/ EN
Technical Support
| Contact Us
+1 312-802-6843
Technical Support
Contact Us
+1 312-802-6843
/ EN
Recover password
Professional Email
Verification Code
Send Code
Password
Anti-Acetyl-Histone H3 (Lys18) Mouse mAb
Catalog Number: PTM-158
References (15)
$ 340

Clone Number: /

Host: Mouse Clonality: Monoclonal

Applications: WB IHC-P ICC/IF ChIP

Reactivity: Human, Mouse, Rat

Synonyms: H3K18ac

Product Size
100 μl
Quantity

Shipping: Ambient temperature

Order online or send purchase order to info@ptmbio.com

FAQ Technical Support Protocols

General Information
Isotype IgG
Conjugate Unconjugated
Synonyms H3K18ac
UniProt ID

P68431

Immunogen Acetylated human histone H3 (Lys18) peptide
MW (kDa) 15
Specificity Anti-Acetyl-Histone H3 (Lys18) Mouse mAb detects histone H3 only when it is acetylated at Lys18.
Product Usage Information
Applications Dilution Recommended Species
WB 1:500 - 1:2000 Human, Mouse, Rat
IHC-P 1:50 - 1:200 Human
ICC/IF 1:50 - 1:200 Human
ChIP 1:50 Human
Properties
Purity Protein G and immunogen affinity purified
Constituents PBS, Glycerol, BSA
Storage Store at -20°C. Avoid freeze/thaw cycles.
Stability Stable for 12 months from date of receipt/reconstitution.
Target Information

Background

Histone post-translational modifications (PTMs), known as the “histone code”, are key mechanisms of epigenetics that modulate chromatin structures. The PTMs on histone including acetylation, methylation, phosphorylation, and novel acylations directly affect the accessibility of chromatin to transcription factors and other epigenetic regulators, altering genome stability and gene transcription. Histone acetylation, tightly controlled by the opposing action of histone acetyltransferases (HATs) and histone deacetylases (HDACs), occurs primarily at lysine residues on the N-terminal tails of histones H2A (Lys5, 9, and 15), H2B (Lys5, 12, 15, 16, and 20), H3 (Lys4, 9, 14, 18, 23, 27, and 36), and H4 (Lys5, 8, 12, 16, and 20), and plays vital roles in the regulation of gene expression, DNA damage repair, chromatin dynamics, etc.

Cellular location

Nucleus

Images
Dot Blot

Peptide amount: 1 ng, 4 ng, 16 ng
Blocking buffer: 5% NFDM/TBST
Primary Ab dilution: 1:1000
Primary Ab incubation condition: 2 hours at room temperature
Secondary Ab: Goat Anti-Mouse IgG H&L pAb (HRP Conjugate)
Exposure time: 60 seconds
The list of peptides used in the experiment is provided below.
Lane 1: H3K18 acetyl. Lane 2: H3K14 acetyl.
Lane 3: H3K18 propionyl. Lane 4: H3K18 butyryl.
Lane 5: H3K18 crotonyl. Lane 6: H3K18 unmodified.

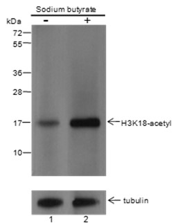
WB

Lysates: (-) HeLa cells; (+) HeLa cells treated with 30 mM sodium butyrate for 4 hours
Protein loading amount: 20 μg
Blocking buffer: 5% NFDM/TBST
Primary Ab dilution: 1:2000
Primary Ab incubation: 2 hours at room temperature
Secondary Ab: Goat Anti-Mouse IgG H&L pAb (HRP Conjugate)
Exposure time: 60 seconds
Predicted band size: 15 kDa
Observed band size: 15 kDa

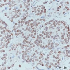
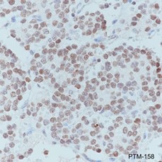
IHC-P

Tissue: Human neuroblastoma
Section type: Formalin-fixed & paraffin-embedded section
Retrieval method: High temperature and high pressure
Retrieval buffer: Tris/EDTA buffer, pH 9.0
Primary Ab dilution: 1:200
Primary Ab incubation: 1 hour at room temperature
Secondary Ab: Anti-Rabbit and Mouse Polymer HRP (Ready to Use)
Counter stain: Hematoxylin (blue)
Description: The brown color represents the positive signal observed with PTM-158.

