/ EN
Technical Support
| Contact Us
+1 312-802-6843
Technical Support
Contact Us
+1 312-802-6843
/ EN
Recover password
Professional Email
Verification Code
Send Code
Password
Anti-2-Hydroxyisobutyryllysine Mouse mAb
Catalog Number: PTM-802
References (19)
$ 420

Clone Number: /

Host: Mouse Clonality: Monoclonal

Applications: WB

Reactivity: All

Synonyms: Khib

Product Size
100 μl
Quantity

Shipping: Ambient temperature

Order online or send purchase order to info@ptmbio.com

FAQ Technical Support Protocols

General Information
Isotype IgG
Conjugate Unconjugated
Synonyms Khib
UniProt ID

/

Immunogen 2-Hydroxyisobutyrylated lysine peptides
MW (kDa) Multiple
Specificity Anti-2-Hydroxyisobuyrylated Mouse mAb detects proteins with 2-hydroxyisobutyrylated lysine residues. This pan antibody recognizes 2-hydroxyisobutyrylated lysine independent of its surrounding sequences.
Product Usage Information
Applications Dilution Recommended Species
WB 1:500 - 1:1000 All
Properties
Purity Protein G and immunogen affinity purified
Constituents PBS, Glycerol, BSA
Storage Store at -20°C. Avoid freeze/thaw cycles.
Stability Stable for 12 months from date of receipt/reconstitution.
Target Information

Background

Histones are subjected to a variety of enzyme catalyzed modifications, including acetylation, methylation, ubiquitylation, etc. 2-Hydroxyisobutyrylation of lysine is a newly identified reversible modification controlling chromosome structure and gene transcription. The reversible lysine 2-hydroxyisobutyrylation has been well demonstrated in eukaryotic histones from worm to human. The unique structure and genomic localization of histone lysine 2-hydroxyisobutyrylation suggest that it is mechanistically and functionally different from histone lysine acetylation.

Cellular location

/

Images
Dot Blot

Peptide amount: 4 ng, 20 ng, 100 ng
Blocking buffer: 5% NFDM/TBST
Primary Ab dilution: 1:1000
Primary Ab incubation: 2 hours at room temperature
Secondary Ab: Goat Anti-Mouse IgG H&L pAb (HRP Conjugate)
Exposure time: 60 seconds
The list of peptides used in the experiment is provided below.
Lane 1: 2-Hydroxyisobutyrylated peptide library. Lane 2: Acetylated peptide library.
Lane 3: Propionylated peptide library. Lane 4: Butyrylated peptide library.
Lane 5: Crotonylated peptide library. Lane 6: Unmodified peptide library.

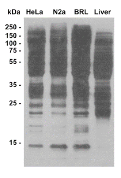
WB

Lysates: HeLa, N2a, BRL, and mouse liver
Protein loading amount: 20 μg
Blocking buffer: 5% NFDM/TBST
Primary Ab dilution: 1:1000
Primary Ab incubation: 2 hours at room temperature
Secondary Ab: Goat Anti-Mouse IgG H&L pAb (HRP Conjugate)
Exposure time: 60 seconds
Predicted band size: Multiple
Observed band size: Multiple

Research Use

For research use only, not for use in diagnostic procedures.

