, Mouse, Rat
    Applications:
    WB IHC-P ICC/IF FC IAP IP ChIP mIHC-P CUT&Tag
  • View More Images(7)
    $ 320
    Recombinant Rabbit Monoclonal
    Anti-Trimethyl-Histone H3 (Lys36) Rabbit mAb
    Catalog #
    PTM-653RM
    Host
    Rabbit
    Clonality
    Recombinant Monoclonal
    Conjugate
    Unconjugated
    Reactivity
    Human, Mouse, Rat
    Applications:
    WB IHC-P ICC/IF FC IAP IP ChIP mIHC-P CUT&Tag
  • View More Images(8)
    $ 320
    Recombinant Rabbit Monoclonal
    Anti-Acetyllysine Rabbit mAb
    Catalog #
    PTM-105RM
    Host
    Rabbit
    Clonality
    Recombinant Monoclonal
    Conjugate
    Unconjugated
    Reactivity
    All
    Applications:
    WB IHC-P ICC/IF FC IAP IP ChIP mIHC-P CUT&Tag
  • View More Images(1)
    $ 1,800
    Recombinant Rabbit Monoclonal
    Anti-Acetyllysine Antibody Conjugated Agarose Beads
    Catalog #
    PTM-104
    Host
    /
    Clonality
    /
    Conjugate
    Agarose
    Reactivity
    All
    Applications:
    WB IHC-P ICC/IF FC IAP IP ChIP mIHC-P CUT&Tag
  • View More Images(7)
    $ 125
    Recombinant Rabbit Monoclonal
    Anti-Histone H3 Rabbit mAb
    Catalog #
    PTM-1001RM
    Host
    Rabbit
    Clonality
    Recombinant Monoclonal
    Conjugate
    Unconjugated
    Reactivity
    Human, Mouse, Rat
    Applications:
    WB IHC-P ICC/IF FC IAP IP ChIP mIHC-P CUT&Tag
References (3)
  • Ustilaginoidea virens-secreted effector Uv1809 suppresses rice immunity by enhancing OsSRT2-mediated histone deacetylation
    Year 2023
    Journal PLANT BIOTECHNOLOGY JOURNAL
    Authors Xiaoyang Chen, et al.
    Applications Unspecified
    Reactivity
  • A secreted fungal effector suppresses rice immunity through host histone hypoacetylation
    Year 2022
    Journal NEW PHYTOLOGIST
    Authors Xiaoyang Chen, et al.
    Applications Unspecified
    Reactivity
  • Global Proteome Analysis Links Lysine Acetylation to Diverse Functions in Oryza Sativa
    Year 2017
    Journal PROTEOMICS
    Authors Chao Xue, et al.
    Applications Unspecified
    Reactivity