ICC/IF

Samples: HeLa cells
Fixative: 4% Paraformaldehyde
Permeabilization: 0.1% Triton X-100
Primary Ab dilution: 1:200
Primary Ab incubation: 4°C overnight
Secondary Ab: Goat Anti-Mouse IgG
Nuclear counter stain: DAPI (blue)
Counter stain: Tubulin (red)
Description: The green color represents the positive signal observed with PTM-158.

ChIP

Sample: HeLa cells
Cross-linking conditions: no cross-linking
Amount of chromatin per IP: 5×106 cells
Amount of Ab per IP: 1:50 (2 μL)
Beads type and amount per IP: 50 μL of Protein A/G MagBeads
Description: Chromatin immunoprecipitations were performed with 1 μg of normal mouse IgG as a negative control. The immunoprecipitated DNA was quantified by real-time PCR using primers specific for the human GAPDH CDS, GAPDH promoter, RPL30 exon 3, and MyoD1 exon 1 regions. The data are presented as enrichment of each sample relative to the total amount of input chromatin at each amplicon.

Research Use

For research use only, not for use in diagnostic procedures.

Recommended Products
  • View More Images(7)
    $ 320
    Recombinant Rabbit Monoclonal
    Anti-Acetyl-Histone H3 (Lys18) Rabbit mAb
    Catalog #
    PTM-114RM
    Host
    Rabbit
    Clonality
    Recombinant Monoclonal
    Conjugate
    Unconjugated
    Reactivity
    Human, Mouse, Rat
    Applications:
    WB IHC-P ICC/IF FC IAP IP ChIP mIHC-P CUT&Tag
  • View More Images(4)
    $ 135
    Goat Anti-Mouse IgG H&L (HRP Conjugate)
    Catalog #
    PTM-7168
    Host
    Goat
    Clonality
    Polyclonal
    Conjugate
    HRP
    Reactivity
    Mouse
    Applications:
    WB IHC-P ICC/IF FC IAP IP ChIP mIHC-P CUT&Tag
  • View More Images(1)
    $ 285
    Recombinant
    Anti-GCN5 Mouse mAb
    Catalog #
    PTM-5115
    Host
    Mouse
    Clonality
    Recombinant Monoclonal
    Conjugate
    Unconjugated
    Reactivity
    Human, Mouse, Rat
    Applications:
    WB IHC-P ICC/IF FC IAP IP ChIP mIHC-P CUT&Tag
  • View More Images(2)
    $ 285
    Recombinant Rabbit Monoclonal
    Anti-PCAF Rabbit mAb
    Catalog #
    PTM-5711
    Host
    Rabbit
    Clonality
    Recombinant Monoclonal
    Conjugate
    Unconjugated
    Reactivity
    Human
    Applications:
    WB IHC-P ICC/IF FC IAP IP ChIP mIHC-P CUT&Tag
  • View More Images(4)
    $ 290
    Recombinant Rabbit Monoclonal
    Anti-ELP3 Rabbit mAb
    Catalog #
    PTM-5980
    Host
    Rabbit
    Clonality
    Recombinant Monoclonal
    Conjugate
    Unconjugated
    Reactivity
    Human, Mouse, Rat
    Applications:
    WB IHC-P ICC/IF FC IAP IP ChIP mIHC-P CUT&Tag
  • View More Images(5)
    $ 280
    Recombinant
    Anti-SIRT2 Mouse mAb
    Catalog #
    PTM-6043
    Host
    Mouse
    Clonality
    Recombinant Monoclonal
    Conjugate
    Unconjugated
    Reactivity
    Human, Mouse, Rat
    Applications:
    WB IHC-P ICC/IF FC IAP IP ChIP mIHC-P CUT&Tag
  • View More Images(1)
    $ 280
    Recombinant Rabbit Monoclonal
    Anti-SIRT7 Rabbit mAb
    Catalog #
    PTM-7231
    Host
    Rabbit
    Clonality
    Recombinant Monoclonal
    Conjugate
    Unconjugated
    Reactivity
    Mouse, Rat