References (19)
  • Deciphering the Atlas of Protein Acetylation, 2-Hydroxyisobutyrylation, and Malonylation in Developing Cassava Roots
    Year 2026
    Journal JOURNAL OF AGRICULTURAL AND FOOD CHEMISTRY
    Authors Lili Fu, et al.
    Applications Unspecified
    Reactivity
  • Blocking Lysine Crotonylation and Aerobic Glycolysis as Targeting Strategy Against mpox Virus Replication
    Year 2026
    Journal Adv Sci (Weinh)
    Authors Pengjun Wei, et al.
    Applications WB
    Reactivity
  • HAT1 functions as a lactyltransferase and mediates RPA1 lactylation to promote DNA repair and radioresistance in lung adenocarcinoma
    Year 2025
    Journal Cell Death & Disease
    Authors He Jiang, et al.
    Applications Unspecified
    Reactivity
  • The Role of Lysine Dihydroxyisobutyrylation in Dendrobium huoshanese Under Low-Temperature by Proteomic Analysis
    Year 2025
    Journal PHYSIOLOGIA PLANTARUM
    Authors Weiyi Rao, et al.
    Applications Unspecified
    Reactivity
  • Proteomic Analysis and 2-Hydroxyisobutyrylation Profiling in Metabolic Syndrome Induced Restenosis
    Year 2025
    Journal MOLECULAR & CELLULAR PROTEOMICS
    Authors Xiangyu Liu, et al.
    Applications Unspecified
    Reactivity
  • Severe fever with thrombocytopenia syndrome virus induces lactylation of m6A reader protein YTHDF1 to facilitate viral replication
    Year 2024
    Journal EMBO REPORTS
    Authors LiuBingxin , et al.
    Applications Unspecified
    Reactivity
  • Increased DNMT1 acetylation leads to global DNA methylation suppression in follicular granulosa cells during reproductive aging in mammals
    Year 2024
    Journal BMC GENOMICS
    Authors Zhao Shunran, et al.
    Applications Unspecified
    Reactivity
  • Lactylation of RNA m6A demethylase ALKBH5 promotes innate immune response to DNA herpesviruses and mpox virus
    Year 2024
    Journal PROCEEDINGS OF THE NATIONAL ACADEMY OF SCIENCES OF THE UNITED STATES OF AMERICA
    Authors Wan Li, et al.
    Applications Unspecified
    Reactivity
  • Global profiling of transcriptome, proteome and 2-hydroxyisobutyrylome in radioresistant lung adenocarcinoma cell
    Year 2024
    Journal BMC GENOMICS
    Authors Lei Zheng, et al.
    Applications Unspecified
    Reactivity
  • Targeting the transmembrane cytokine co-receptor neuropilin-1 in distal tubules improves renal injury and fibrosis
    Year 2024
    Journal Nature Communications
    Authors Li Yinzheng, et al.
    Applications Unspecified
    Reactivity
  • Comprehensive Proteome and Acetylome Analysis of Needle Senescence in Larix gmelinii
    Year 2024
    Journal INTERNATIONAL JOURNAL OF MOLECULAR SCIENCES
    Authors Xuting Zhang, et al.
    Applications Unspecified
    Reactivity
  • SANT proteins modulate gene expression by coordinating histone H3KAc and Khib levels and regulate plant heat tolerance
    Year 2024
    Journal PLANT PHYSIOLOGY
    Authors Zhou Xishi, et al.
    Applications Unspecified
    Reactivity
  • Lysine 2-hydroxyisobutyrylation of NAT10 promotes cancer metastasis in an ac4C-dependent manner
    Year 2023
    Journal CELL RESEARCH
    Authors Liao Long, et al.
    Applications Unspecified
    Reactivity
  • Core-predominant gut fungus Kazachstania slooffiae promotes intestinal epithelial glycolysis via lysine desuccinylation in pigs
    Year 2023
    Journal Microbiome
    Authors Hu Jun, et al.
    Applications Unspecified
    Reactivity
  • Deciphering the Atlas of Post-Translational Modification in Sugarcane
    Year 2023
    Journal JOURNAL OF AGRICULTURAL AND FOOD CHEMISTRY
    Authors Qibin Wu, et al.
    Applications Unspecified
    Reactivity
  • The lysine 2-hydroxyisobutyrylome of Helicobacter pylori: Indicating potential roles of lysine 2-hydroxyisobutyrylation in the bacterial metabolism
    Year 2023
    Journal MICROBIAL PATHOGENESIS
    Authors Xinhang Li, et al.
    Applications Unspecified
    Reactivity
  • Integrated insights into the mechanisms underlying sepsis-induced myocardial depression using a quantitative global proteomic analysis
    Year 2022
    Journal Journal of Proteomics
    Authors Ni Yang, et al.
    Applications Unspecified
    Reactivity
  • Global landscape of 2-hydroxyisobutyrylation in human pancreatic cancer
    Year 2022
    Journal Front Oncol
    Authors Yun Lu, et al.
    Applications WB, ICC/IF, IAP
    Reactivity
  • Malonyl-proteome profiles of Staphylococcus aureus reveal lysine malonylation modification in enzymes involved in energy metabolism
    Year 2021
    Journal Proteome Science
    Authors Shi Yanan, et al.
    Applications Unspecified
    Reactivity