    Applications:
    WB IHC-P ICC/IF FC IAP IP ChIP mIHC-P CUT&Tag
  • View More Images(2)
    $ 420
    Anti-Propionyl-Histone H3 (Lys18) Mouse mAb
    Catalog #
    PTM-214
    Host
    Mouse
    Clonality
    Monoclonal
    Conjugate
    Unconjugated
    Reactivity
    Human, Mouse, Rat
    Applications:
    WB IHC-P ICC/IF FC IAP IP ChIP mIHC-P CUT&Tag
  • View More Images(6)
    $ 420
    Recombinant Rabbit Monoclonal
    Anti-Butyryl-Histone H3 (Lys18) Rabbit mAb
    Catalog #
    PTM-338RM
    Host
    Rabbit
    Clonality
    Recombinant Monoclonal
    Conjugate
    Unconjugated
    Reactivity
    Human, Mouse, Rat
    Applications:
    WB IHC-P ICC/IF FC IAP IP ChIP mIHC-P CUT&Tag
  • View More Images(5)
    $ 420
    Recombinant Rabbit Monoclonal
    Anti-Crotonyl-Histone H3 (Lys18) Rabbit mAb
    Catalog #
    PTM-517RM
    Host
    Rabbit
    Clonality
    Recombinant Monoclonal
    Conjugate
    Unconjugated
    Reactivity
    Human, Mouse, Rat
    Applications:
    WB IHC-P ICC/IF FC IAP IP ChIP mIHC-P CUT&Tag
  • View More Images(2)
    $ 330
    Recombinant Rabbit Monoclonal
    Anti-Monomethyl-Histone H3 (Lys18) Rabbit mAb
    Catalog #
    PTM-618RM
    Host
    Rabbit
    Clonality
    Recombinant Monoclonal
    Conjugate
    Unconjugated
    Reactivity
    Human, Mouse, Rat
    Applications:
    WB IHC-P ICC/IF FC IAP IP ChIP mIHC-P CUT&Tag
  • View More Images(3)
    $ 320
    Anti-Trimethyl-Histone H3 (Lys18) Rabbit pAb
    Catalog #
    PTM-632
    Host
    Rabbit
    Clonality
    Polyclonal
    Conjugate
    Unconjugated
    Reactivity
    Human, Mouse, Rat, Monkey
    Applications:
    WB IHC-P ICC/IF FC IAP IP ChIP mIHC-P CUT&Tag
  • View More Images(2)
    $ 420
    Anti-β-Hydroxybutyryl-Histone H3 (Lys18) Mouse mAb
    Catalog #
    PTM-1292
    Host
    Mouse
    Clonality
    Monoclonal
    Conjugate
    Unconjugated
    Reactivity
    Human, Mouse, Rat
    Applications:
    WB IHC-P ICC/IF FC IAP IP ChIP mIHC-P CUT&Tag
  • View More Images(7)
    $ 420
    Recombinant Rabbit Monoclonal
    Anti-L-Lactyl-Histone H3 (Lys18) Rabbit mAb
    Catalog #
    PTM-1406RM
    Host
    Rabbit
    Clonality
    Recombinant Monoclonal
    Conjugate
    Unconjugated
    Reactivity
    Human, Mouse, Rat
    Applications:
    WB IHC-P ICC/IF FC IAP IP ChIP mIHC-P CUT&Tag
  • View More Images(2)
    $ 435
    Recombinant
    Anti-Methacryl-Histone H3 (Lys18) Mouse mAb
    Catalog #
    PTM-1503
    Host
    Mouse
    Clonality
    Recombinant Monoclonal
    Conjugate
    Unconjugated
    Reactivity
    Human
    Applications:
    WB IHC-P ICC/IF FC IAP IP ChIP mIHC-P CUT&Tag
References (15)
  • Parishin E from ginger-processed Gastrodia elata Bl. alleviates rheumatoid arthritis by regulating histone 3 lactylation at H3K18la and H3K27la sites
    Year 2025
    Journal Frontiers in Pharmacology
    Authors Xinyue Liu, et al.
    Applications Unspecified
    Reactivity
  • H3K9/18 lactylation regulates DNA damage due to nickel exposure in human bronchial epithelial cells
    Year 2025
    Journal TOXICOLOGY AND APPLIED PHARMACOLOGY
    Authors Xiaomin Xie, et al.
    Applications Unspecified
    Reactivity
  • Epigenetic regulation of cardiac tissue development by lysine lactylation
    Year 2025
    Journal hLife
    Authors Xiaodong Luan, et al.
    Applications Unspecified
    Reactivity
  • Sirtuin 1/sirtuin 3 are robust lysine delactylases and sirtuin 1-mediated delactylation regulates glycolysis
    Year 2024
    Journal iScience
    Authors Runhua Du, et al.
    Applications Unspecified
    Reactivity
  • Diverse modes of H3K36me3-guided nucleosomal deacetylation by Rpd3S
    Year 2023
    Journal NATURE
    Authors Guan Haipeng, et al.
    Applications Unspecified
    Reactivity
  • Multi-Omics Approaches for Revealing the Epigenetic Regulation of Histone H3.1 during Spermatogonial Stem Cell Differentiation In Vitro
    Year 2023
    Journal INTERNATIONAL JOURNAL OF MOLECULAR SCIENCES
    Authors Li Liu, et al.
    Applications Unspecified
    Reactivity
  • The additional PRC2 subunit and Sin3 histone deacetylase complex are required for the normal distribution of H3K27me3 occupancy and transcriptional silencing in Magnaporthe oryzae
    Year 2022
    Journal NEW PHYTOLOGIST
    Authors Chuyu Lin, et al.
    Applications Unspecified
    Reactivity
  • SIRT6 Protects Against Myocardial Ischemia–Reperfusion Injury by Attenuating Aging-Related CHMP2B Accumulation
    Year 2022
    Journal Journal of Cardiovascular Translational Research
    Authors Li Xiaokang, et al.
    Applications Unspecified
    Reactivity
  • Dynamic crotonylation of EB1 by TIP60 ensures accurate spindle positioning in mitosis
    Year 2021
    Journal Nature Chemical Biology
    Authors Song Xiaoyu, et al.
    Applications Unspecified
    Reactivity
  • The regulatory enzymes and protein substrates for the lysine β-hydroxybutyrylation pathway
    Year 2021
    Journal Science Advances
    Authors He Huang, et al.
    Applications Unspecified
    Reactivity
  • Quantitative acetylome analysis reveals histone modifications that may predict prognosis in hepatitis B-related hepatocellular carcinoma
    Year 2021
    Journal Clinical and Translational Medicine
    Authors Xiaoqiang Chai, et al.
    Applications Unspecified
    Reactivity
  • Hypoxic in vitro culture reduces histone lactylation and impairs pre-implantation embryonic development in mice
    Year 2021
    Journal Epigenetics & Chromatin
    Authors Yang Wanting, et al.
    Applications Unspecified
    Reactivity
  • BcRPD3-Mediated Histone Deacetylation Is Involved in Growth and Pathogenicity of Botrytis cinerea
    Year 2020
    Journal Frontiers in Microbiology
    Authors Zhang Ning, et al.
    Applications Unspecified
    Reactivity
  • p300-Mediated Lysine 2-Hydroxyisobutyrylation Regulates Glycolysis
    Year 2018
    Journal MOLECULAR CELL
    Authors He Huang, et al.
    Applications Unspecified
    Reactivity
  • Cadmium inhibits lysine acetylation and succinylation inducing testicular injury of mouse during development
    Year 2018
    Journal TOXICOLOGY LETTERS
    Authors Qiangzhen Yang, et al.
    Applications Unspecified
    Reactivity